X Jornadas de Actualización en Medicina de Urgencias y VI Jornadas de Ecografía de la semFYC
6-7-8 de febrero de 2025
Atención Primaria.
Antecedentes personales relevantes, anamnesis, exploración física y lugar que ocupa en ella la ecografía
Hombre de 79 años que acude por molestias abdominales inespecíficas focalizadas en epigastrio y en hipocondrio derecho asociado a ingestas pesadas, pirosis y flatulencias de varios meses de evolución. No fiebre ni otra organicidad.
AP y AF: Hermano fallecido por muerte súbita a los 50 años. HTA, hipercolesteronemia. Fumador de 20 cigarros al día desde los 16 años.
EF: BEG. ACP normal. Abdomen con RHA conservados, blando depresible, doloroso a nivel periumbilical e HCD, resistencia a la palpación en este nivel, sin signos de peritonismo no visceromegalias. Pulso aórtico perceptible. PPRR-
Ante paciente con FRCV y dolor abdominal en HCD se le realiza un test del aliento, una analítica sanguínea y una ecografía abdominal en centro de salud.
Descripción de los hallazgos ecográficos y las imágenes más relevantes para la resolución del caso
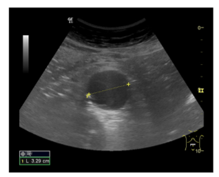
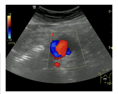
Informe: Hígado de tamaño y ecogenicidad normal. Vesícula distendida con 2 litiasis de 2 x 3 mm en su interior. Páncreas y bazo de ecoestructura normal. Ambos riñones de tamaño, ecogenicidad en rango, diferenciación corticosinusal. Vena porta, cava inferior y aorta en el área del lóbulo hepático izquierdo de calibre normal. Aneurisma de aorta abdominal descendente hasta su bifurcación de ambas iliacas de 3.29 cm en su eje trasversal con engrosamiento de pared posterior.
Otras pruebas complementarias realizadas (si existen)
Juicio clínico, diagnóstico diferencial, concordancia con el hospital (en su caso)
Juicio clínico:
Diagnósticos diferenciales:
Decisiones adoptadas: tratamiento, planes de actuación
El paciente es derivado al servicio de cirugía vascular donde se realiza seguimiento y reevaluación cada 6 meses durante 1 año.
Evolución y seguimiento
Desde el seguimiento realizado por el Servicio de Cirugía vascular se observa un crecimiento paulatino de 0,6 cm en 6 meses por lo que se decide intervenir quirúrgicamente.
La ecografía en Atención Primaria se utiliza para la visualización de órganos principales además de grandes vasos abdominales. Por suerte, la observación a nivel abdominal de la aorta descendente es sensible para detectar aneurismas a este nivel. La disponibilidad de la misma así como el conocimiento de dicha técnica facilitan el diagnóstico, tratamiento precoz y disminución de su mortalidad.

