V Jornadas de Ecografía de la semFYC

9 y 10 de febrero de 2024

Comunicaciones: Casos clínicos

Hallazgo ecográfico en el despistaje de hematuria en el anciano (póster)

Ámbito del caso

Atención Primaria

Motivos de consulta

Infecciones de orina de repetición que concomitaban con episodios de microhematurias no objetivados en situación basal.

Historia clínica

Enfoque individual

Mujer, 71 años, con antecedentes de Enfermedad de Parkinson, síndrome de Gilbert, Dislipemia, obesidad, FA con miocardiopatía hipertrófica ablacionada y portadora de marcapasos anticoagulada con Rivaroxaban, con múltiples infecciones de orina de repetición en los últimos 2 años. Además, tratamiento psicofarmacológico en contexto de síndrome ansioso-depresivo.

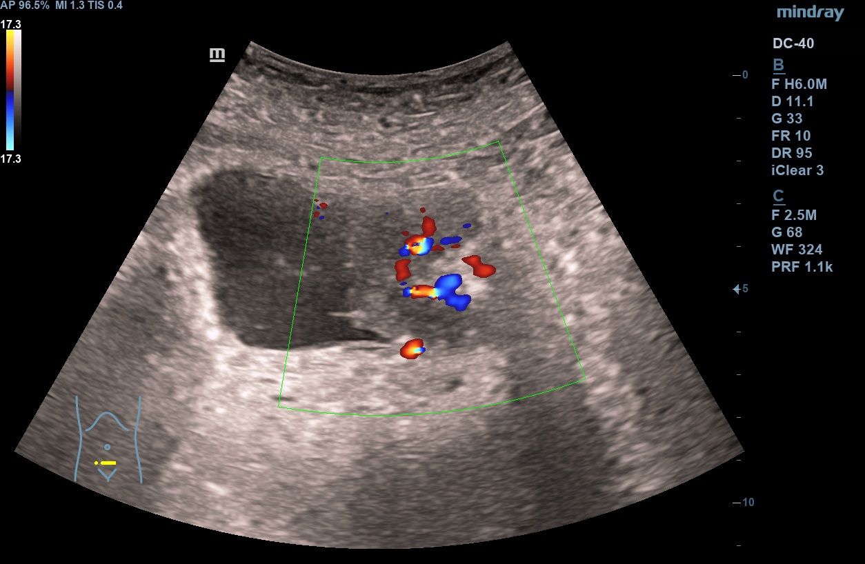
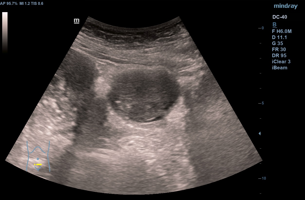
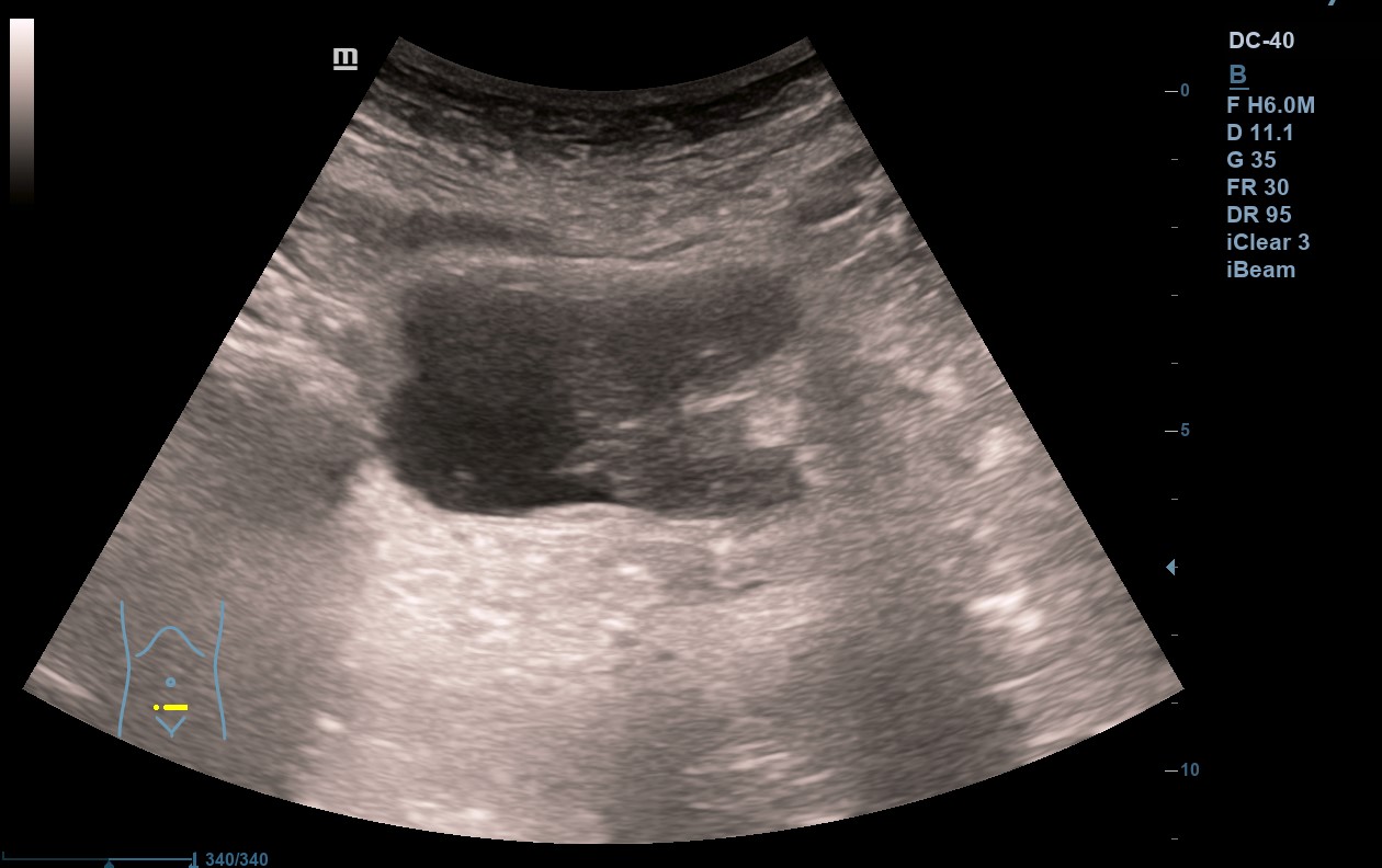
Hallazgos ecográficos

En analítica de control por Cardiología se evidencia anemia microcítica hipocrómica. En el estudio de la misma y concomitando con una infección de orina, se objetiva microhematuria, si bien no reseñable. Se trata la infección de orina y dada la desaparición de la sintomatología y la buena respuesta a tratamiento con ferroterapia, se cesa el estudio. Repite en dos ocasiones más ITU + microhematuria. Dada la continuidad de los episodios, realizamos ecografía en AP objetivando la presencia de una LOE intravesical, que se estudia en el ámbito hospitalario confirmado el diagnóstico de ca. uroterial.

Pruebas complementarias

Ecografía en AP: sospecha de tumoración intravesical. TAC abdómino pélvico: masa vesical dependiente de pared izquierda con hipercaptación, impresiona de diseminación a distancia. Uro-TC confirma ca. de vejiga. AP con carcinoma uroterial papilar de alto grado G3pT1. Estudio de extensión por el momento negativo.

Juicio clínico, diagnóstico diferencial, identificación de problemas

Ca. uroterial papilar de alto grado. 

Dx. diferencial con otras masas intravesicales. 

Concordancia plena con el hospital.

Tratamiento y planes de actuación

En tratamiento por Oncología y Urología, ya intervenida quirúrgicamente, pendiente de iniciar quimioterapia.

Evolución

Por el momento, evoluciona favorablemente, si bien su baja adherencia al ámbito sanitario está dificultando un seguimiento estrecho de la misma.

Conclusiones (y aplicabilidad para la Medicina de Familia)

Recalcar la importancia de incluir la ecografía en Atención Primaria como una herramienta más en la toma de decisiones, así como en el proceso diagnóstico tanto en campos más evidentes como pueden ser el estudio hepático o el tiroides, como en otros menos valorados previamente como la persistencia de una microhematuria en una paciente donde previamente se había pensado que siempre estaba en relación a infecciones del tracto urinario.
 
 
 
 
 

Comunicaciones y ponencias semFYC: 2025; Comunicaciones: Casos clínicos. ISSN: 2339-9333

Autores

Bombín Martín, Asier
CSU Las Calesas. Madrid
Sánchez Muñoz, Lorena
CSU Las Calesas. Madrid
Costa Zamora, María Pilar
CSU Las Calesas. Madrid