V Jornadas de Ecografía de la semFYC

9 y 10 de febrero de 2024

Comunicaciones: Casos clínicos

«Doctora, la barriga no para de crecer» (póster)

Ámbito del caso

Atención Primaria.

Motivos de consulta

Malestar abdominal y aumento del tamaño del mismo

Historia clínica

Enfoque individual

Paciente mujer de 80 años, hipertensa sin otros antecedentes personales de interés que acude a nuestra consulta por presentar malestar abdominal y sensación de aumento del tamaño del mismo especialmente en la última semana. 
A la anamnesis dirigida, confirma pérdida de apetito y de peso sin otra clínica. 
A la exploración física presenta buen estado general, ligera palidez cutánea, abdomen globuloso, blando, compresibles, no doloroso, sin palpar claras masas ni megalias ni oleada ascítica. Sin embargo, dada la longitudinalidad médico-paciente confirmamos aumento del perímetro abdominal. 
Dado lo descrito, decidimos derivar a la paciente al servicio de urgencias hospitalario para completar estudio. En este, tras analítica con perfil hepático normal, se decide alta a domicilio. La paciente acude hasta en dos ocasiones más por aparición de dolor abdominal con el mismo resultado por lo que finalmente acude nuevamente a nuestra consulta. En esta segunda cita nos confirma que continúa notando como le crece el abdomen, además de los síntomas mencionados por lo que decidimos programar ecografía clínica en nuestro centro de salud. 

Hallazgos ecográficos

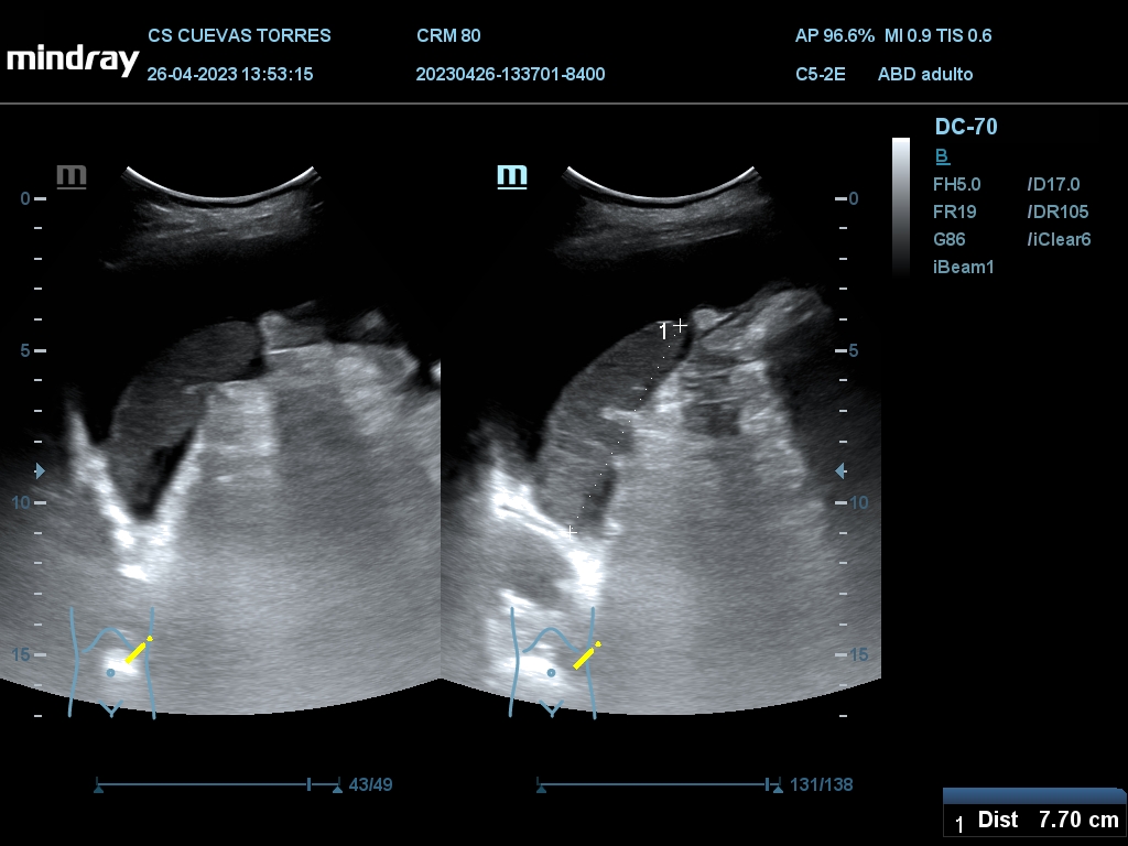
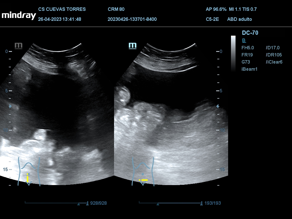
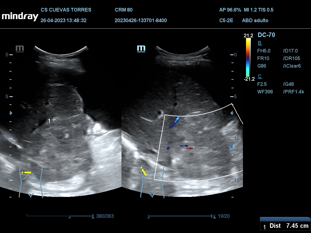
En la ecografía clínica observamos claramente la presencia de líquido libre desde el comienzo de la exploración. Continuando con el estudio Visualizamos circulación portal turbulenta y en el rastreo hepático una lesión ocupante de espacio (LOE) con captación Doppler de 7,45 cm de diámetro máximo. 

Pruebas complementarias

Analítica con perfil hepático normal.

Juicio clínico, diagnóstico diferencial, identificación de problemas

LOE hepática a estudio.

Tratamiento y planes de actuación

Teniendo en cuenta los hallazgos ecográficos, derivamos a la paciente a consulta de Medicina Interna para estudio de LOE.

Evolución

La paciente fue finalmente diagnosticada de Cáncer de hígado.

Conclusiones (y aplicabilidad para la Medicina de Familia)

Este caso es un claro ejemplo de cómo la ecografía clínica puede llegar a ser una herramienta útil y práctica para el desarrollo de nuestra consulta. Con ella, podemos explorar, definir e incluso diagnosticar de forma más certera a nuestros pacientes que, en ocasiones presentan clínica y exploración física inespecífica, para así mejorar su estudio y tratamiento.
 
 
 
 

Comunicaciones y ponencias semFYC: 2025; Comunicaciones: Casos clínicos. ISSN: 2339-9333

Autores

Ponce García, Ana Elena
CS Escaleritas. Las Palmas De Gran Canaria
De La Torre Ceballos, Zenaida
CS Santa María de Guía
Goikoetxea Burgillo, Jon
CS Barrio Atlántico. Las Palmas de Gran Canaria