X Jornadas de Actualización en Medicina de Urgencias y VI Jornadas de Ecografía de la semFYC
6-7-8 de febrero de 2025
Atención Primaria.
Hombre de 24 años, acude por presentar dolor y tumefacción en el dorso de la mano izquierda de meses de evolución. Refiere traumatismo en dicha mano hace un año con herida y laceración de tejidos blandos. Se le realizó radiografía simple (Rx) que fue interpretada como normal.
Antecedentes personales relevantes, anamnesis, exploración física y lugar que ocupa en ella la ecografía
AP: sin interés.
Exploración física: afebril, presenta dolor y tumefacción en el dorso de la mano, no datos de infección. El paciente nos relata que con el traumatismo se cortó con cristal. Ante el antecedente de traumatismo y el riesgo de la posible existencia de cuerpo extraño le realizamos ecografía de partes blandas con sonda lineal.
Descripción de los hallazgos ecográficos y las imágenes más relevantes para la resolución del caso
Observamos en el tejido celular subcutáneo imagen lineal hiperecogénica con artefacto de reverberación
Otras pruebas complementarias realizadas (si existen)
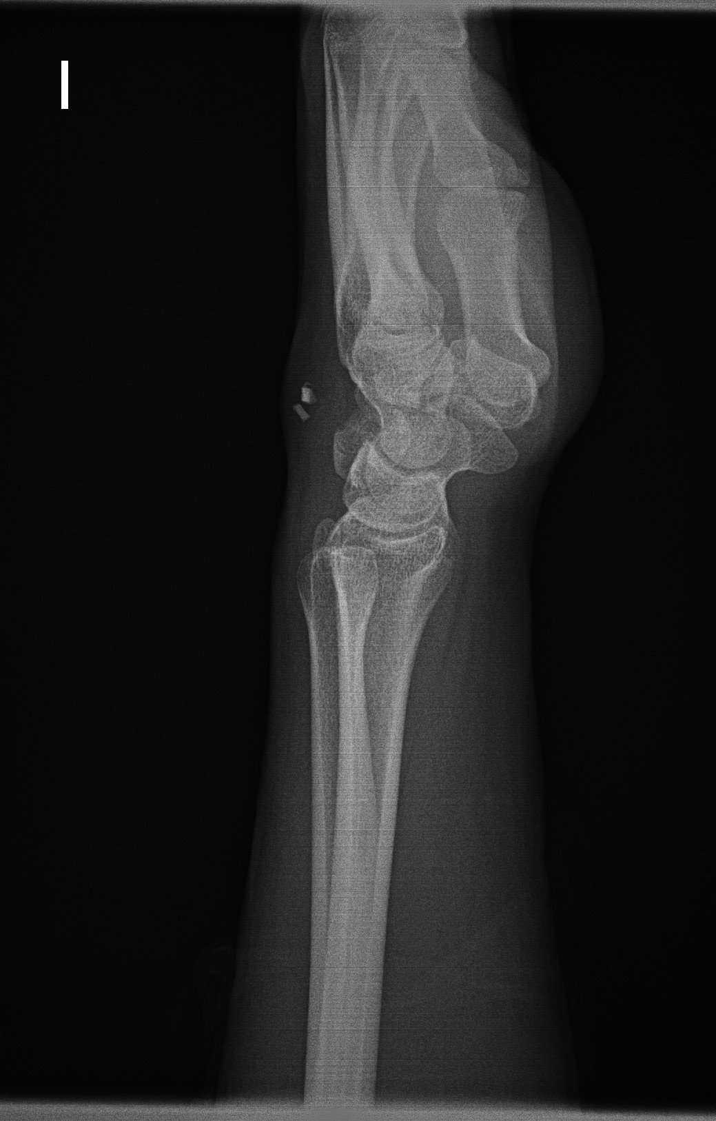
Realizamos Rx en la que se observa dos imágenes radiopacas en partes blandas del dorso de la mano.
Juicio clínico, diagnóstico diferencial, concordancia con el hospital (en su caso)
Juicio clínico: cuerpo extraño subcutáneo.
Diagnóstico diferencial: calcificaciones, tejido de cicatrización de partes blandas, huesos sesamoideos en sitios atípicos, hematomas agudos, septos intermusculares, fibras musculares hiperecogénicas y aire atrapado en los tejidos blandos.
Decisiones adoptadas: tratamiento, planes de actuación
Se le deriva a consulta de cirugía.
Evolución y seguimiento
En el momento actual pendiente de extirpación.
La ecografía ha demostrado ser la mejor herramienta para el diagnóstico de cuerpos extraños superficiales, lo que se traduce en un acceso más rápido al tratamiento y, por consiguiente, un menor riesgo de complicaciones asociadas (granulomas, abscesos, tenosinovitis, artritis.)
La Rx es la primera técnica de diagnóstico para identificar y localizar cuerpos extraños, sin embargo, en ella solo pueden apreciarse la presencia de fragmentos radiopacos (metal, vidrio, piedra y algunos plásticos). Los fragmentos de madera, espinas de plantas y de pescados son indetectables. La Rx da una idea de la ubicación del fragmento y de sus relaciones con huesos y articulaciones adyacentes, pero no puede determinarse la ubicación del fragmento con relación a las estructuras adyacentes: tendones, vasos sanguíneos y nervios que sí podremos determinar con precisión mediante la ecografía lo cual facilita la planificación para su extirpación. Tanto los fragmentos radiopacos como los radiotransparentes se aprecian en ecografía como imagen hiperecogénica con artefacto de sombra acústica posterior o de reverberación según las características del cuerpo extraño rodeada de halo hipo-anecoico si hay granuloma.


