V Jornadas de Ecografía de la semFYC

9 y 10 de febrero de 2024

Comunicaciones: Casos clínicos

Que haya LOES no siempre malo es (póster)

Ámbito del caso

Atención Primaria

Motivos de consulta

Diarrea, dolor abdominal. 

Historia clínica

Enfoque individual

Varón de 48 años que acude por un cuadro de diarrea de 2 días de evolución sin productos patológicos, sin fiebre y con regular estado general. Refiere dolor abdominal de un mes de evolución, continuo, no cólico.

A la exploración destaca un abdomen timpánico con molestia difusa a la palpación, hepatomegalia. Resto de exploración, normal.

Hallazgos ecográficos

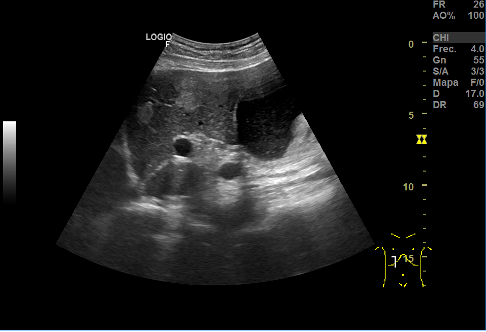
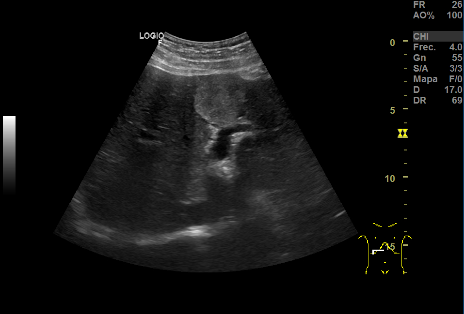
En la ecografía, a nivel hepático, vimos unas imágenes hiperecoicas redondeadas hipervascularizadas: una de aproximadamente 5 cm de diámetro y otra de 3cm, sospechosas de LOEs (lesiones ocupantes de espacio).

Dada la clínica del paciente, el regular estado general y las lesiones ecográficas derivamos al paciente a la urgencia.

Pruebas complementarias

En la urgencia realizan analítica, que es normal, y se deriva a Digestivo preferente. El Digestivo solicita TAC toraco-abdominal.

Repite la ecografia: En el segmento IV, aparece una imagen redondeada de 30x40 mm heterogénea, iso-hipoecogénica sin captación ecodoppler que podría ser un angioma, HFN (hiperplasia nodular focal) u otra posibilidad; otra imagen oval hiperecogénica de 19 mm, que sugiere angioma como primera posibilidad.

TAC con contraste: Se ven al menos cuatro lesiones hipodensas, con realce centrípeto compatible con hemangioma.

Juicio clínico, diagnóstico diferencial, identificación de problemas

Se diagnostica de hemangiomas (uno de ellos, de 4 cm).

Tratamiento y planes de actuación

 Le solicitan ecografía en 6 meses para valorar estabilidad en cuanto a tamaño.

Evolución

El paciente está asintomático, las lesiones ecográficas fueron un hallazgo casual. 

Conclusiones (y aplicabilidad para la Medicina de Familia)

El aspecto de los hemangiomas hepáticos en la ecografía son lesiones de pequeño tamaño (inferior a 30 mm), hiperecoicas, bien delimitadas, homogéneas, con refuerzo acústico posterior y sin captación en el estudio Doppler. En cambio, el aspecto ecográfico atípico como el de nuestro caso: mayor tamaño, heteroecoico con zona central hipoecoica y límites irregulares o mal definidos, requiere de otras técnicas.

El ecógrafo del centro de salud es una herramienta muy útil que nos ayuda al diagnóstico, pero no nos da el definitivo; para ello, en ocasiones, necesitamos la valoración por Especializada. En este caso, las imágenes hepáticas eran muy sugestivas de LOES tipo metástasis pero la valoración por el Digestivo y la realización de otras pruebas de imagen dieron con el diagnóstico definitivo de hemangiomas.

 

 


Comunicaciones y ponencias semFYC: 2025; Comunicaciones: Casos clínicos. ISSN: 2339-9333

Autores

M, Seraina Alessia
CS Puerta Bonita. Madrid
Ronda del Corro, María
CS Puerta Bonita. Madrid
Metola Gómez, Montserrat
CS Puerta Bonita. Madrid