X Jornadas de Actualización en Medicina de Urgencias y VI Jornadas de Ecografía de la semFYC
6-7-8 de febrero de 2025
Atención Primaria.
Omalgia derecha y pérdida ponderal.
Antecedentes personales relevantes, anamnesis, exploración física y lugar que ocupa en ella la ecografía
Hombre de 27 años. Originario de Senegal, lleva 3 años trabajando en una granja en España, y vive en un piso compartido. Sin antecedentes médico-quirúrgicos conocidos. Niega enfermedades conocidas previas. No toma tratamiento habitual.
Dolor de hombro derecho refractario a analgesia oral y a tratamientos tópicos, de más de 1 mes de evolución. Desde hace 1 semana, dolor también en últimos arcos costales derechos y en hipocondrio derecho. Refiere importante pérdida ponderal, astenia e hiporexia. No sensación distérmica ni sudoración nocturna. Acude a su Centro de Salud, donde al iniciar exploración abdominal destaca gran hepatomegalia pétrea y de contornos nodulares. Sin datos de peritonismo, sin dolor ni alteraciones en resto de cuadrantes. Resto de exploración física sin alteraciones.
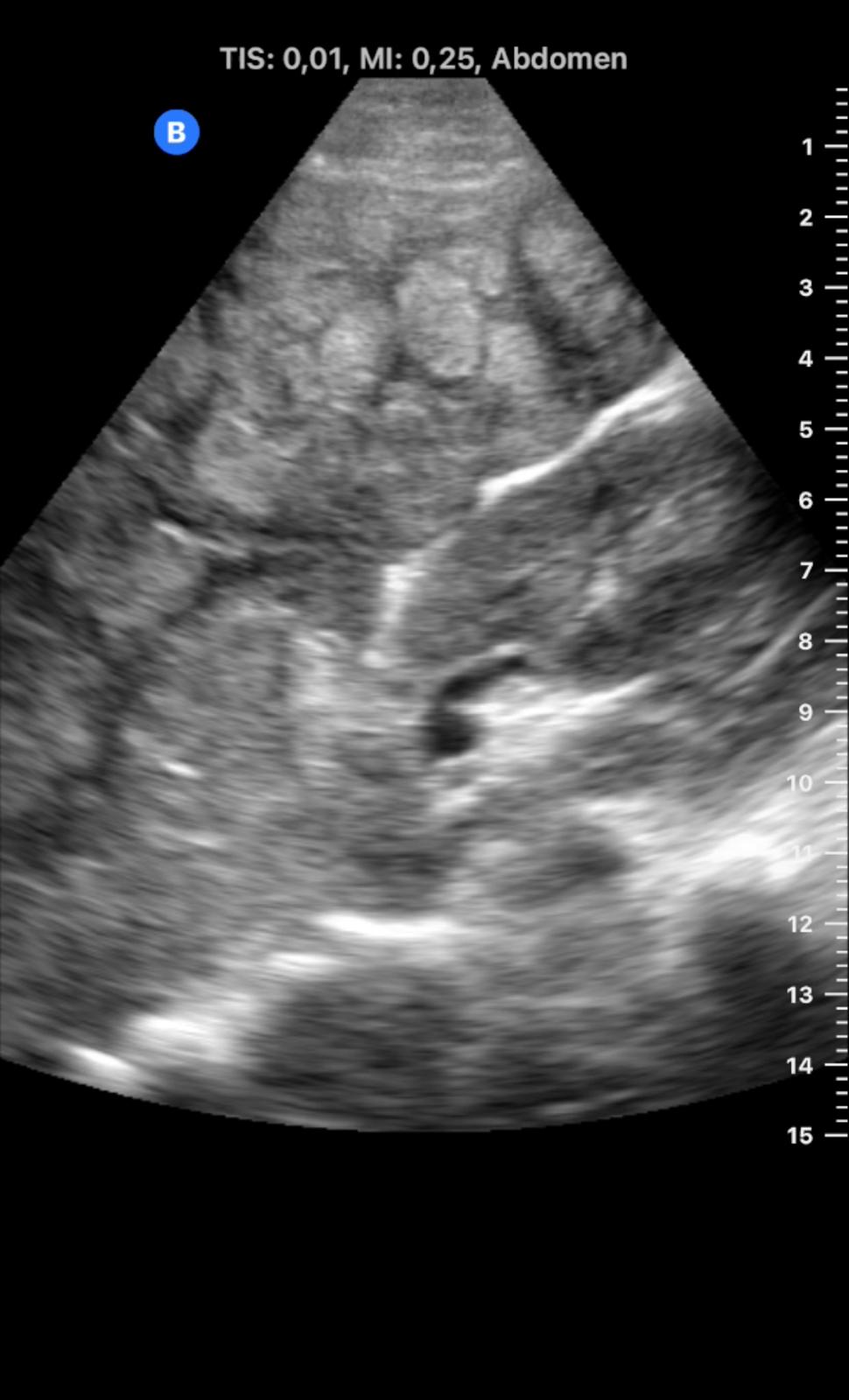
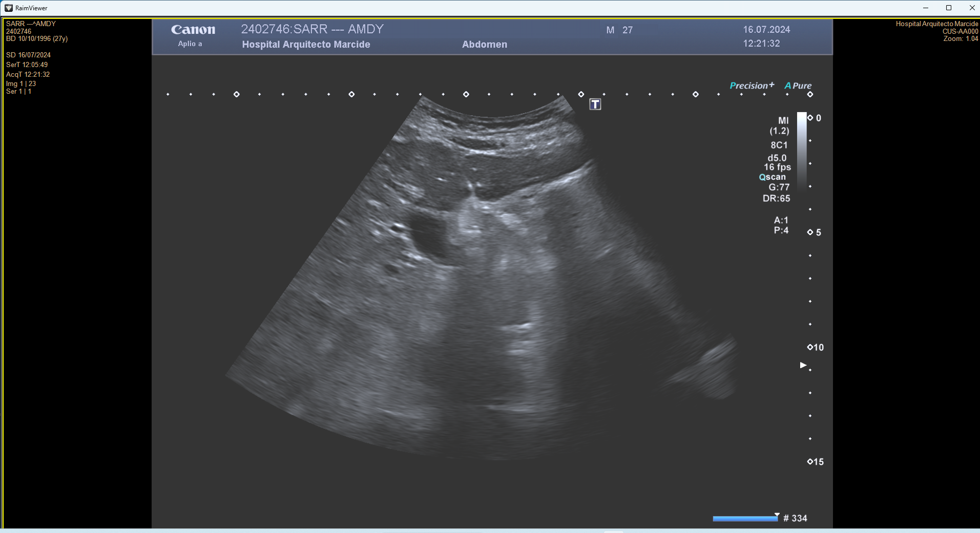
En ecografía en Centro de Salud: La práctica totalidad del parénquima hepático se encuentra sustituida por múltiples lesiones sólidas nodulares hiperecoicas, de predominio en el lóbulo hepático derecho, donde presentan tendencia a la confluencia y conforman una masa que alcanza los 13 cm de diámetro máximo. La vena porta es permeable y ectásica, con esplenomegalia. Ambos son signos de hipertensión portal.
Ante estos hallazgos se deriva al paciente a Urgencias.
Otras pruebas complementarias realizadas (si existen)
Juicio clínico, diagnóstico diferencial, concordancia con el hospital (en su caso)
Decisiones adoptadas: tratamiento, planes de actuación
Tras derivación a Urgencias, el paciente ingresó en Medicina Interna, donde se detectó serología positiva para infección crónica por VHB y se realizó biopsia, confirmándose la sospecha diagnóstica de hepatocarcinoma, con posterior valoración interdisciplinar para establecer tratamiento médico oncológico.
Evolución y seguimiento
Actualmente presenta adecuado control de dolor, reducción notable de carga viral de VHB y está pendiente de nuevo control radiológico.
La ecografía se plantea una vez más como herramienta imprescindible para ayudarnos a discernir entre lo que puede requerir actuación urgente o estudios ambulatorios. Es de especial utilidad como exploración adicional en escenarios donde los tratamientos para nuestra primera sospecha diagnóstica no funcionan.



