X Jornadas de Actualización en Medicina de Urgencias y VI Jornadas de Ecografía de la semFYC
6-7-8 de febrero de 2025
Atención Primaria.
Adolescentes de 15-17 años con macrohematuria referida o detectada en analítica de programa.
Antecedentes personales relevantes, anamnesis, exploración física y lugar que ocupa en ella la ecografía
Serie de 4 pacientes (15-17 años), sin AP conocidos, procedentes de África subsahariana. Remitidos para ecografía clínica en el centro de salud por presentar hematuria macroscópica y/o anemia.
Descripción de los hallazgos ecográficos y las imágenes más relevantes para la resolución del caso.
Exploraciones normales.
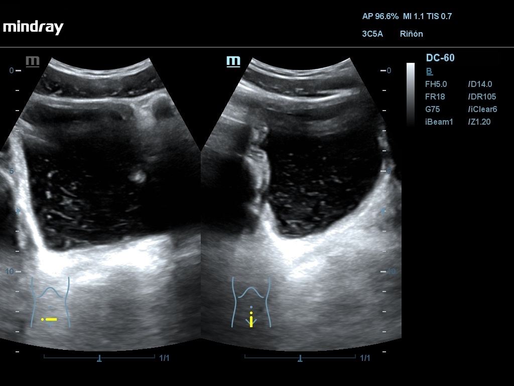
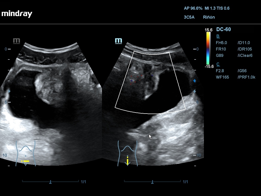
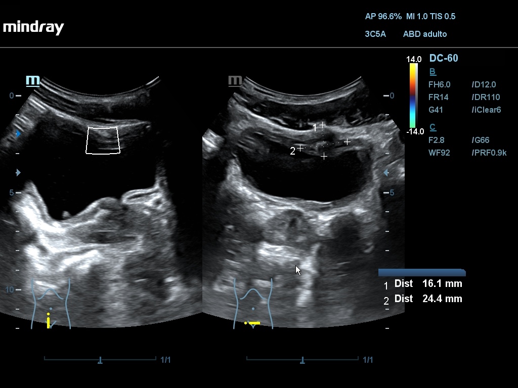
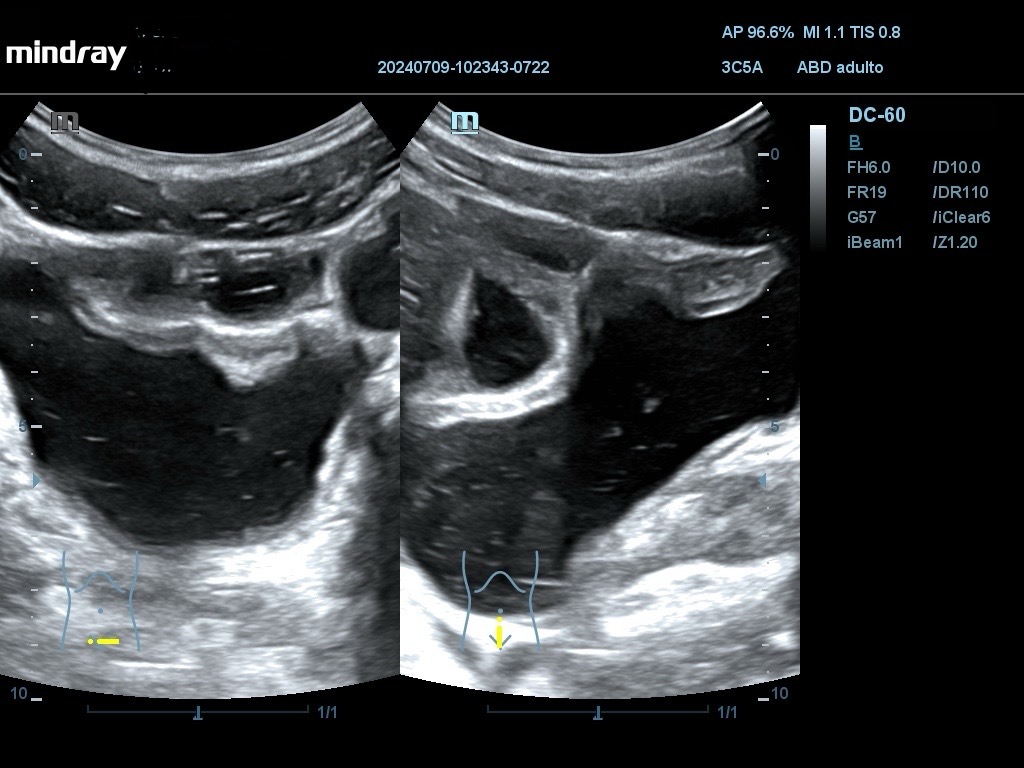
Ecografía: Se han observado varias imágenes poco habituales en vejiga urinaria: imágenes hiperecogénicas flotantes sin sombra posterior, móviles (detritus), engrosamiento de pared vesical que simula una vejiga no distendida con áreas anecoicas, pared con imagen en doble carril, masa vesical.
Otras pruebas complementarias realizadas (si existen)
Estudio de Schisostoma haematobium en orina, URO-TC, ecografías en AE.
Juicio clínico, diagnóstico diferencial, concordancia con el hospital (en su caso)
La sospecha inicial por criterios epidemiológicos es esquistosomiasis con afectación de vejiga urinaria. El diagnóstico diferencial se debe hacer con otras infecciones y tumores (raros en esta edad). En uno de los casos, AE considera que las imágenes se deben a vejiga poco replecionada y no las valora como patológicas. La masa vesical podría ser de tipo inflamatorio o tumoral.
Decisiones adoptadas: tratamiento, planes de actuación
Se derivan a AE (medicina interna y urología) para completar estudio y tratamiento ante la dificultad para realizar pruebas complementarias adicionales en Atención Primaria.
Evolución y seguimiento
A uno se le ha realizado RTU con extirpación de masa y estudio anatomopatológico.
2 han recibido ya tratamiento para esquistosomiasis.
1 está pendiente de RTU.
Algunos procesos están aún pendientes de resultado.
Nuevos pacientes, con riesgo de enfermedades poco prevalentes en su nuevo medio, nos exige valorar hallazgos de otra manera. Los hallazgos de estos pacientes cubren un rango amplio de hallazgos probables en pacientes con esquistosomiasis con afectación de vejiga urinaria, que debe ser la primera sospecha en pacientes con hematuria procedentes del África subsahariana.



