X Jornadas de Actualización en Medicina de Urgencias y VI Jornadas de Ecografía de la semFYC
6-7-8 de febrero de 2025
Atención Primaria.
Catarros.
Antecedentes personales relevantes, anamnesis, exploración física y lugar que ocupa en ella la ecografía
Se presentan dos casos habituales en consulta en otoño:
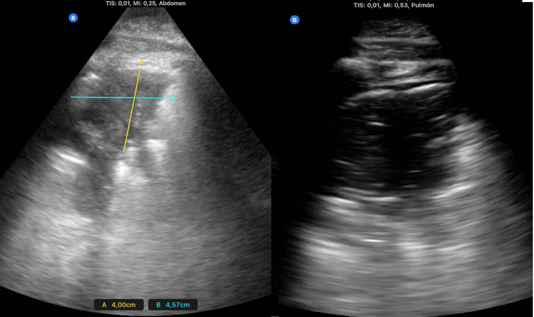
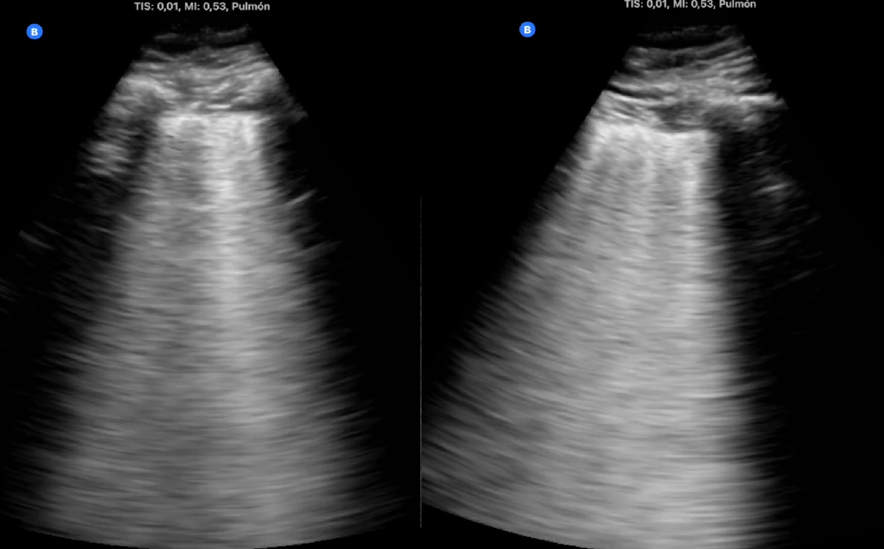
Se hace ecografía pulmonar en ambos casos.
Descripción de los hallazgos ecográficos y las imágenes más relevantes para la resolución del caso
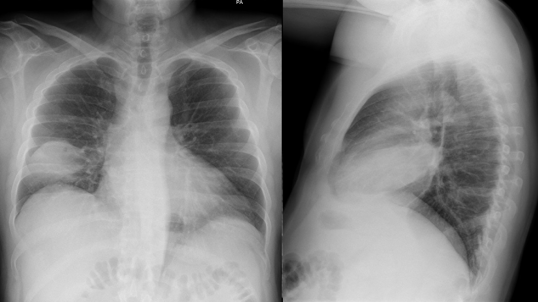
Otras pruebas complementarias realizadas (si existen)
Juicio clínico, diagnóstico diferencial, concordancia con el hospital (en su caso)
Neumonías adquiridas en la comunidad.
Decisiones adoptadas: tratamiento, planes de actuación
Tratamiento con Amoxicilina en ambos casos, realizando seguimiento clínico y ecográfico.
Evolución y seguimiento
Desaparición de síntomas en los primeros dos días. Seguimiento ecográfico que muestra la desaparición de la neumonía a los 15 días en el primer caso y reducción paulatina del tamaño de la lesión en el segundo.
Se trata de dos casos en los que los hallazgos clínicos y las pruebas complementarias convencionales no hubieran llevado al diagnóstico ni tratamiento adecuados. En el primer caso por una radiografía normal y en el segundo por sintomatología no sospechosa que podría no haber indicado dicha radiografía. La disponibilidad de ecógrafo en la consulta facilita su utilización de inmediato tras la auscultación, detectando las lesiones y consiguiendo una mayor precisión diagnóstica y terapéutica.



