V Jornadas de Ecografía de la semFYC

9 y 10 de febrero de 2024

Comunicaciones: Casos clínicos

Exploración física y ecografía claves en el diagnóstico de la torsión testicular (póster)

Ámbito del caso

Urgencias.

Motivos de consulta

Dolor abdominal.

Historia clínica

Enfoque individual

Presentamos el caso de un varón de 14 años, sin antecedentes personales de interés.

Acude a Servicio de Urgencias por referir inicialmente dolor abdominal focalizado en FID de 6 horas de evolución junto con náuseas y vómitos.

A la exploración el paciente se encuentra afebril, TA 109/67, presenta abdomen blando y depresible, RHA (+), dolor a la palpación sobre fosa iliaca derecha, McBurney (+) , Blumberg (+), Rovsing (+).

En el análisis de sangre destaca únicamente ligero aumento de RFA. Se realizó una ECO abdominal en la que se descarta apendicitis aguda.

Se reevalúa al paciente tras descartar patología intraabdominal aguda y, en este momento, el paciente reconoce que el dolor realmente lo presenta en teste derecho. A la exploración presenta testículo con aumento de la temperatura local y del tamaño en comparación con el contralateral, doloroso a la palpación, con signo de Prehn positivo y ausencia del reflejo cremasteriano. Antes estos signos realizamos de forma inmediata ultrasonido Doppler de teste derecho.

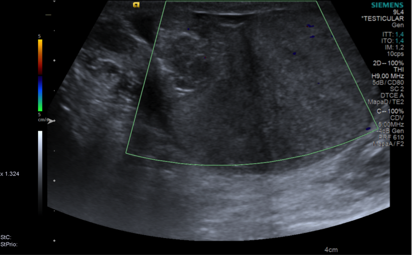
Hallazgos ecográficos

Realizamos ecografía doppler de testículo derecho en la que observamos testículo con ecoestructura heterogénea, con áreas hipoecoicas y ausencia de señal de flujo Doppler, compatible con torsión aguda, identifacando cordón espermático torsionado 360º.

Pruebas complementarias

Análisis de sangre en el que destaca únicamente ligero aumento de RFA. 

Juicio clínico, diagnóstico diferencial, identificación de problemas

Torsión testicular aguda derecha. 

Tratamiento y planes de actuación

Ante los hallazgos visualizados en la ecografía doppler y la nula viabilidad del testículo se realizó orquiectomía derecha y orquidopexia izquierda.

Evolución

El paciente presentó buena evolución postoperatoria siendo dado de alta a los 3 días.

Conclusiones (y aplicabilidad para la Medicina de Familia)

Con este caso queremos resaltar el gran papel de la ecografía y la importancia en el tiempo que tardemos en diagnosticar esta patología, ya que el retraso del mismo está directamente relacionado con el porcentaje de la viabilidad testicular.
 

Comunicaciones y ponencias semFYC: 2025; Comunicaciones: Casos clínicos. ISSN: 2339-9333

Autores

Rodriguez Garcia, Beatriz
CS Cartagena Casco Antiguo. Cartagena
Fuentes Almagro, Hortensia
Centro De Salud Barrio Peral . Cartagena
Carbonell Asensio, Antonio
CS Cartagena Casco Antiguo. Cartagena
Vargas López, María Isabel
CS Cartagena Casco Antiguo. Cartagena