V Jornadas de Ecografía de la semFYC

9 y 10 de febrero de 2024

Comunicaciones: Casos clínicos

«Doctora, me molesta la tripa, está hinchada “como de gases”» (oral)

Ámbito del caso

Atención Primaria

Motivos de consulta

Mujer de 34 años que acude a consulta por molestia abdominal de meses de evolución, sensación de plenitud con analítica normal y test del aliento negativo tras tratamiento erradicador.

Historia clínica

Enfoque individual

Palpación: Abdomen duro y timpánico. No dolor a la palpación.

Hallazgos ecográficos

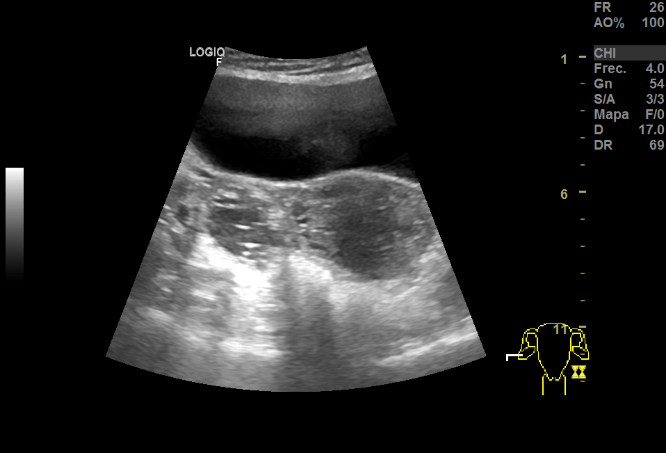
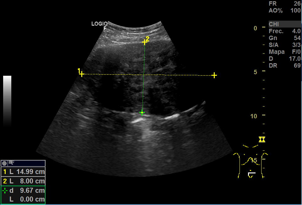
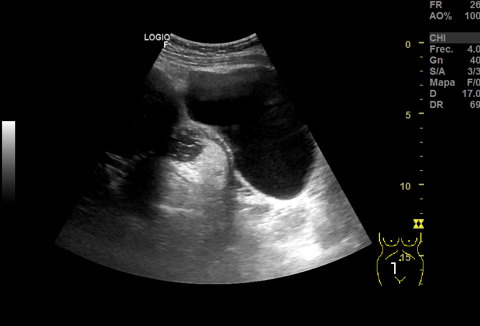
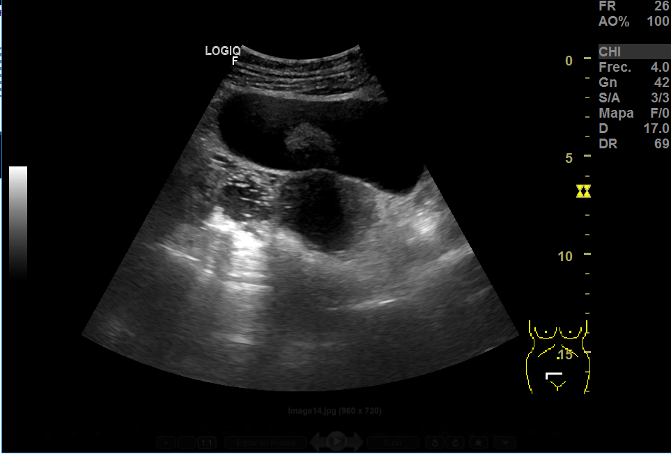
Realizamos una ecografía en el centro de salud y objetivamos, adyacente a útero, una imagen heterogénea de gran tamaño (15x8 cm), con vascularización, que podría corresponder a un mioma gigante. En anejo derecho, imagen redondeada de aproximadamente 3 cm en cuyo interior aparecen líneas hiperecogénicas en un fondo hipoecoico que podrían corresponder a teratoma, sin descartar otra patología. Ante la duda, derivamos a ginecología.

Pruebas complementarias

En ginecología, repiten ecografía, esta vez transrectal (paciente sin RS). Confirman mioma de gran tamaño y masa anexial bilateral, por filiar.

La RMN confirma la masa fibrótica de 11x8x10 en relación con mioma pediculado. Imágenes en la línea medida de fondo saco de Douglas de 55x46 y otra de 37x36, bien delimitadas, hiperintensas, compatibles con teratomas.

Juicio clínico, diagnóstico diferencial, identificación de problemas

La anatomía patológica ha confirmado el dx de mioma y de teratomas bilaterales.

Tratamiento y planes de actuación

La paciente es intervenida: se le realiza miomectomía, quistectomía derecha y anexectomía izquierda. 

Evolución

La paciente se encuentra asintomática. Dada de alta en ginecología.

Conclusiones (y aplicabilidad para la Medicina de Familia)

Los tumores de células germinales constituyen casi el 20% de los tumores de ovario y, de ellos, un 95% son benignos. El más frecuente es el teratoma. Se puede asociar a complicaciones como la rotura, la degeneración maligna o la torsión.

Hasta hace unos años, en Atención Primaria, en los pacientes con síntomas inespecíficos y una vez utilizados todos los recursos disponibles, exploración, analítica… sin hallar el diagnóstico, teníamos que derivar a segundo nivel sin mucha orientación. A esta paciente le habríamos pedido una ecografía que habría tardado meses o habríamos derivado a Digestivo, también con demora. No tenía síntomas ginecológicos y la clínica no era clara. El hecho de tener un ecógrafo en el centro de salud hizo que esta paciente tuviera un diagnóstico rápido y una derivación a especializada de forma dirigida.

 


Comunicaciones y ponencias semFYC: 2025; Comunicaciones: Casos clínicos. ISSN: 2339-9333

Autores

M, Seraina Alessia
CS Puerta Bonita. Madrid
Jiménez Martínez, Cristina
CS Puerta Bonita. Madrid
Metola Gómez, Montserrat
CS Puerta Bonita. Madrid