V Jornadas de Ecografía de la semFYC
9 y 10 de febrero de 2024
Enfoque individual
Mujer de 55 años, NAMC, HTA, DM, DL, fumadora en activo con IPA 30, que acude a consulta por notarse «hinchado» el cuello de manera progresiva durante los últimos tres meses, con disfagia progresiva, accesos de tos ocasionales, sin pérdida de peso asociada.
EF:A la inspección, presenta tumoración de gran tamaño a nivel cervical. A la palpación, se aprecia tumoración de consistencia pétrea en región laterocervical hasta supraclavicular, sin adenopatías laterocervicales, resto sin alteraciones de interés.
En un primer momento, el diagnóstico diferencial es: posibilidad de tumoración a nivel de tiroides (ca de tiroides, quiste tiroideo...) conglomerado adenopático en cadena laterocervical, o conglomerado adenopático a nivel supraclavicular.
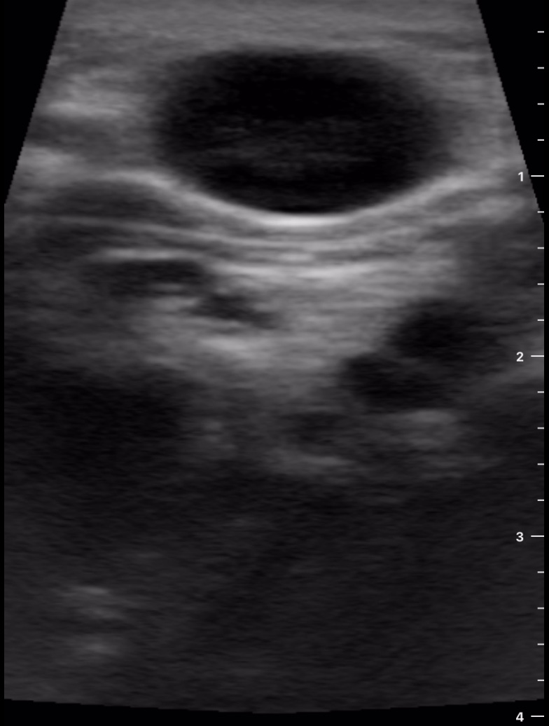
Hallazgos ecográficos
Se decide realizar ecografía clínica con ecógrafo de bolsillo para poder orientar caso, donde se aprecia tumoración de gran tamaño hipoecoica, heterogénea, con calcificaciones de pequeño tamaño en su interior, dependiente de lóbulo tiroideo derecho, sin poder definir límites inferiores, y sin poder localizar la vena cava inferior pero visualizando imagen de vena trombosada junto al istmo.
Tratamiento y planes de actuación
Ante la sospecha de cáncer de tiroides y la visualización de trombosis venosa que probablemente corresponda a vena cava inferior por la localización se deriva a Urgencias de Hospital de referencia, describiendo hallazgos y sospecha diagnóstica.
En Urgencias se le realiza una analítica de sangre donde destaca Hb 8.9 g/dL, 22.000 Leucocitos, PCR 180. En informe reflejan que sospechan absceso cervical y pautan Amoxicilina/Clavulánico sin realización de prueba de imagen complementaria dando de alta a la paciente esa misma noche.
Tras ver informe de Urgencias se contacta telefónicamente con servicio de Medicina Interna exponiendo el caso y sospecha diagnóstica, dando cita en la misma semana a la paciente con bodyTAC donde se apreció una tumoración dependiente del lóbulo tiroideo derecho que infiltraba vena cava superior, con trombosis de la misma. Se realizó posteriormente biopsias de lesión donde se diagnosticó Carcinoma anaplásico de tiroides.
Evolución
Tras el diagnóstico, la paciente recibió QT + RT con progresión de la enfermedad, falleciendo a los pocos meses.
