V Jornadas de Ecografía de la semFYC

9 y 10 de febrero de 2024

Comunicaciones: Casos clínicos

¿Dónde termina el riñón? (póster)

Ámbito del caso

Atención Primaria

Motivos de consulta

Dolor abdominal en mesogastrio, con náuseas.

Historia clínica

Enfoque individual

Paciente varón de 55 años sin antecedentes patológicos de interés que acude al CAP refiriendo dolor en mesogastrio.
El dolor lo define como de características cólicas asociado a vegetatismo y náuseas.
Exploración:
Regular estado general, dolor intenso EVA 8/10, palidez y sudoración.
TA 145/89, FC 98x', afebril.

Abdomen: blando y depresible, doloroso a la palpación de mesogastrio, ligeramente lateralizado a la izquierda. No signos de irritación peritoneal. Puño percusión negativa bilateral.

Hallazgos ecográficos

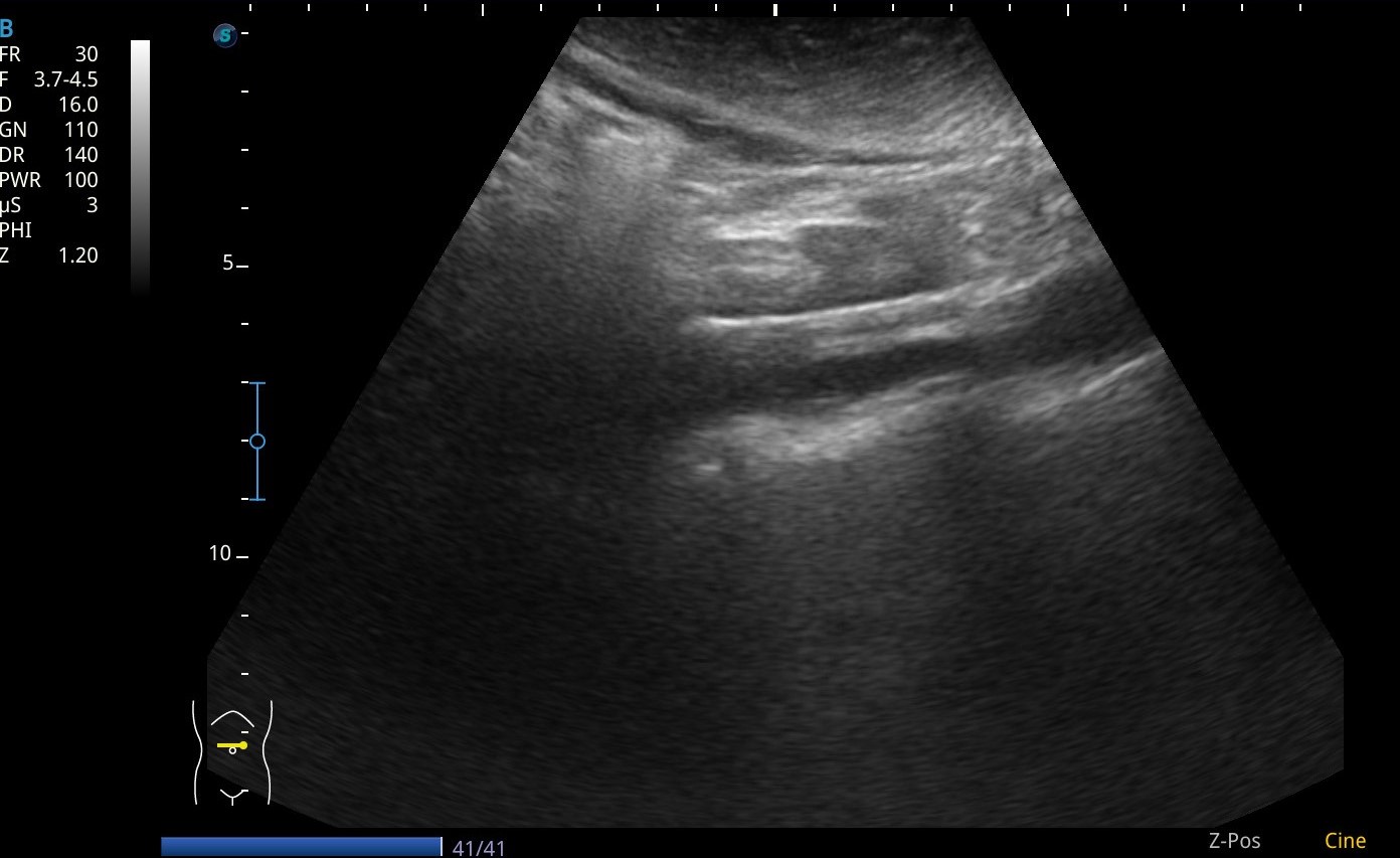
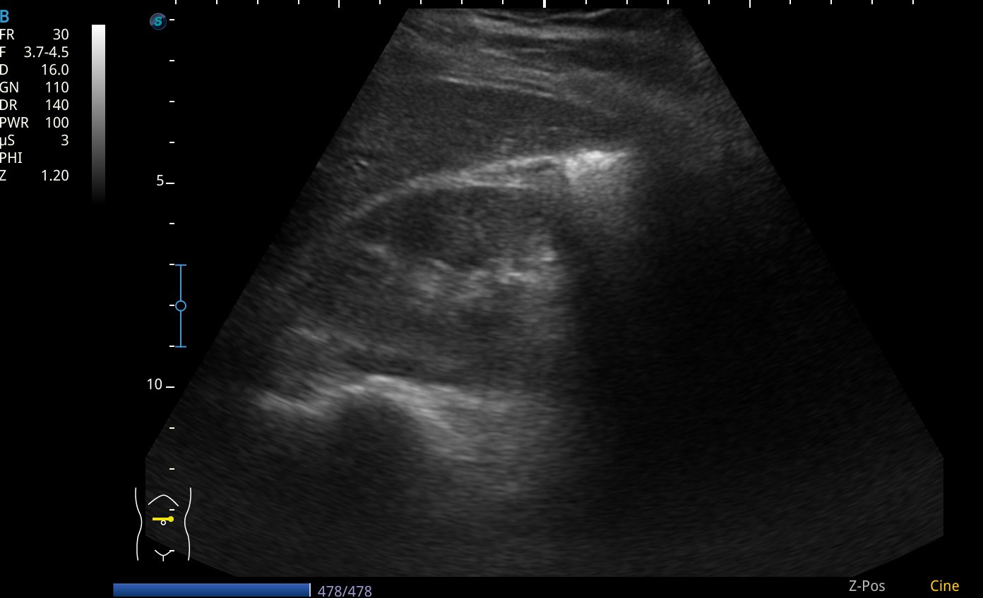
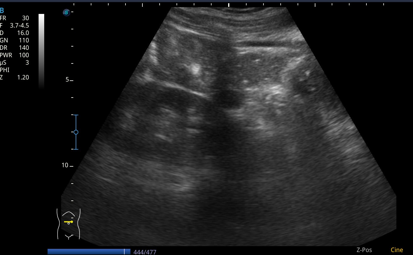
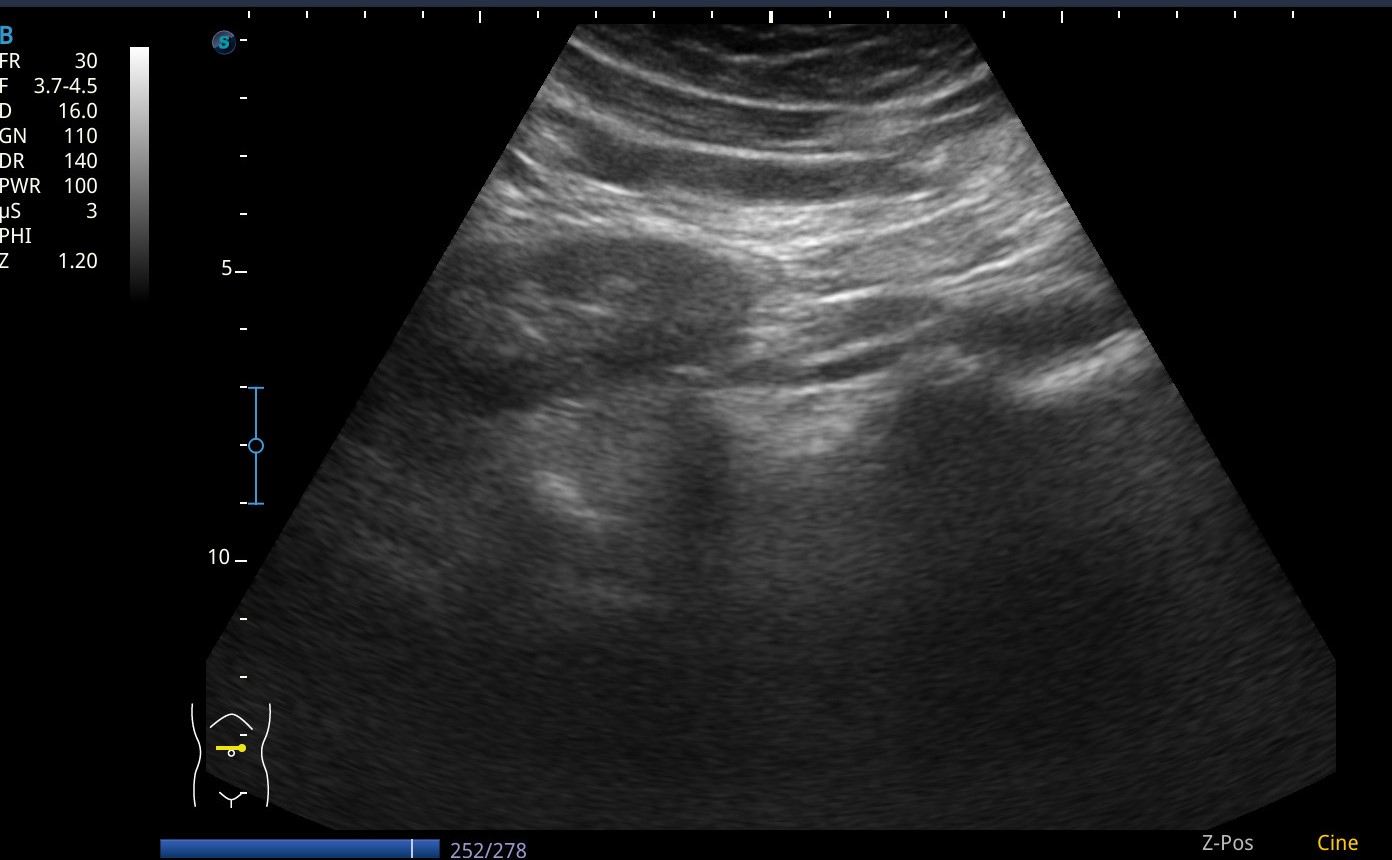
Se realiza ecografia a pie de cama que muestra como en el flanco derecho presenta silueta renal con un polo superior visible, sin poder definir el polo inferior, y la misma imagen en la silueta renal izquierda.

Asi mismo vemos a nivel de epigastrio bajo (zona umbilical), tejido sugestivo de parénquima renal que cruza por delante de grandes vasos, imagen compatible con un riñon en herradura.
En pelvis renal izquierda se aprecia una imagen hiperecogénica, sugestiva de microlitiasis.

Pruebas complementarias

Tira reactiva de orina: leucocitos+, hematies +++.

Juicio clínico, diagnóstico diferencial, identificación de problemas

Con la sospecha diagnóstica de cólico nefrítico no complicado, se inicia tratamiento analgésico EV, con mejoría de la clínica del paciente.

Tratamiento y planes de actuación

Ante el hallazgo de riñón en herradura, en paciente no diagnosticado previamente, se solicita analitica con función renal, cultivo de orina y TAC abdominal para completar el estudio.

Evolución

La analitica de sangre y orina resultó totalmente dentro de la normalidad.
El TAC abdominal confirmó la presencia de riñón en herradura, y de litiasis en la pelvis renal izquierda, sin otras anomalías morfológicas destacables.

Conclusiones (y aplicabilidad para la Medicina de Familia)

El riñón en herradura tiene una incidencia del 0,25% de la población, más común en hombres que en mujeres (2:1).
En este caso, la ecografía resultó clave para llegar al diagnóstico ante la sintomatología atípica por la que consultó el paciente.
 
 
 
 

 

Comunicaciones y ponencias semFYC: 2025; Comunicaciones: Casos clínicos. ISSN: 2339-9333

Autores

Mazariegos Martinez, Silvia
Cap Sant Genis. Rubí. Barcelona
Monjo Garriga, Marta
Cap Sant Genis. Rubí. Barcelona