V Jornadas de Ecografía de la semFYC

9 y 10 de febrero de 2024

Comunicaciones: Experiencias

Utilidad de la ecografía clínica en el abordaje del paciente con dolor en la consulta de Atención Primaria (póster)

Objetivos

Compartir nuestra experiencia sobre la utilización de la Ecografía clínica ante distintos escenarios frecuentes en la consulta diaria o urgente del médico de familia, en la atención al paciente con dolor de distintas etiologías y lo que aporta en el manejo de los mismos.

Descripción

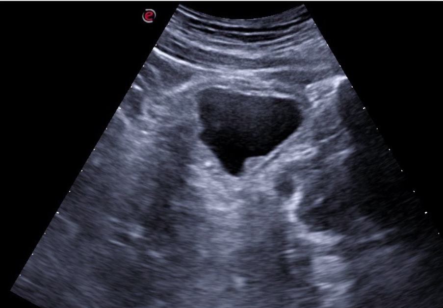
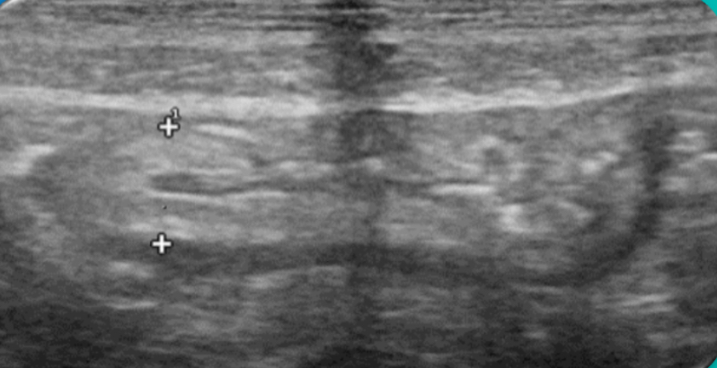
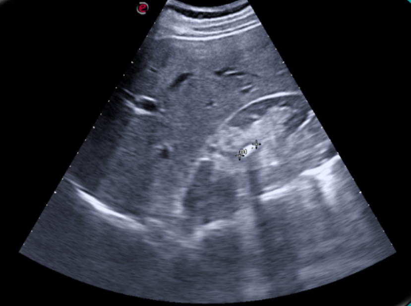
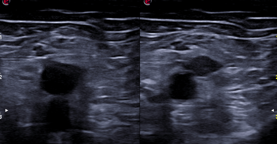
Expondremos la utilidad de la EC como herramienta en el manejo de los pacientes con diferentes tipos de dolor que atiende el Médico de Familia en las consultas diarias, urgentes, e incluso en los domicilios, en diversos escenarios clínicos a los que podemos enfrentarnos en nuestra práctica clínica habitual, desde un dolor visceral (abdominal, torácico, urológico o ginecológico), un dolor músculo-esquelético (traumático o no, con sospecha de fractura u osteoartrósico incapacitante), un dolor vascular (sospecha de trombosis venosa profunda, trombosis arterial aguda, aneurismático); ayudando a obtener una información crucial con un método no invasivo que nos ayudará a reducir la incertidumbre y orientar mejor el diagnóstico de nuestros pacientes e incluso nos podrá ser muy útil como herramienta con fines terapéuticos como en el caso de las infiltraciones ecoguiadas.

Conclusiones

En nuestra experiencia como Centro de Salud que utiliza de forma rutinaria la Ecografía clínica, hemos visto un importante avance en nuestra capacidad resolutiva en muchos casos, mejorando el diagnóstico diferencial de los diferentes tipos de dolor, su abordaje terapéutico precoz, e incluso ayudando a los pacientes a una mejor comprensión de su patología.

Aplicabilidad

Consideramos la Ecografía clínica como una herramienta de gran utilidad en la consulta de Atención Primaria, que puede aportar gran ayuda al Médico de Familia en la toma de decisiones, ayudando a obtener diagnósticos diferenciales precoces y que también ayuda a agilizar las derivaciones pertinentes al conseguir en muchos casos un enfoque diagnóstico más preciso.
 
 
 
 


 

Comunicaciones y ponencias semFYC: 2025; Comunicaciones: Experiencias. ISSN: 2339-9333

Autores

Tejedor Molledo, Alejandra
CS Las Ciudades. Getafe. Madrid
Calderín Morales, María del Pino
CS Las Ciudades. Getafe. Madrid
Rodríguez Pascual, Nieves
CS Las Ciudades. Getafe. Madrid
Lopez Miguel Miguel, Miguel
CS Las Ciudades. Getafe. Madrid