X Jornadas de Actualización en Medicina de Urgencias y VI Jornadas de Ecografía de la semFYC
6-7-8 de febrero de 2025
Antecedentes personales relevantes, anamnesis, exploración física y lugar que ocupa en ella la ecografía
Hombre 88 años ex-fumador con hipertensión arterial, hipotiroidismo subclínico, claudicación intermitente en seguimiento por cirugía vascular y síndrome de piernas inquietas en seguimiento por neurología.
Acude por dolor abdominal de predominio en hipogastrio, sensación de hinchazón abdominal y vómitos alimenticios de 2 días de evolución. Refiere una única deposición diarreica en las últimas 24 horas sin productos patológicos. No fiebre, no otra clínica infecciosa en la anamnesis por aparatos.
Exploración física: Tensión arterial 120/68, frecuencia cardíaca 90 latidos por minuto, temperatura 35 ºC.
Auscultación cardiopulmonar: sin alteraciones.
Abdominal: ruidos hidroaereos disminuidos, abdomen distendido, timpánico. Doloroso a la palpación en hipogastrio y fosa iliaca derecha, defensa abdominal con datos de irritación peritoneal. Murphy negativo. Puñopercusión renal bilateral negativa.
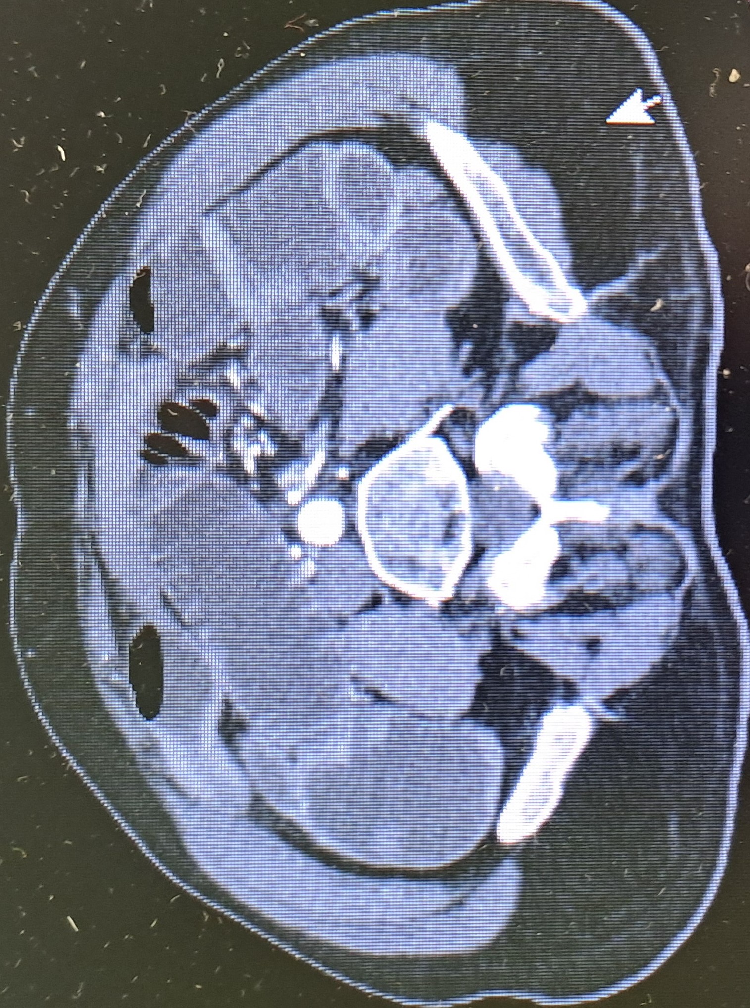
Descripción de los hallazgos ecográficos y las imágenes más relevantes para la resolución del caso
Se realiza ecografía clínica objetivando asas intestinales dilatadas con engrosamiento de paredes y ausencia de movimiento de asas intestinales.
Otras pruebas complementarias realizadas (si existen)
Analítica sanguínea: Urea 58, creatinina 2.88, TFG 19 ml/min, GPT, bilirrubina, amilasa, lipasa en rango. PCR 192,6 mg/L, hemoglobina 17,4, leucocitos 15800, neutrofilos 14490, linfocitos 870, INR 3.5. Gasometría venosa pH 7.4, pCO2 48, pO2 34, bicarbonato 30 mmol, lactato 2,5 mmol/L.
Rx abdominal: Paredes intestinales engrosadas con imagen en pila de monedas.
TAC abdominopélvico: Cambios radiográficos sugestivos de apendicitis aguda con íleo asociado.
Juicio clínico, diagnóstico diferencial, concordancia con el hospital (en su caso)
Apendicitis aguda con íleo paralítico asociado e insuficiencia renal aguda.
Decisiones adoptadas: tratamiento, planes de actuación
Se realiza sondaje del paciente ante la presencia de fracaso renal agudo y se comenta el caso con cirugía general que deciden realizar intervención quirúrgica de urgencia.
Evolución y seguimiento
El paciente es intervenido (apendicectomía abierta) y permanece ingresado con buena evolución tanto del íleo paralítico como de la insuficiencia renal aguda.
La ecografía clínica permitió en este caso valorar a un paciente que presentaba un abdomen agudo de cara a dirigir las pruebas complementarias.


