V Jornadas de Ecografía de la semFYC

9 y 10 de febrero de 2024

Comunicaciones: Casos clínicos

Hematuria más allá de la vejiga (póster)

Ámbito del caso

Atención Primaria.

Motivos de consulta

Hematuria de repetición.

Historia clínica

Enfoque individual

Varón de 79 años, exfumador, con antecedentes de HTA, DM2 y HBP. En tratamiento con Enalapril/Hidroclorotiazida, Metformina/Sitagliptina, Simvastatina y Tamsulosina/Dutasteride. Hace un mes presentó un episodio de hematuria macroscópica, tratado con fosfomicina. Al persistir, fue derivado a Urología preferente, siendo citado en 2 meses. Tres semanas después acude de urgencia al centro de salud por nuevo episodio de hematuria. Es citado al día siguiente con repleción vesical para una ecografía clínica.

Hallazgos ecográficos

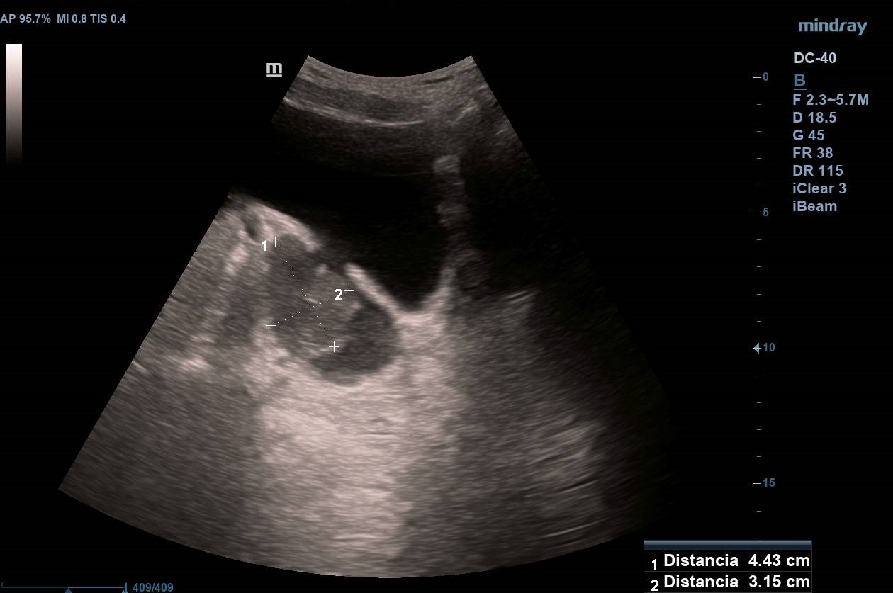
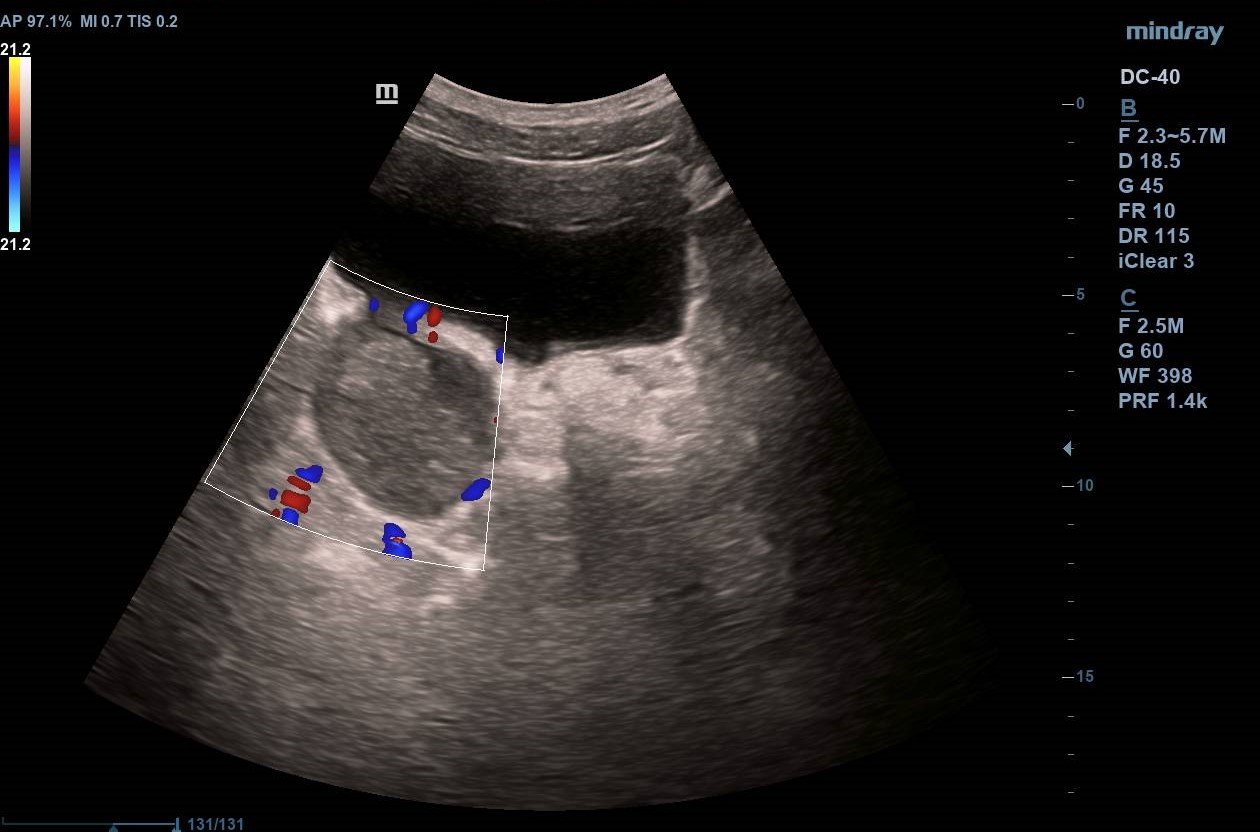
Divertículo vesical de 6 cm de diámetro en cuyo interior se observa masa homogénea de 4,43 x 3,15 cm que no capta Doppler y que parece depender de pared diverticular. Próstata homogénea de 37 cm3 (Imagen 1).

Pruebas complementarias

Se solicita orina con hematuria masiva, microalbuminuria 300 y urocultivo negativo. Analítica de sangre anodina.

Juicio clínico, diagnóstico diferencial, identificación de problemas

Masa vesical sospechosa de carcinoma de vejiga. Diagnóstico diferencial con coágulo vesical.

Tratamiento y planes de actuación

Dado que la cita con Urología estaba prevista en pocos días, se entregan al paciente imágenes e informe de la ecografía para aportar en consulta.

Evolución

Tras valoración en Urología, realizan cistoscopia un mes después, objetivando: «Lateral a OUD, lesión papilar de aproximadamente 5 mm. En PLD baja, divertículo de boca estrecha que se explora con cistoscopio flexible, con lesión sólido-papilar en su interior de aproximadamente 4-5 cm». Se toma muestra que corresponde a un carcinoma con diferenciación sarcomatoide, por lo que se realiza una cistectomía radical unas semanas después.

Conclusiones (y aplicabilidad para la Medicina de Familia)

El estudio de la hematuria es uno de los escenarios que con más frecuencia se plantean en las consultas de Atención Primaria, observándose en muchas ocasiones imágenes en el interior de la vejiga (litiasis, pólipos, coágulos…). No obstante, si no existen hallazgos en el interior de la vejiga debe ampliarse el estudio por si existiera un divertículo vesical, sobre todo en pacientes con hipertrofia prostática. En este caso existía un tumor sólido en el interior del divertículo que podría haber pasado desapercibido si se hubiera limitado el estudio a la vejiga.
 
 
 
 

Comunicaciones y ponencias semFYC: 2025; Comunicaciones: Casos clínicos. ISSN: 2339-9333

Autores

Cobo Ramírez, Gloria
CS Mar Báltico. Madrid
Regueiro Toribio, Paula
CS Mar Báltico. Madrid
Oscullo Yepez, Viviana Rocio
CS Mar Báltico. Madrid