X Jornadas de Actualización en Medicina de Urgencias y VI Jornadas de Ecografía de la semFYC
6-7-8 de febrero de 2025
Antecedentes personales relevantes, anamnesis, exploración física y lugar que ocupa en ella la ecografía
Hombre de 69 años, hipertenso, dislipémico, no fumador. Aterosclerosis.
Tratamiento: Tadalafilo, Tamsulosina 0,4 mg, Enalapril 10 mg, AAS 100 mg, Rosuvastatina 20 mg, Omeprazol 20 mg.
Anamnesis: hombre de 69 años que acude por clínica de hematuria franca sin coágulos, de días de evolución. No hay fiebre, clínica miccional ni síntomas constitucionales. La exploración del abdomen es anodina.
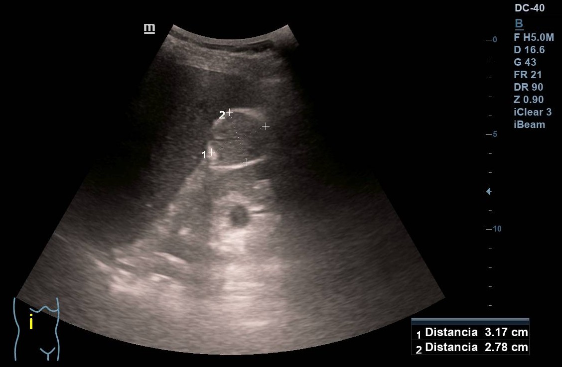
Descripción de los hallazgos ecográficos y las imágenes más relevantes para la resolución del caso
Ante la presencia de hematuria decidimos realizar una ecografía abdominal en el centro de salud. En la vejiga, insuficientemente replecionada, no encontramos lesiones. La próstata también es de tamaño y aspecto normales. En el riñón derecho se observa una masa de unos 3 cm con bordes irregulares.
Otras pruebas complementarias realizadas (si existen)
Tras estos hallazgos se decide derivación preferente a Urología, quien realiza TC que confirma una masa renal de 5 x 3,3 x 3 cm sugestiva de carcinoma renal no metastásico. Además realizan cistoscopia donde se objetiva una lesión papilar vesical de 1 cm, y otra zona eritematosa, sobreelevada y con papilas, en el fondo vesical.
Juicio clínico, diagnóstico diferencial, concordancia con el hospital (en su caso)
Juicio clínico: tumor vesical sincrónico con tumor renal.
Decisiones adoptadas: tratamiento, planes de actuación
El paciente es intervenido de nefrectomía derecha. El estudio de la biopsia vesical informa de carcinoma urotelial papilar no invasivo de alto grado.
Evolución y seguimiento
Desde entonces, ha sido sometido a nuevas RTU vesicales e instilaciones de BCG, y actualmente continúa en seguimiento.
