X Jornadas de Actualización en Medicina de Urgencias y VI Jornadas de Ecografía de la semFYC
6-7-8 de febrero de 2025
Antecedentes personales relevantes, anamnesis, exploración física y lugar que ocupa en ella la ecografía
Antecedentes médicos:
2,20 mm tipo célula epitelioide. Estadio IIA. Ultimo control 6meses antes libre de enfermedad
Exploración física
Regular estado general, ictericia leve cutánea y conjuntival.
ACR normal
Abdomen blando y depresible, hepatomegalia de 4 cm.
No se palpan adenopatías
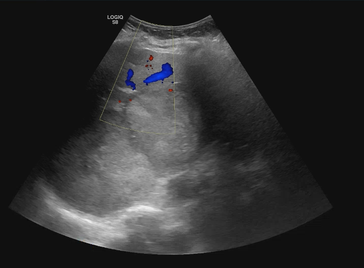
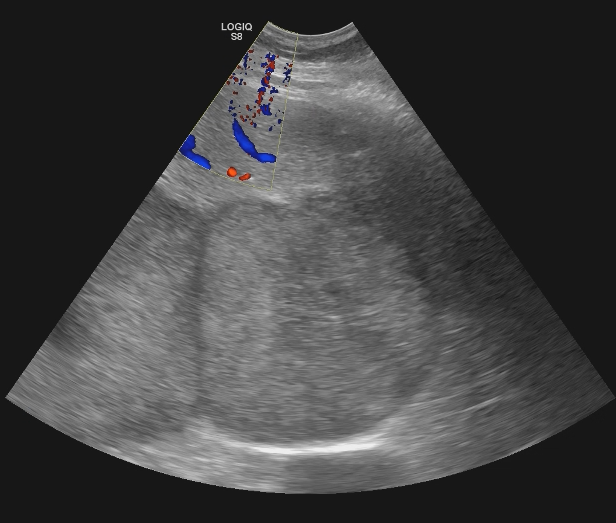
Descripción de los hallazgos ecográficos y las imágenes más relevantes para la resolución del caso
Se realiza ecografía abdominal en la consulta que muestra abundantes lesiones ocupantes de espacio en ambos lóbulos hepáticos, alguna de gran tamaño.Otras pruebas complementarias realizadas (si existen)
Ante el estado clínico del paciente y la sospecha ecográfica de metástasis hepáticas se deriva al paciente al serivio de urgencias del hospital de referencia.
Se realiza TC toraco-abominal
Estómago con cambios por cirugia bariatrica.
Hígado con múltiples metástasis y ambos lóbulos, la más gruesa de uns 10,2 cm en los segmentos VI y VII. Colecistolitiasis. Vía biliar no dilatada.Esplenomegalia con nódulos 12 y 14 mm inespecíficos. Nódulos suprarrenal izquierdo de 46 mm y dos derechos de 14 y 18 mm, inespecificos. Páncreas de medida y morfología normal. No hay signos de uropatía obstructiva. Riñones dentro de la normalidad con el nefrograma simétrico. Adenopatías retroperitoneales de predominio retrocavales y enteraortocava, la mas gruesa de 19 mm. Lesiones líticas en las costillas, esternón, vertrebrales y pelvianas. Conclusión: Enfemerdad neoplasia con diseminacion pulmonar y hepática, osea, ganglionar y probablemente esplenica y suprarrenal bilateral. No se identifica origen.
Biopsia de nódulo hepático positiva para melanoma maligno.
Juicio clínico, diagnóstico diferencial, concordancia con el hospital (en su caso)
Se confirma diagnóstico con pruebas complementarias de enfermedad metastásica que coincide con la orientación diagnóstica realizada en el Centro de Salud.
Decisiones adoptadas: tratamiento, planes de actuación
Se inicia Quimioterapia y Radioterapia paliativa debido a la enfermedad en fase avanzada del paciente.
Evolución y seguimiento
La evolución del paciente fue desfavorable siendo exitus a los 4 meses del inicio del cuadro clínico.
En este caso la realización de la ecografía fue determinante para derivar al paciente y no demorar el estudio y el tratamiento a realizar.
Cabe destacar que la ecografía realizada en primaria se utilizó como prueba válida para continuar el estudio.

