X Jornadas de Actualización en Medicina de Urgencias y VI Jornadas de Ecografía de la semFYC
6-7-8 de febrero de 2025
Atención Primaria.
Dolor y edema en MID.
Antecedentes personales relevantes, anamnesis, exploración física y lugar que ocupa en ella la ecografía
Hombre de 68 años con antecedentes de hernia de hiato/gastritis/úlcera duodenal, ex fumador desde hace 9 años y colelitiasis. Acude por edema y empastamiento de MID de 4 días de evolución (Imagen 1). Pérdida de peso de 5 kg en 2 meses. Analítica 20 días antes antes con Hb 14, LDL 150 y GGT 59, resto normal.
Descripción de los hallazgos ecográficos y las imágenes más relevantes para la resolución del caso
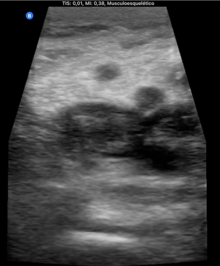
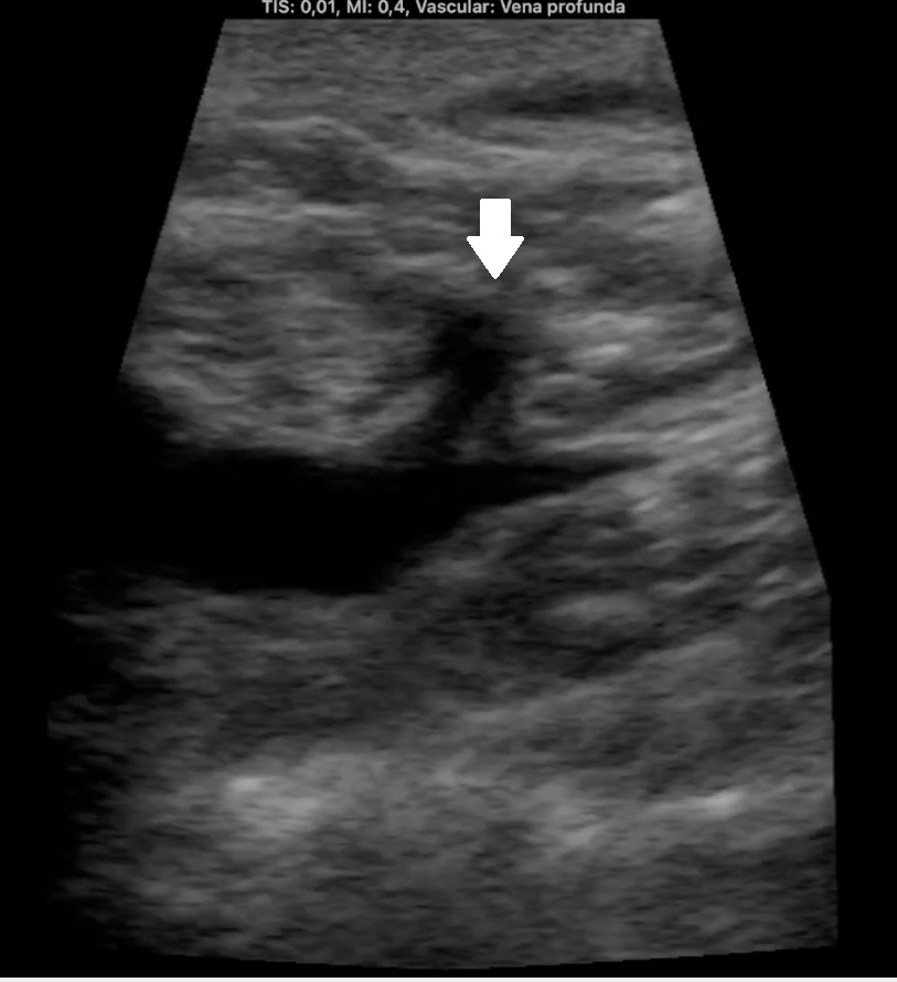
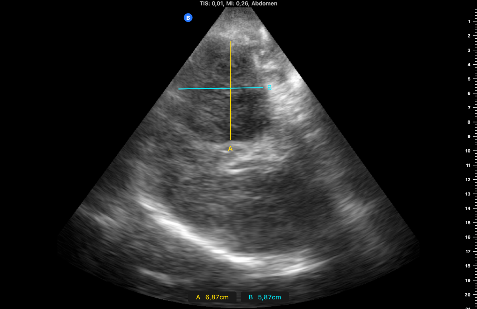
Ocupación de espacio con trombo venoso ecogénico desde poplítea hasta tercio superior, así como safenas externa e interna (imagen 2 femoral profunda e imagen 3 safena mayor). Lesión isoecogénica en segmentos hepáticos V/VI de 6,65 x 5,87 cm (imagen 4).
Otras pruebas complementarias realizadas (si existen)
En urgencias hospitalarias LDH 383, FA 133, GGT 88, BT 1,21, DD 19898. Ecografía de MID realizada por cirugía vascular.
Juicio clínico, diagnóstico diferencial, concordancia con el hospital (en su caso)
Masa hepática sospechosa de malignidad. TVP MID secundario a lo previo que se confirma por cirugía vascular. Diagnóstico diferencial con metástasis hepáticas y estirpe hepatobiliar.
Decisiones adoptadas: tratamiento, planes de actuación
En Urgencias Hospitalarias pautan heparina subcutánea. Derivan a Consultas de Diagnóstico Rápido de Medicina Interna. Solicitan TCBODY y analítica de estudio.
Evolución y seguimiento
En la analítica destaca CA 19-9 >12000 y en TAC body «masa hepática con signos de infiltración (hepatocarcinoma vs colangiocarcinoma) sin poder descartar metástasis». Eco BAG: compatible con neoplasia biliar.
El diagnóstico final fue de colangiocarcinoma irresecable. El paciente fue tratado con quimioterapia. Fistulizó a ángulo hepático de colon y fundus vesicular. La TVP es uno de los escenarios más frecuentes en las consultas de Atención Primaria, observándose en muchas ocasiones neoplasias malignas subyacentes que desencadenan el cuadro. Una vez descartados los factores de riesgo asociados (inmovilización, trombopatías…) es fundamental descartar una etiología maligna. En este caso el diagnóstico etiológico se realizó desde el momento en que el paciente acudió a nuestra consulta, confirmándose días más tarde con técnicas de imagen avanzadas.



