X Jornadas de Actualización en Medicina de Urgencias y VI Jornadas de Ecografía de la semFYC
6-7-8 de febrero de 2025
Enfoque individual: antecedentes personales, anamnesis, exploración, pruebas complementarias, etc.
Hombre de 81 años con AP de DM", HTA cardiopatía, HBP, ERGE, colelitiasis y HBP.
Acude por epigastralgia de 1 día de evolución asociada a 1 vómito y diarreas sin productos patológicos ni cortejo vegetativo.
Buen estado general. Eupneico ACP: rítmico sin soplos. MVC
Abdomen blando, depresible, doloroso a la palpación en epigastrio. No datos de irritación peritoneal. PPRB negativa. AS: Hb: 12,9, plaquetas: 178, leucos: 14,5, glucosa: 172, tropos: 61, control 62, bilrrubina: 2,38, directa 1,8, PCR: 0,3, AST: 354, ALT: 249.
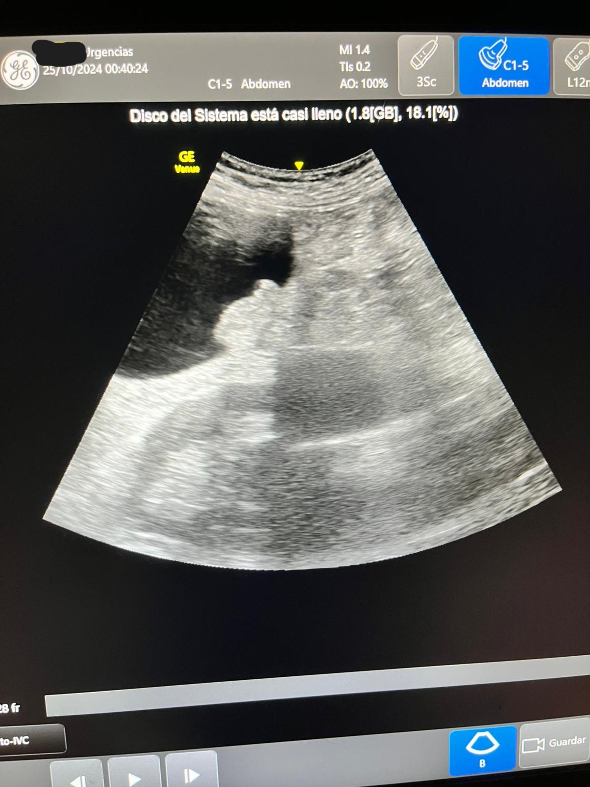
Ecografía: hígado y vías biliares normales sin formaciones expansivas. Coledoco de calibre normal.
Vesícula biliar distendida con litiasis múltiple suncentimétricas y barro biliar de paredes finas.
Páncreas y bazo sin alteraciones Riñones normales, sin dilatación de sistema excretor, urolitiasis ni lesiones expansivas sólidas. Quistes corticales simples en ambos riñones en tercio medio del izquierdo quiste complejo con tabiques finos y calcificación.
Enfoque familiar y comunitario: estudio de la familia y la comunidad (si fuese necesario)
No.
Juicio clínico, diagnóstico diferencial, identificación de problemas
JC: coledocolitiasis DxD: IAM, cólico biliar.
Tratamiento y planes de actuación.
Al paciente se le administró sueroterapia, augmentine y analgesia. Se ingresó en cirugía para control.
Evolución
Paciente con buena evolución clínica y analítica siendo dado de alta con Augmentine hasta completar 10 días.
En resumen es una herramienta esencial en AP para el diagnóstico de patologías abdominales, siendo eficaz y segura.



