X Jornadas de Actualización en Medicina de Urgencias y VI Jornadas de Ecografía de la semFYC
6-7-8 de febrero de 2025
Antecedentes personales relevantes, anamnesis, exploración física y lugar que ocupa en ella la ecografía
Antecedentes personales: DM2, DLP y HTA en tto médico. IRC. HBP. Glaucoma.
Anamnesis: El paciente reconsulta por persistencia de tos con expectoración y fiebre de > 72 horas de hasta 38,5 ºC. Fue visitado 4 días antes en un centro de urgencias de Atención Primaria donde diagnosticaron de Bronquitis aguda leve. El paciente presenta persistencia de la fiebre tras 5 días y accesos de tos intensa. Niega disnea o dolor torácico. No diarreas ni vómitos.
Exploración física: MVC en ambos campos pulmonares con ligera hipofonesis en base derecha, sin claros crepitantes ni sibilantes. Sat O2 97%.
Se realiza ecografía pulmonar a pie de cama para completar estudio.
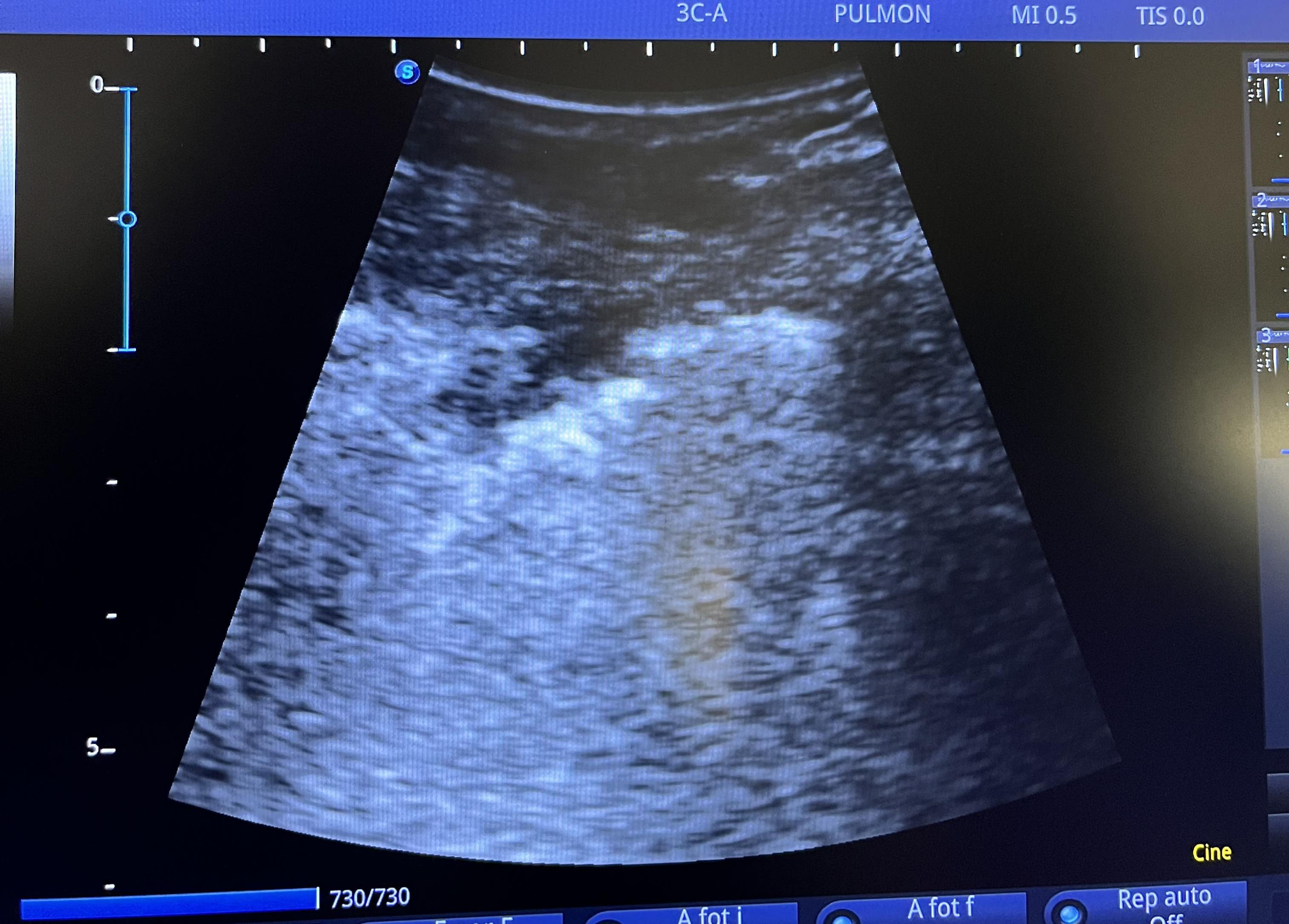
Descripción de los hallazgos ecográficos y las imágenes más relevantes para la resolución del caso
En la ecografía a pie de cama se observa condensación subpleural de unos 2 x 3 cm en base pulmonar derecha, próxima a seno costofrénico. Se observan también abundantes líneas B subpleurales en dichos campos pulmonares, algunas con imagen en «cola de cometa».
Otras pruebas complementarias realizadas (si existen)
En la Radiografía de tórax realizada 4 días antes en el centro de urgencias no se observan infiltrados ni condensaciones, sin signos de derrame pleural.
Juicio clínico, diagnóstico diferencial, concordancia con el hospital (en su caso)
El diagnóstico diferencial plantea: neumonía adquirida en la comunidad, bronquitis aguda simple, tuberculosis, descompensación de insuficiencia cardíaca, carcinoma broncogénica.
Ante la clínica aguda y los hallazgos ecográficos se realiza el diagnóstico de Neumonía Adquirida en la comunidad.
Decisiones adoptadas: tratamiento, planes de actuación
Se inicia tratamiento con Amoxicilina 1 g cada 8 horas 7 días. Se recomienda mantener el tratamiento con broncodilatadores según pauta inicial (Atrovent 2 puffs/8horas y Salbutamol 2 puffs/8 horas y rescates), paracetamol 650 mg/8 horas, se explican posibles complicaciones y normas de reconsulta.
Evolución y seguimiento
El paciente presenta buena evolución, con resolución de la fiebre a las 24-48 horas y disminución progresiva de la tos y expectoración, con resolución completa a las 2 semanas.
El uso de la ecografía en Atención Primaria fue crucial para el diagnóstico rápido y preciso de una neumonía incipiente. Este caso subraya la importancia de la ecografía accesible en Atención Primaria para mejorar la detección temprana y la gestión efectiva de las complicaciones respiratorias. La formación en ecografía en Atención Primaria puede capacitar a los médicos de familia para gestionar mejor a los pacientes con síntomas respiratorios agudos.ç
