X Jornadas de Actualización en Medicina de Urgencias y VI Jornadas de Ecografía de la semFYC
6-7-8 de febrero de 2025
Antecedentes personales relevantes, anamnesis, exploración física y lugar que ocupa en ella la ecografía
Mujer de 35 años, sin antecedentes personales de interés, consulta por tos sin expectoración, dolor pleurítico y fiebre > 38 ºC de 4 días de evolución. Previamente, había consultado el servicio de urgencias en varias ocasiones por tos y malestar general, donde habían pautado tratamiento sintomático. En la exploración física se encuentra eupneica en reposo, saturación oxígeno 97% sin trabajo respiratorio, 90 latidos por minuto, 110/75 mmHg. A la auscultación destacan crepitantes en base pulmonar derecha e hipofonesis.
Ante la sospecha clínica de infección respiratoria, se decide realizar ecografía pulmonar con el fin de orientar mejor el tratamiento y evitar desplazamientos de la paciente a un centro donde pueda realizarse radiografía de tórax.
Descripción de los hallazgos ecográficos y las imágenes más relevantes para la resolución del caso
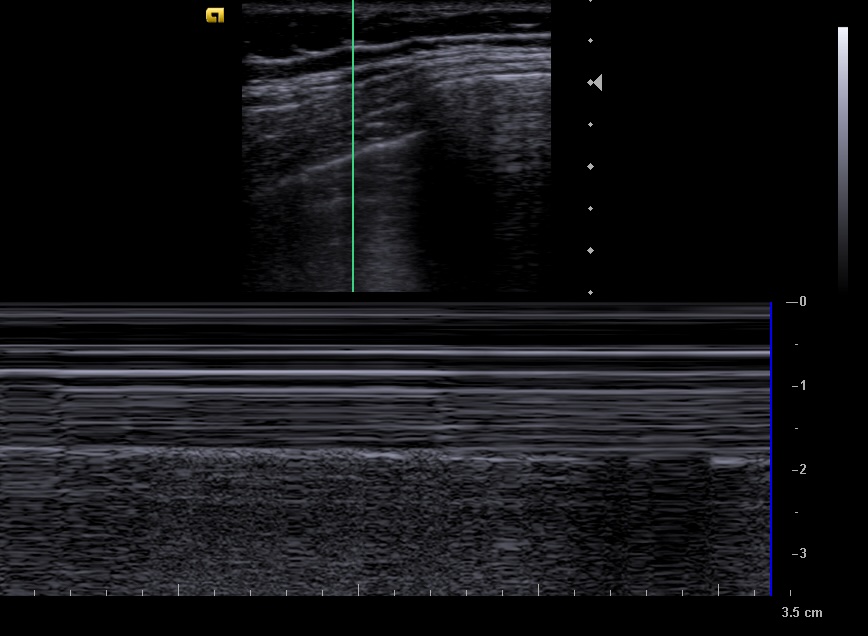
En la ecografía apreciamos en campo derecho un patrón ecográfico tisular, con líneas y puntos hiperecoicos, y algún artefacto en cola de cometa, correspondientes a broncograma aéreo.
Otras pruebas complementarias realizadas (si existen)
Ecografía clínica.
Dado que la paciente presentó buena evolución tras inicio de tratamiento, no precisó más estudios complementarios.
Juicio clínico, diagnóstico diferencial, concordancia con el hospital (en su caso)
Neumonía no complicada en campo pulmonar derecho.
Como diagnóstico diferencial: Nódulo pulmonar, tuberculosis, derrame pleural.
Decisiones adoptadas: tratamiento, planes de actuación
Tras realizar ecografía pulmonar, una vez descartada la presencia de derrame pulmonar no complicado o empiema, dado que se trata de una paciente joven sin antecedentes personales de interés, decidimos iniciar tratamiento antibiótico empírico con levofloxacino 500 mg cada 24 horas durante 7 días y tratamiento sintomático.
Evolución y seguimiento
La paciente refiere desaparición de la fiebre tras 48 horas del inicio de la antibioterapia. Mejoría clínica progresiva de la sintomatología por lo que no precisó más estudios complementarios.
La utilidad de la ecografía en el diagnóstico y manejo de la neumonía radica en la accesibilidad y coste-eficacia, evita radiaciones ionizantes, hecho que adquiere importancia sobre todo en edades tempranas de la vida, así como desplazamientos a otros centros que dispongan de radiografía.
Por otra parte, permite derivaciones más orientadas en los casos más graves ya que a la hora de visualizar derrame pleural, esta es más precisa que la radiografía, ya que solo es necesario la acumulación de 5 ml de líquidos para poder objetivarlo, mientras que en la radiografía son necesarios al menos 150 ml.

