X Jornadas de Actualización en Medicina de Urgencias y VI Jornadas de Ecografía de la semFYC
6-7-8 de febrero de 2025
Servicio de emergencias en un Centro de Atención Primaria urbano.
Mujer de 73 años de edad.
Antecedentes de Hipertensión Arterial, Artrosis, Quiste de Baker, Vértigos.
Consulta por molestia en epigastrio de 1 mes de evolución, explica que ha aumentado en las últimas 72 horas. Comenta que no ha tenido este dolor antes. A la exploración: abdomen blando, depresible, aumento de la peristalsis, dolor con la palpación profunda en epigastrio, blumberg negativo. Mal estado general, afebril, normohidratada.
Enfoque individual: antecedentes personales, anamnesis, exploración, pruebas complementarias, etc.
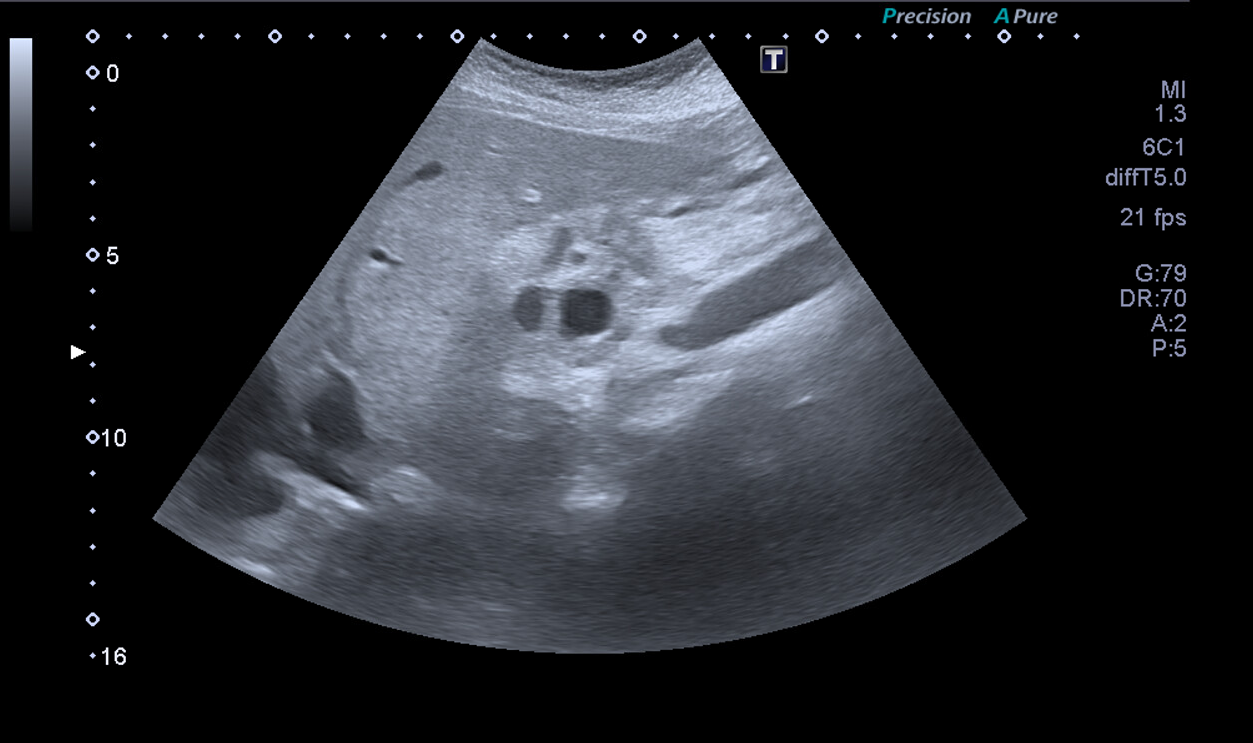
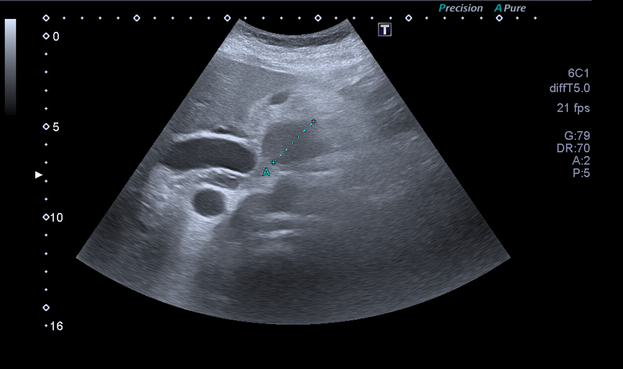
Ante la situación de dolor abdominal hacemos ecografía a pie de cama: se evidencia imagen redondeada de contenido heterogéneo de aproximadamente 38 mm, con dos imágenes redondas anecoicas en su interior en cabeza de páncreas. Restos de la exploración ecográfica sin alteraciones.
Enfoque familiar y comunitario: estudio de la familia y la comunidad (si fuese necesario)
Paciente sin antecedentes familiares, ni personales relacionados con alteraciones pancreaticas.
Juicio clínico, diagnóstico diferencial, identificación de problemas
Juicio Clínico: Imagen redondeada de contenido heterogéneo de aproximadamente 38 mm.
Tratamiento y planes de actuación
TC Abdominal: Neoplasia de cabeza de páncreas con manguito de tejido neoplásico que engloba totalmente la AMS, y trombosis completa del confluente espleno-porto-mesentérico.
Evolución
Es derivada al hospital comarcal para estudios complementarios: Se realiza TC abdominal en el que se evidencia lesión focal hipodensa de unos 36 mm en la región pancreática del uncinado, muy sugestiva de neoplasia de páncreas. Mínima ectasia del conducto pancreático en la cola. Trombosis completa del confluente espleno-portal. Manguito de densidad partes blandas que rodea completamente la arteria mesentérica superior, la cual presenta una leve estenosis. Este tejido contacta también con la vena renal izda. Circulación colateral en el hilio hepático (inicio de cavernomatosis portal).
El cáncer de páncreas es un tumor que es difícil de diagnosticar en etapas iniciales, es una afectación con un pronóstico desfavorable y muy agresivo, de crecimiento rápido. Generalmente es asintomático y los primeros síntomas no son específicos, esto hace que el proceso diagnóstico sea alargado en el tiempo y requiere de estudios complementarios.
Ante la demora del sistema en la realización de pruebas complementarias de alta resolución, el acceso a la ecografía a pie de cama del paciente, es una prueba que puede colaborar en el proceso diagnóstico o de toma de decisiones. La ecografía abdominal, aunque inespecífica en este caso (por la baja especificidad), permitió la inclusión a un circuito de rápido diagnóstico.

