V Jornadas de Ecografía de la semFYC
9 y 10 de febrero de 2024
Enfoque individual
Mujer de 29 años con antecedentes personales de migraña y Síndrome de Rokitansky. Acude de forma urgente muy angustiada por bulto doloroso de rápido crecimiento en cuello. Atendida por otro médico del Centro de Salud es derivada a urgencias hospitalarias, citándola para ecografía programada en dos meses.
Acude nuevamente a consulta con las mismas dudas 2 días después. Es la primera visita a su Médico de Familia. No presentaba síntomas de disfunción tiroidea. Exploración con tumoración dolorosa de 3×3 cm en hemitiroides izquierdo. Tras valorar miedos y expectativas, solicitamos un análisis de sangre con perfil tiroideo y citamos ecografía clínica en 2 días.
Hallazgos ecográficos
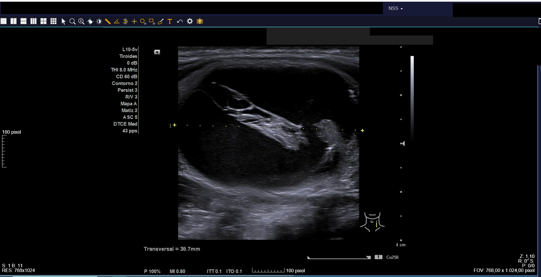
Ecografía clínica: tiroides de tamaño normal con ecoestructura homogénea. En lóbulo tiroideo izquierdo nódulo de 3 cm, anecoico, márgenes bien definidos con imagen hiperecoica en su interior (Imágenes 1, 2 y 3).
Pruebas complementarias
Análisis de sangre: TSH 2,41 UI/ML, tiroglobulina 390 ng/ml, anticuerpos anti-tiroglobulina < 20 UI/ml.
Tratamiento y planes de actuación
Ante clínica y ecografía compatible con hemorragia en nódulo tranquilizamos a la paciente, informándole sobre pronóstico y actitud a seguir. Citamos para seguimiento clínico en 3 semanas, con desaparición del dolor y disminución de tamaño del nódulo.
Evolución
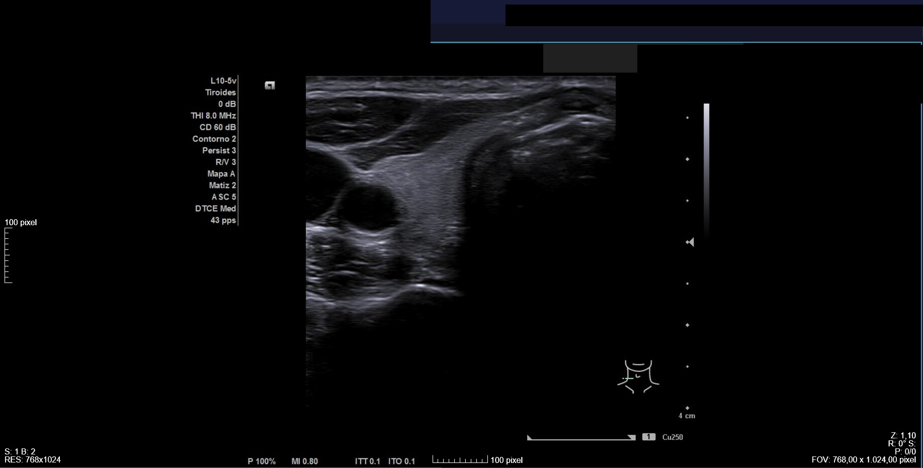
Citamos para seguimiento clínico-ecográfico dos meses después. El bulto había tenido una evolución fluctuante en tamaño pero habían reaparecido las molestias. Nueva ecografía (Imagen 4) confirmó nódulo de características similares a las iniciales, de tamaño ligeramente inferior (2,1 x 2,3 cm). Se observaban focos ecogénicos puntiformes y ecogenicidad indeterminada (TIRADS=4).
Realizamos interconsulta a Endocrinología para valorar PAAF con objetivo diagnóstico-terapéutico.
