V Jornadas de Ecografía de la semFYC

9 y 10 de febrero de 2024

Comunicaciones: Casos clínicos

El enigma de la masa vesicular (póster)

Ámbito del caso

Atención Primaria.

Motivos de consulta

Dolor abdominal postprandial y diarrea ocasional.

Historia clínica

Enfoque individual

Varón de 74 años que presenta, diabetes mellitus tipo 2 y dislipemia. Además, angiodisplasia en ciego, gastritis crónica, divertículos en colon y déficit de vitamina B12 en relación con anemia perniciosa. En seguimiento por el hospital de día por anemia ferropénica rebelde a hierro oral. Intervenido de neoplasia vesical (cistectomía y tiene uréteres abocados a bolsa).  A la exploración física presenta abdomen blando, timpánico, doloroso en hipocondrio derecho con Murphy dudoso.

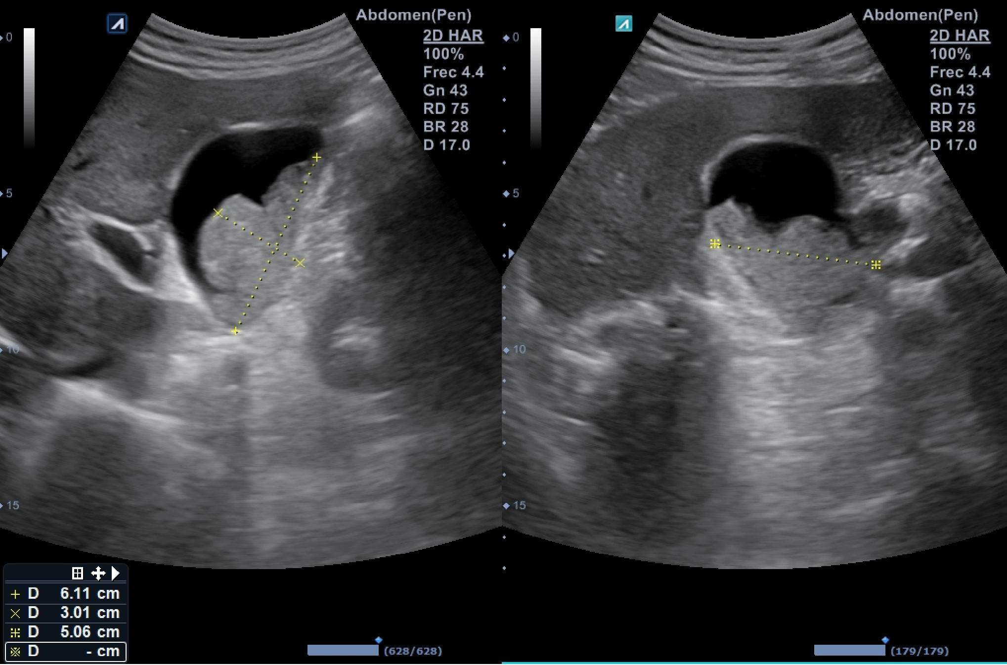
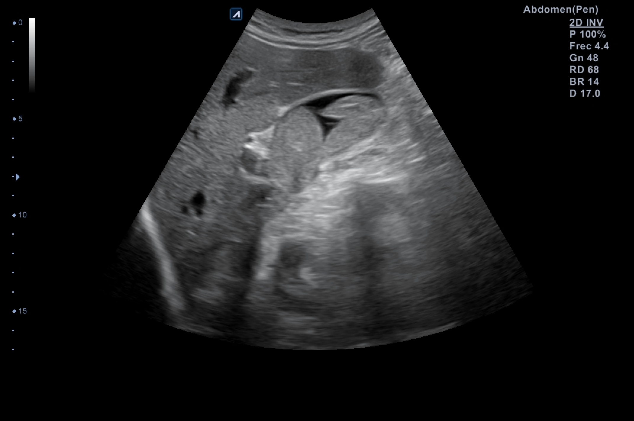
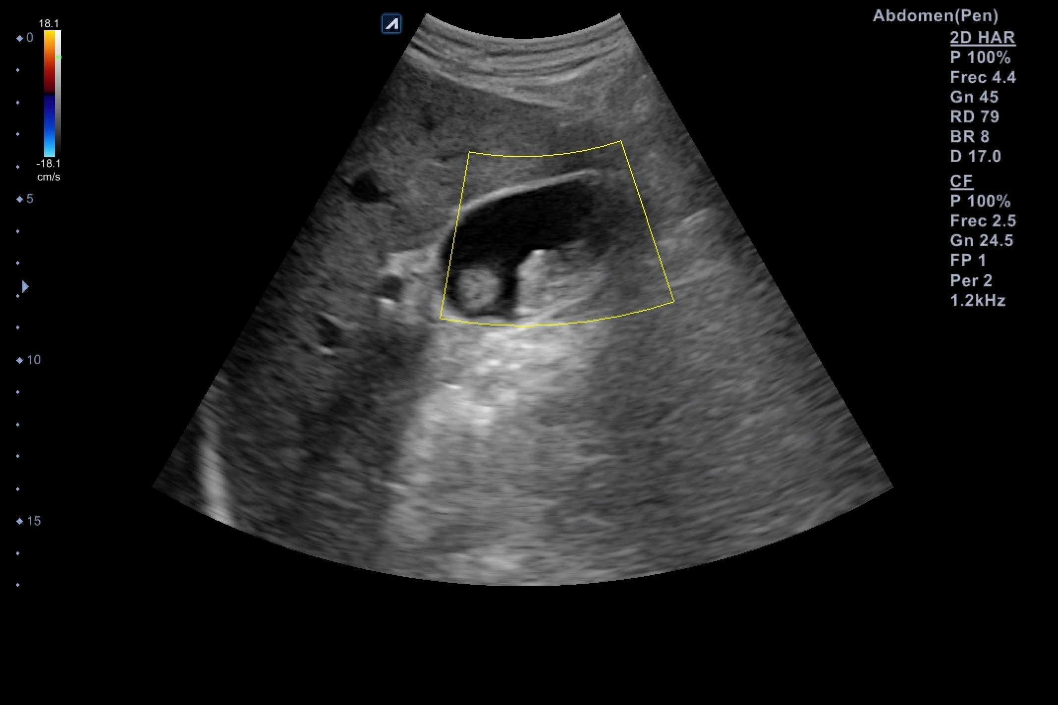
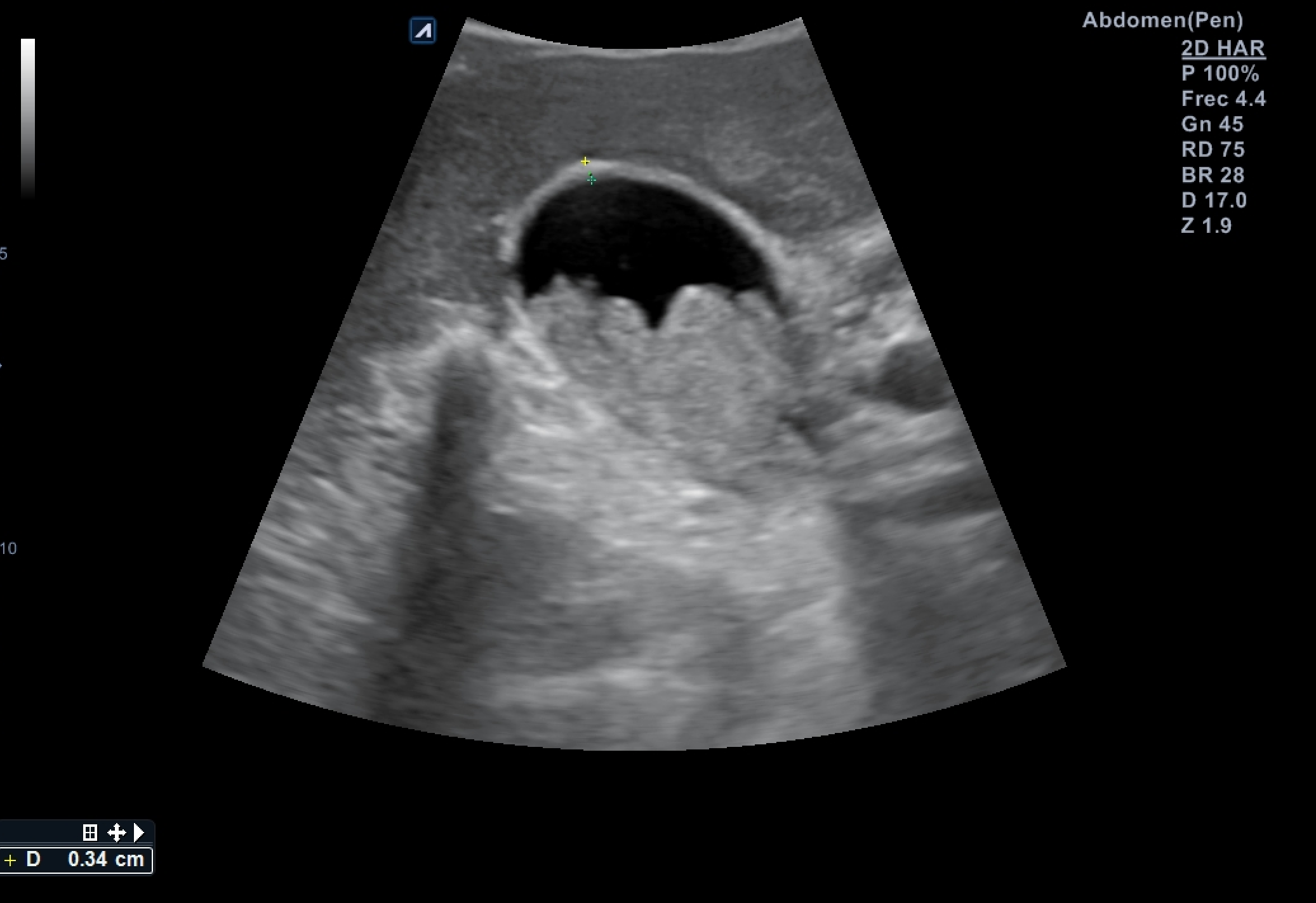
Hallazgos ecográficos

Ecografía abdominal dónde destaca vesícula biliar de pared fina (hasta 3,4 milímetros en su punto de mayor grosor) sin colecciones perivesiculares, que alberga en su interior imagen polilobulada sólida de efecto masa dependiente de su pared posterolateral e inferior que ocupa más de la mitad de la luz, sin captación de flujo Doppler, sugerente de polipoidea o tumoral, de unos 6 x 5 x 3 centímetros de dimensiones mayores.

Pruebas complementarias

Análisis sanguíneo (Hemograma normal. VSG: 2. Glucosa 174. Función renal, hepática, tiroidea e iones sin alteraciones).

Juicio clínico, diagnóstico diferencial, identificación de problemas

Tras los hallazgos obtenidos, se deriva al paciente a consulta de medicina interna de alta resolución para completar estudio de la masa vesicular y solicitan TAC body dónde no se observan formaciones sólidas intravesiculares por lo que se da de alta al paciente del circuito.

Tratamiento y planes de actuación

Ante el aumento de la masa vesicular y la clínica paucisintomática, se ha decidido derivar al Servicio de Cirugía para valorar indicación quirúrgica. Por otro lado, ni el Servicio de Radiología ni el Servicio de Medicina interna se han planteado la realización de otras pruebas, quedando la responsabilidad del cuadro a cargo de su Médico de familia.

Evolución

Actualmente el paciente se encuentra en seguimiento por su médico de atención primaria dónde se realizan ecografías abdominales para vigilar el crecimiento de la imagen intravesicular que continúa aumentando de tamaño.

Conclusiones (y aplicabilidad para la Medicina de Familia)

En muchas ocasiones la ecografía es la prueba oro, ya que es capaz de visualizar lo que otras pruebas, cómo en este caso el TAC, no pueden ver.


Comunicaciones y ponencias semFYC: 2025; Comunicaciones: Casos clínicos. ISSN: 2339-9333

Autores

Díaz Torregrosa, Rocío
CS Pio XII. Ciudad Real