V Jornadas de Ecografía de la semFYC

9 y 10 de febrero de 2024

Comunicaciones: Casos clínicos

«Doctor, me duele la tripa» (póster)

Ámbito del caso

Atención Primaria. Centro Urbano

Motivos de consulta

Dolor abdominal.

Historia clínica

Enfoque individual

Antecedentes personales: DIU, obesidad, fumadora 7 cig/día.
Anamnesis: Mujer 53 años, dolor abdominal intermitente de 3 semanas de evolución, en fosa renal derecha irradiado por trayecto del uréter hasta FID, no cólico, no síntomas urinarios, sensación febril. Al inicio del cuadro acudió a urgencias por la intensidad del dolor se diagnosticó de ITU y se pautó Cefixima tras lo que la paciente tuvo una mejoría temporal del dolor.
Exploración física: Tª 37.9 ºC. Abdomen sin alteraciones aunque impresiona de aumento de perímetro abdominal que la paciente asocia con la menopausia.

Hallazgos ecográficos

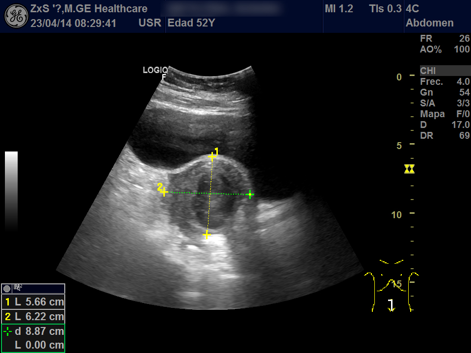
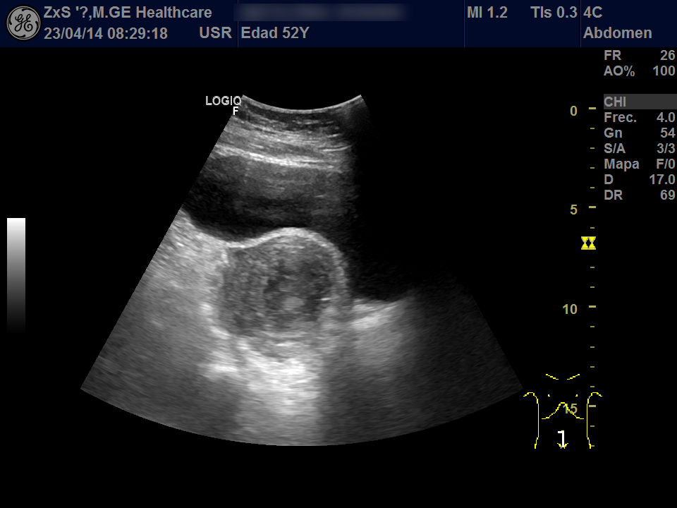
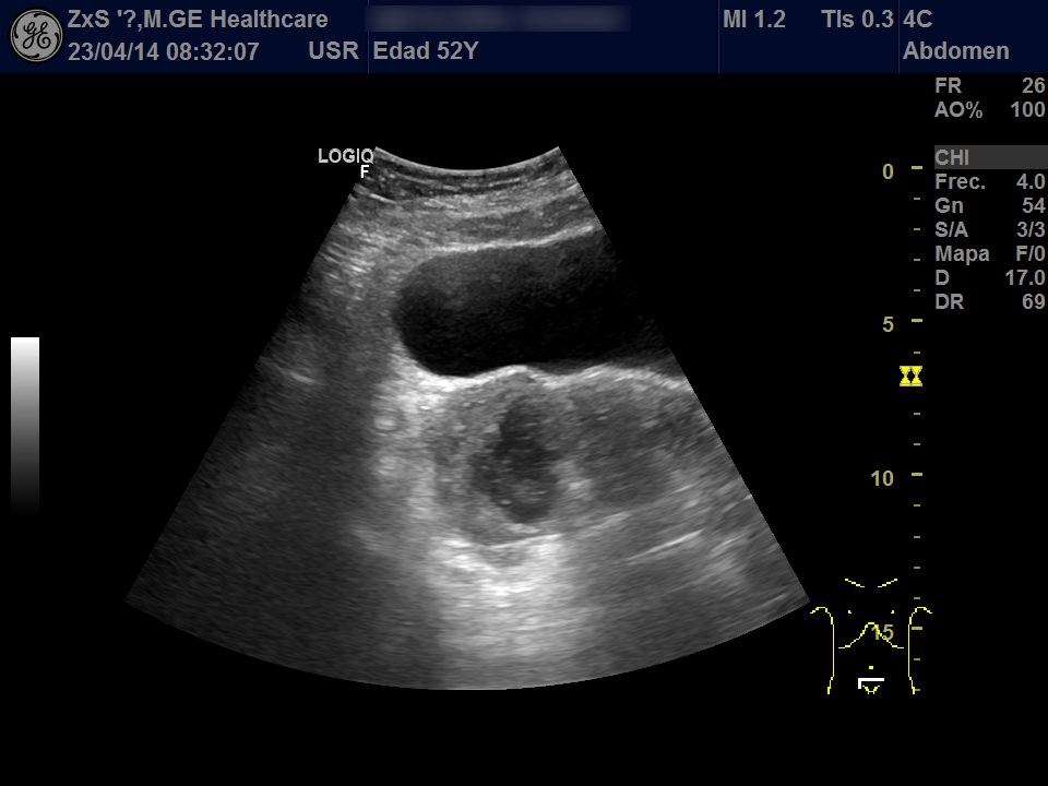
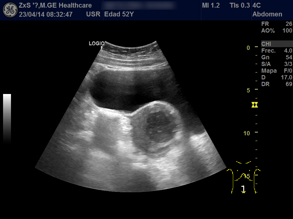
Hígado de bordes lisos y ángulo agudo, aspecto heterogéneo, no se observan LOES. Vía biliar extra e intrahepática no dilatada. Vesícula poco replecionada sin imágenes en su interior, Murphy ecográfico negativo. Ambos riñones de localización y tamaño normal. Buena diferenciación córtico-sinusal y en riñón derecho discreto aumento del tamaño de la pelvis renal compatible con hidronefrosis grado 2. Vejiga bien replecionada sin ecos en su interior. Se objetiva útero de tamaño normal con una imagen hiperecogénica que corresponde a DIU y en la zona derecha una lesión redondeada de aproximadamente 5,5 x 6,5 de diámetro de contenido heterogéneo que dudamos si puede corresponder a masa ovárica desconocida. Se deriva al hospital por sospecha de masa ovárica.

Pruebas complementarias

Tira orina leucos +++, hematíes +++- Analítica de sangre 24h antes leucos 13220, neutrófilos 8350.

Juicio clínico, diagnóstico diferencial, identificación de problemas

Masa ovárica.

Tratamiento y planes de actuación

Se deriva al hospital por sospecha masa ovárica.

Evolución

Evolución y seguimiento: Urgencias hospital TAC abdominal: en región anexial lesión de aspecto sólido-quístico de 6,5 x 5,5 cm con cambios inflamatorios de la grasa adyacente y que produce leve desplazamiento del útero hacia la izda. No se observan colecciones, neumoperitoneo, ni líquido libre intraabdominal.

Dco hospital: Absceso tubo-ovárico Ingreso. Se retira DIU y se pauta tto antibiótico IV. Posterior laparoscopia abierta: Plastrón inflamatorio que alberga trompa y anejo derecha íntimamente adherido a asas intestinales, útero y pared pélvica.

Conclusiones (y aplicabilidad para la Medicina de Familia)

La eco nos permite de manera rápida en consulta visualizar una masa ovárica e iniciar tratamiento definitivo efectivo después de tres semanas de dolor y evitar complicación mayor.
 
 
 
 

Comunicaciones y ponencias semFYC: 2025; Comunicaciones: Casos clínicos. ISSN: 2339-9333

Autores

Urbanos Martínez, Consuelo
CS Puerta Bonita. Madrid
Codesido Pérez, Xurxo
CS Puerta Bonita. Madrid
Grandes Velasco, Sonia
CS Puerta Bonita. Madrid