X Jornadas de Actualización en Medicina de Urgencias y VI Jornadas de Ecografía de la semFYC
6-7-8 de febrero de 2025
Atención Primaria.
Abandono social.
Antecedentes personales relevantes, anamnesis, exploración física y lugar que ocupa en ella la ecografía
Hombre de 52 años con antecedente de hidrocefalia infantil y discapacidad intelectual. Quedó al cuidado de su madre, sin acudir nunca a consulta médica. Tras fallecer su madre es visitado por un hermano, quien advierte que está mucho más delgado y vive en malas condiciones. Se contacta con servicios sociales y se intenta citar presencialmente. Cuando acude se objetiva un paciente de aspecto caquéctico, aunque él refiere encontrarse bien. La exploración física es normal, no ictericia ni palidez, no hepato ni esplenomegalia. Peso 51 kg, talla 170 cm, IMC 17.65 kg/m2. Pedimos analítica y completamos la exploración con una ecografía clínica con ecógrafo portátil.
Descripción de los hallazgos ecográficos y las imágenes más relevantes para la resolución del caso
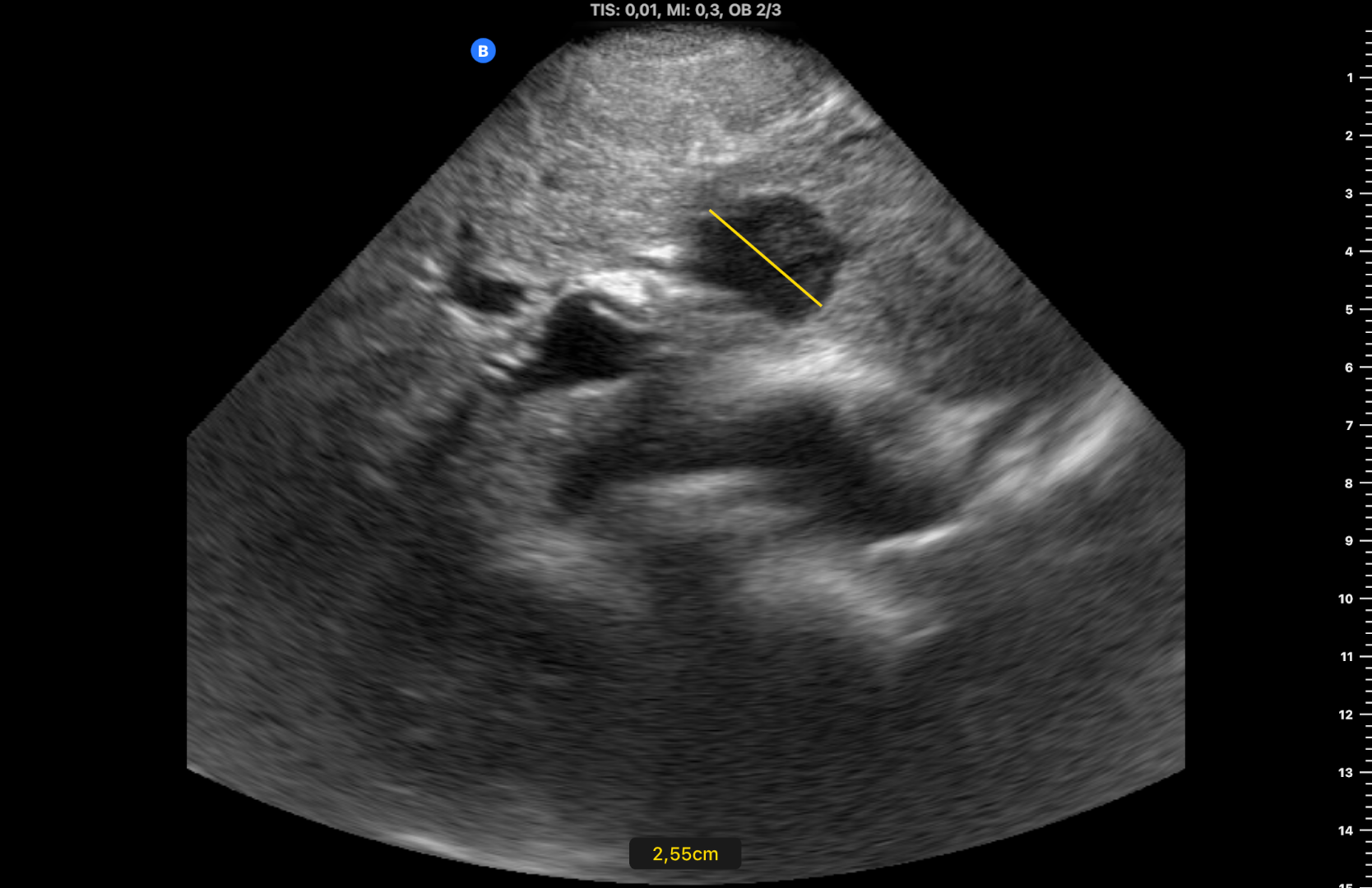
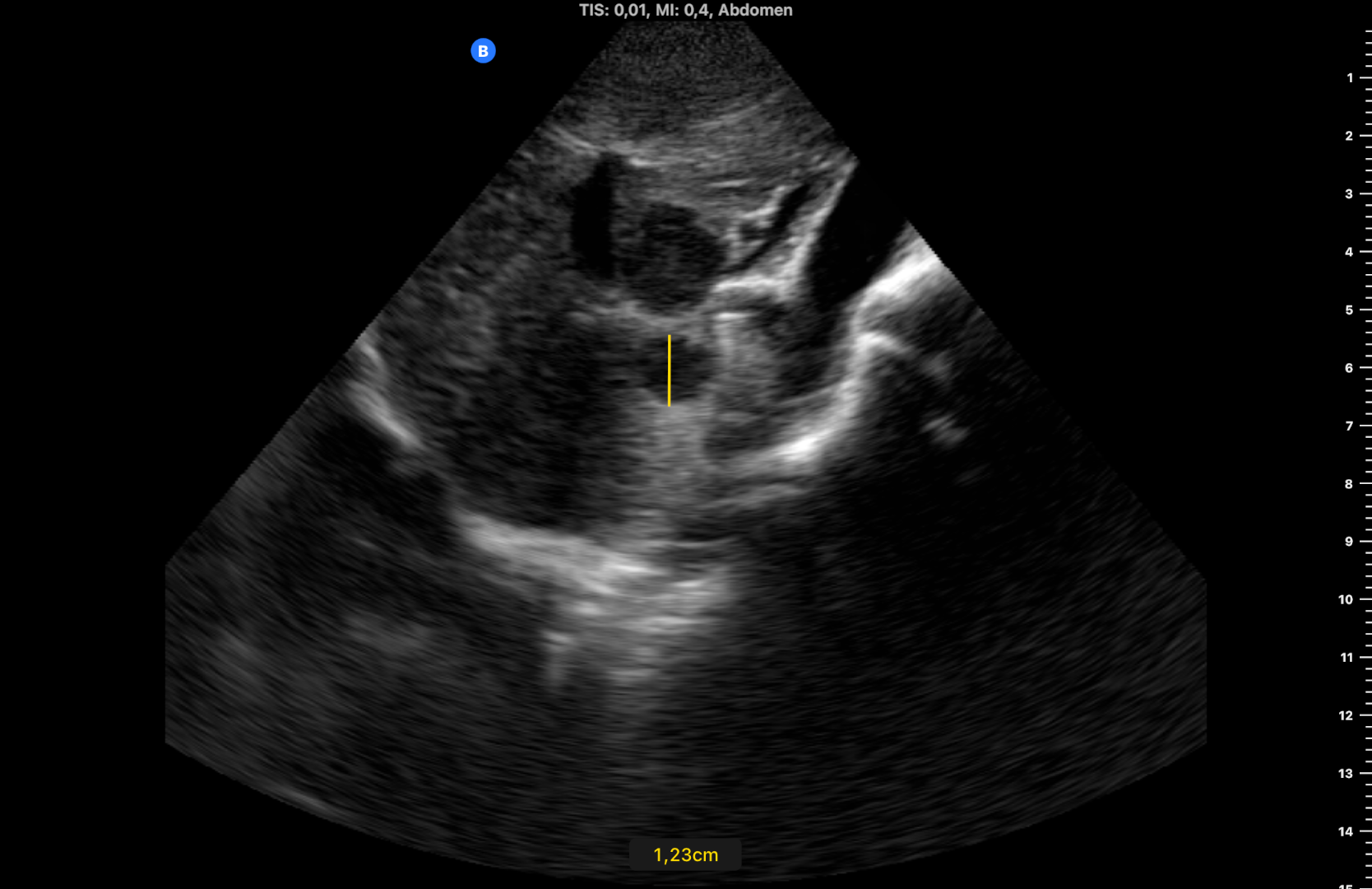
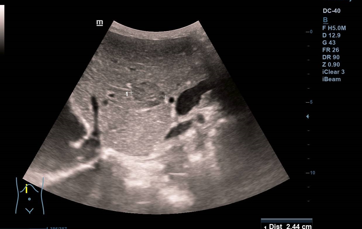
Se observan dos imágenes hipoecogénicas en el parénquima hepático, bien delimitadas, con alguna lobulación a nivel de segmento 3 y en lóbulo caudado de 2,5 y 1,2 cm de diámetro (figuras 1 y 2) y una porta de 13,1 mm de calibre. Se confirman los hallazgos con ecógrafo de consola (figura 3) (vídeos disponibles).
Otras pruebas complementarias realizadas (si existen)
Tras los hallazgos ecográficos se cita la analítica para el día siguiente, sorprendiéndonos unos resultados totalmente normales.
Juicio clínico, diagnóstico diferencial, concordancia con el hospital (en su caso)
LOES hepáticas en paciente con pérdida de peso y analítica normal.
Decisiones adoptadas: tratamiento, planes de actuación
Derivación preferente al Servicio de Digestivo para completar el diagnóstico con otras pruebas de imagen a las que no tenemos acceso desde Atención Primaria.
Evolución y seguimiento
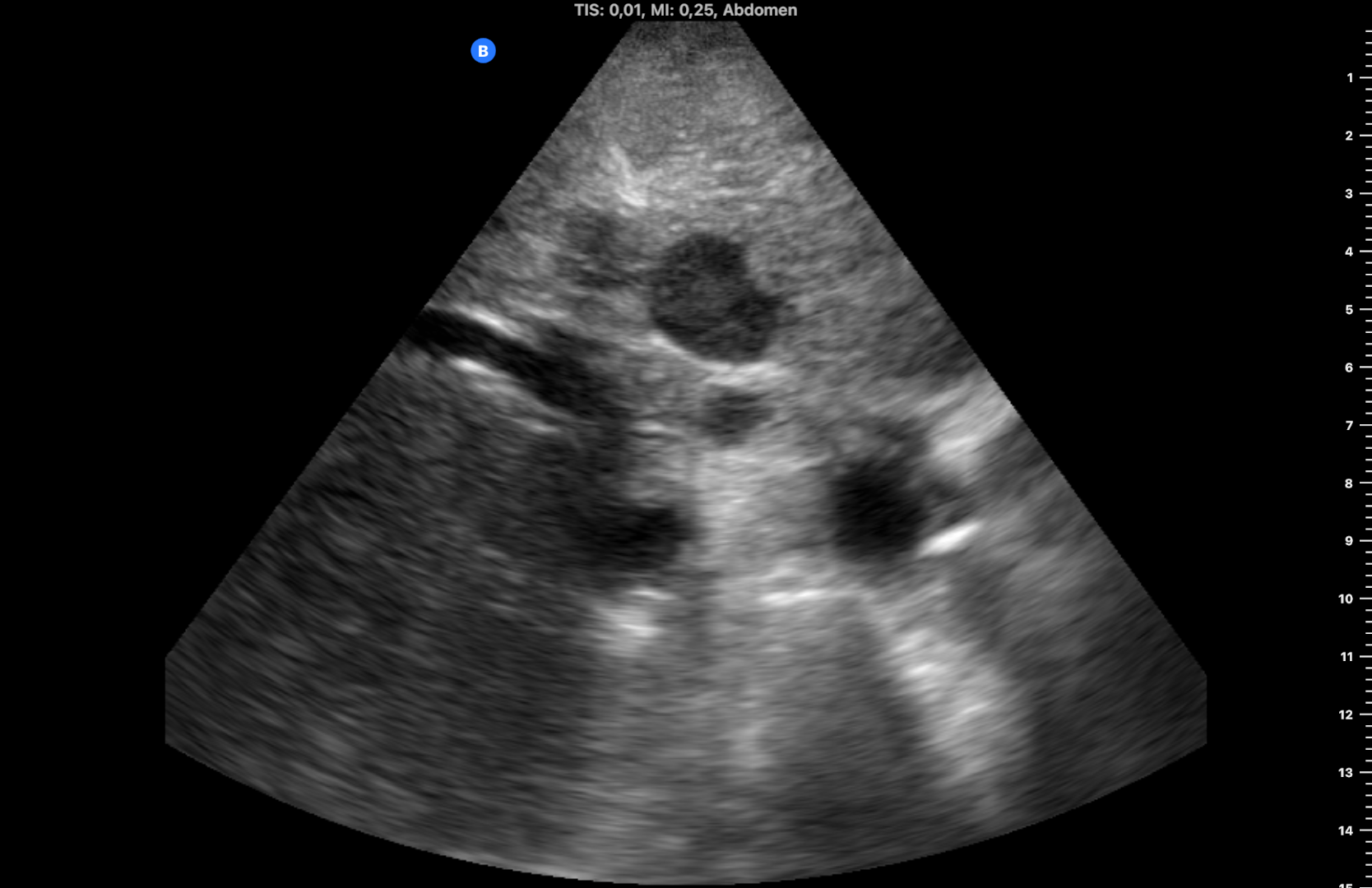
Seis meses después, al revisar la historia su médico advierte que el paciente olvidó su cita y vuelve a derivarlo tras realizar otra ecografía clínica, observando las mismas lesiones sin cambios (figura 4), lo que sugería benignidad. Finalmente se realiza TC: «lesión hipodensa de apariencia sólida en lóbulo caudado de 14 mm y lesión subcapsular de 9 mm en segmento VIII» y RM: «múltiples lesiones hepáticas benignas, la mayoría corresponden a angiomas hepáticos (los de mayor tamaño se localizan en los segmentos 1 y 3), otras se corresponden a pequeños quistes biliares subcentimétricos».
Aunque un aparente síndrome constitucional (en esta ocasión debido a su situación social) y LOES hipoecogénicas hepáticas inicialmente pueden sugerir malignidad, debe mantenerse una actitud prudente hasta la confirmación diagnóstica. Los angiomas suelen verse como lesiones hiperecogénicas bien delimitadas pero pueden tener presentaciones atípicas.



