V Jornadas de Ecografía de la semFYC

9 y 10 de febrero de 2024

Comunicaciones: Casos clínicos

«Doctor, se me escapan unas gotitas de orina» (póster)

Ámbito del caso

Atención Primaria

Motivos de consulta

Paciente de 60 años con Síndrome Prostático de 10 años de evolución que acude a consulta por presentar empeoramiento clínico de síndrome prostático con síntomas irritativos y desde hace un mes ha presentado incontinencia nocturna en dos ocasiones

Historia clínica

Enfoque individual

Buen estado general. Abdomen no doloroso. No dolor lumbar, PPRR. Tacto rectal: región anal externa sin fisuras ni hemorroides, esfínter anal normotónico. No aumento de temperatura Próstata: aumentada de tamaño con límites y bordes definidos normales.

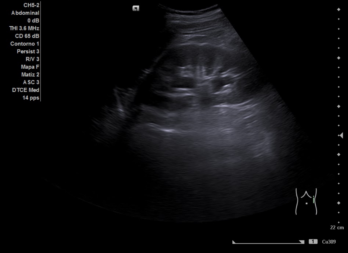
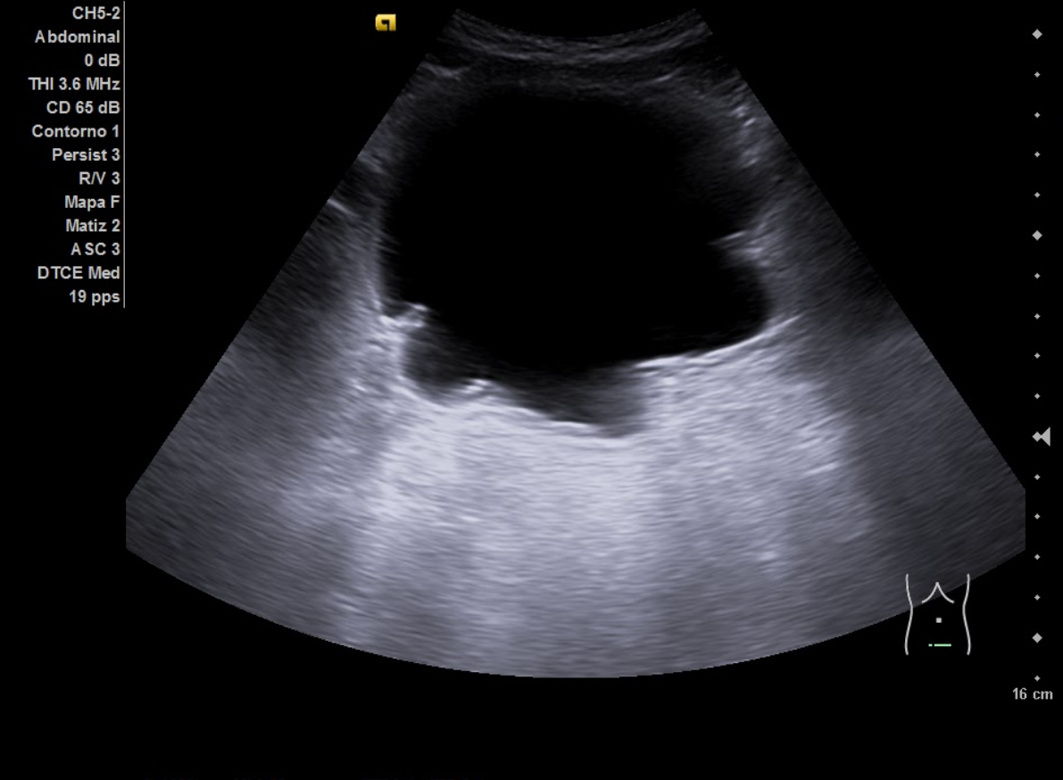
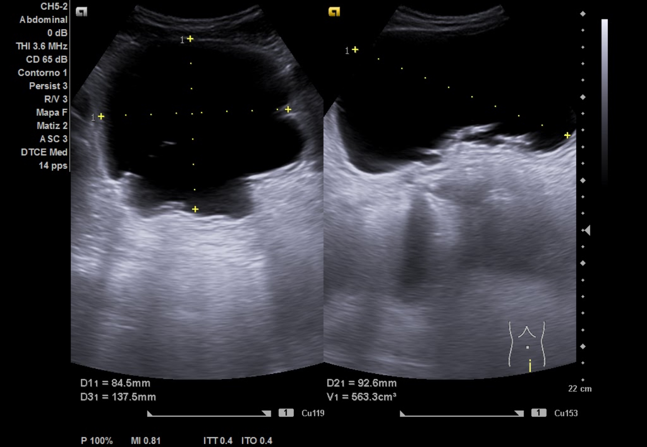
Hallazgos ecográficos

Ecografía aparato urinario en Centro de Salud: Riñones de tamaño normal, parénquima conservado con dilatación pielocalicial grado II-III izquierdo y grado II derecho. Vejiga con aspecto trabeculado, pared irregular con divertículos. Volumen premiccional 550 cc, postmiccional 450 cc. Volumen prostático de 50 cc.

Pruebas complementarias

Analítica de sangre: Hemograma normal, Bioquímica, Glucosa, función renal y hepática e iones normal. PSA 2.29, tras inicio de tratamiento 1.2.

Analítica de orina: Negativo.

Cultivo de orina: Cultivo negativo (ausencia de crecimiento).

Flujometría: 3.4/7.1/270/ rpm 179 cc, curva aplanada.

Juicio clínico, diagnóstico diferencial, identificación de problemas

Vejiga de lucha abundante residuo postmiccional y dilatación de vía excretora. Posible adenoma de próstata. DD: Vejiga hiperactiva, HBP, neoplasia prostática.

Tratamiento y planes de actuación

Síntomas del tracto urinario inferior en tratamiento con alfabloqueante, inicia tratamiento combinado. En lista de espera para tratamiento quirúrgico urológico con resección transuretral.

Evolución

Dutasterida / hidrocloruro de tamsulosina 0,5 mg / 0,4 mg cápsulas duras que mejora los síntomas y la calidad de vida. Tras consulta con Urología se decide incluir en lista de espera quirúrgica para resección transuretral.

Conclusiones (y aplicabilidad para la Medicina de Familia)

La posibilidad de realizar Ecografía urológica en nuestra consulta del Centro de Salud nos permite desde el primer momento confirmar y poder cuantificar la patología que presenta el paciente y poder dirigir el tratamiento y la actitud desde el primer momento. 


Comunicaciones y ponencias semFYC: 2025; Comunicaciones: Casos clínicos. ISSN: 2339-9333

Autores

Henarejos Pérez, Valentín
CS San Antón. Cartagena. Murcia
Redondo Romero, Laura María
CS San Antón. Cartagena. Murcia
Ferrer Ibáñez, Irene
CS San Antón. Cartagena. Murcia