V Jornadas de Ecografía de la semFYC

9 y 10 de febrero de 2024

Comunicaciones: Casos clínicos

La luz que no se ve (póster)

Ámbito del caso

Atención Primaria.

Motivos de consulta

Mujer de 79 años normotensa, refiere desde hace un mes sensación de presión en región cervical anterior e inferior.

Historia clínica

Enfoque individual

Antecedentes personales de trombocitosis en tratamiento con hydrea y nódulos tiroideos.

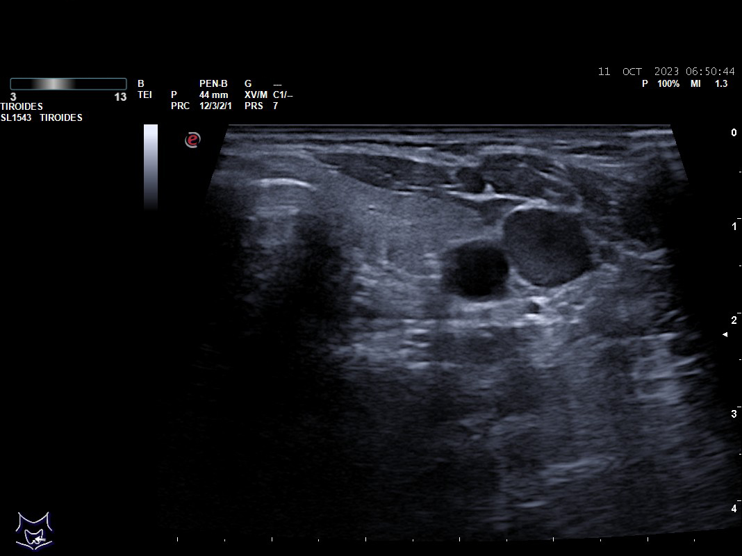
Hallazgos ecográficos

Desde hace un mes sensación de presión en región cervical anterior e inferior, exploración del cuello normal y se programa para una eco cervical.

Pruebas complementarias

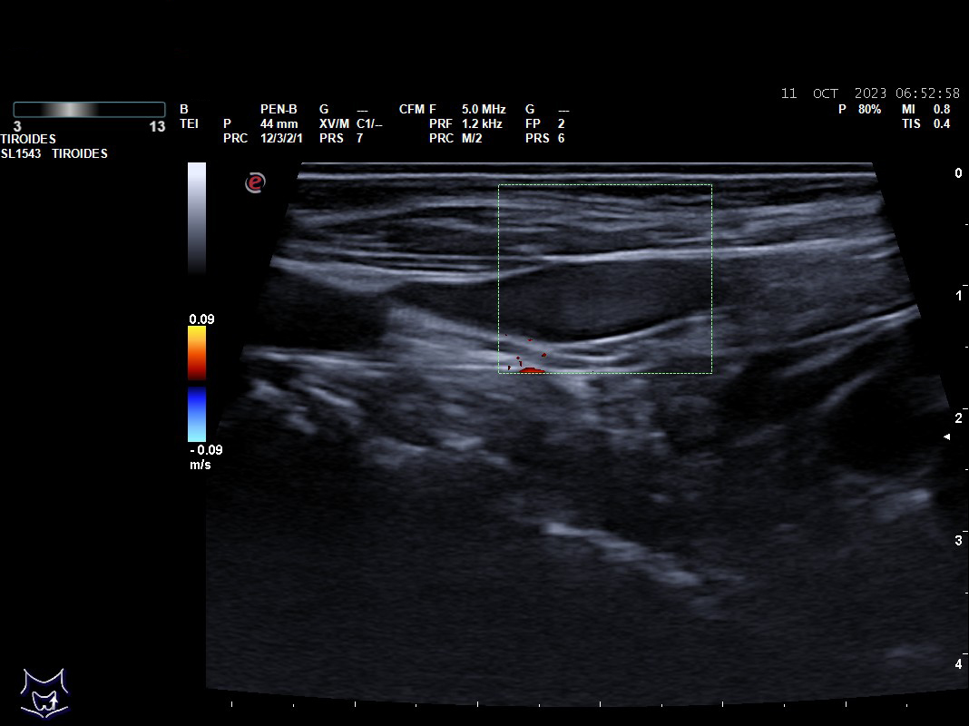
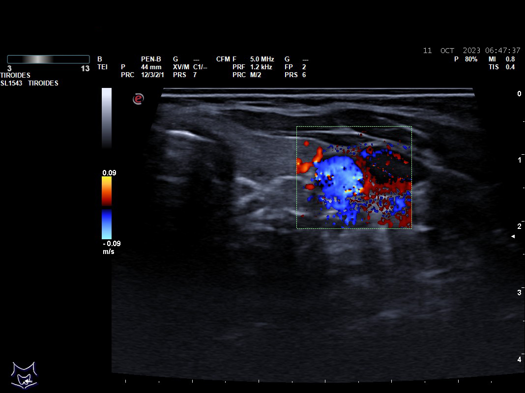
Hallazgos ecográficos: nódulos tiroideos subcentimétricos sin cambios, yugular interna izda con contenido discretamente hiperecogénico que no capta Doppler y colapsabilidad incompleta.

Juicio clínico, diagnóstico diferencial, identificación de problemas

Se deriva a urgencias es valorada por cirugía vascular quienes describen la presencia del trombo sin poder precisar su final y se ingresa a la paciente ya que el servicio de radiología no considera realizar en ese momento el estudio pertinente.

Tratamiento y planes de actuación

Se inicia tratamiento con Heparina de bajo peso molecular a la espera del angio-tac.

Evolución

Tras cinco días de ingreso se realiza un ecodoppler reglado descartándose la trombosis venosa, se suspende la anticoagulación y se da de alta sin tratamiento.

Conclusiones (y aplicabilidad para la Medicina de Familia)

La trombosis venosa yugular es una patología infrecuente que ante su hallazgo conviene ampliar estudios para descartar patologías que pueden ser graves. Y es aconsejable hacer seguimiento periódico por la posibilidad de la detección de tumores futuros. 

Se manifiesta en edades extremas del vida, niños pequeños o personas de edad avanzada, supone menos del 5% de las manifestaciones de la enfermedad tromboembólica. Son excepcionales las formas idiopáticas.

Entre las causas tenemos: catéteres venosos centrales (75%) mayor riesgo si el paciente tiene trombocitosis en el momento de colocación del catéter, tumores, estados protrombóticos: trombosis previas, déficit de factor V de Leiden, mutación genética de protrombina G20210A, e idiopáticas sobre todo tumorales. Hasta un 5% de los pacientes diagnosticados de TVP desarrollan neoplasias en 1 año.

El diagnóstico se realiza con eco-doppler y TAC.

Las complicaciones derivadas son: TEP, infección local, síndrome postrombótico (hipertensión venosa, aumento de volumen de la extremidad y dolor) trombosis de v. subclavia y embolismos recurrentes. 

 El tratamiento es anticoagulación con HBPM al menos 5 días, seguido de antagonistas de vitamina K durante 3-6 meses.


Comunicaciones y ponencias semFYC: 2025; Comunicaciones: Casos clínicos. ISSN: 2339-9333

Autores

Sanz Velasco, Carmelina
CS Sector III. Getafe
Hernández López, Rosa María
CS Sector III. Getafe
Borrego Villarreal, Santiago
CS Sector III. Getafe