X Jornadas de Actualización en Medicina de Urgencias y VI Jornadas de Ecografía de la semFYC
6-7-8 de febrero de 2025
Antecedentes personales relevantes, anamnesis, exploración física y lugar que ocupa en ella la ecografía
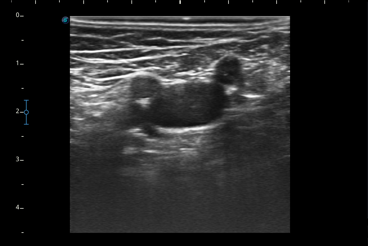
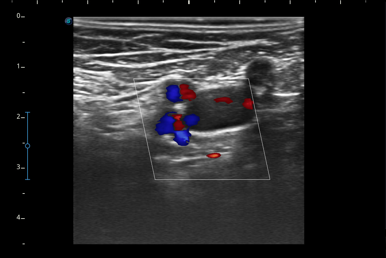
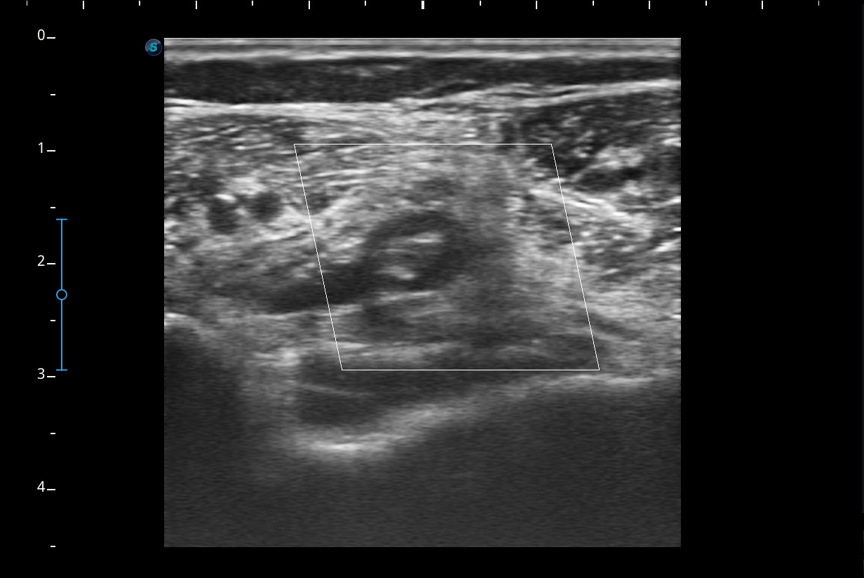
Mujer de 44 años, que presenta desde hace 2-3 semanas dolor e impotencia funcional en la pierna derecha con aumento de volumen y eritema de pantorrilla ipsilateral que en un inicio se trató como rotura fibrilar para la que se pauta reposo y tratamiento analgésico oral. Ha mejorado muy levemente pero persiste dolor en el hueco popliteo e impotencia funcional.Descripción de los hallazgos ecográficos y las imágenes más relevantes para la resolución del caso
A nivel del hueco poplíteo se visualiza presencia de trombosis de la vena poplítea, no así en localizaciones proximales.Otras pruebas complementarias realizadas (si existen)
No.Juicio clínico, diagnóstico diferencial, concordancia con el hospital (en su caso)
Dolor e impotencia funcional pierna derecha con aumento de volumen y eritema de pantorrilla.Decisiones adoptadas: tratamiento, planes de actuación
Se deriva a urgencias hospitalarias.Evolución y seguimiento
En urgencias se pauta tratamiento con heparina subcutánea y se cita en Medicina Interna, donde posteriormente cambian tratamiento a dabigatrán por petición de la paciente dada la baja tolerancia a los pinchazos y cita para revisión en 3 meses.


