X Jornadas de Actualización en Medicina de Urgencias y VI Jornadas de Ecografía de la semFYC
6-7-8 de febrero de 2025
Antecedentes personales relevantes, anamnesis, exploración física y lugar que ocupa en ella la ecografía
Hombre de 77 años, ex fumador, con los antecedentes personales a destacar de EPOC GOLD III, aneurisma de aorta abdominal, espondiloartrosis lumbar, tenosinovitis del hombro izquierdo.
Paciente que acude al centro de Atención Primaria para seguimiento de tenosinovitis del hombro. Al salir tras 20 minutos de consulta, comenta pérdida ponderal importante. Abordamos el tema y explica pérdida de 20kg en 3 meses, asociado a astenia y anorexia. Sin otra clínica asociada.
Iniciamos estudio de síndrome tóxico con analítica y derivación a unidad de diagnóstico rápido, programándose para unas semanas después. Mientras, el resultado de la analítica muestra deterioro de la función renal hasta 31/mL/min (previo 83). Revisamos último TC de aorta que muestra dilatación pieloureteral izquierda,por lo que citamos al paciente al día siguiente, quien persiste con pérdida de peso y astenia, para realizar ecografía renovesical.
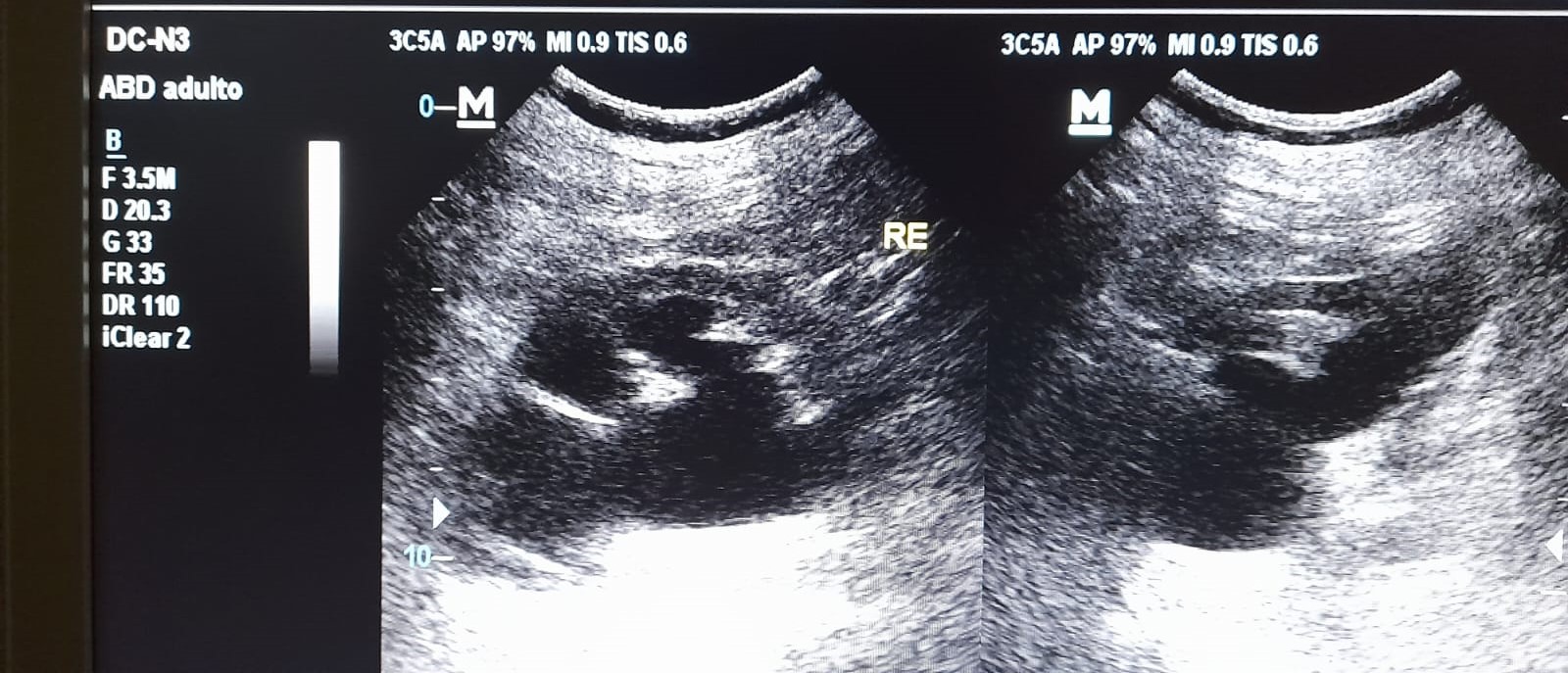
Descripción de los hallazgos ecográficos y las imágenes más relevantes para la resolución del caso
En la ecografía realizada en el ambulatorio observamos una hidronefrosis renal izquierda con líquido libre peritoneal y derivamos a urgencias de urología para estudio y manejo.
Otras pruebas complementarias realizadas (si existen)
En urgencias, se decide ingreso para realizar TC abdominal como parte del estudio y tratamiento.
Juicio clínico, diagnóstico diferencial, concordancia con el hospital (en su caso)
Se confirma, mediante TC abdominal, ectasia ureteropielicalicilar izquierda y posibles M1 óseas.
Durante el ingreso se mantiene la sospecha de neoplasia primaria sin filiar y se confirma estado avanzado de la enfermedad ante los hallazgos de posibles metástasis óseas.
Decisiones adoptadas: tratamiento, planes de actuación
Se realiza nefrostomía izquierda con mejoría de función renal y ureteroscopia con citología negativa.
Evolución y seguimiento
Finalmente es derivado a Oncología médica para estudio de posibles metástasis. Aún pendiente de filiar neoplasia primaria.
La ecografía clínica es una gran herramienta, muy accesible, que puede agilizar la orientación diagnóstica de nuestros pacientes. En este caso, aunque no se pudo orientar el tumor primario, sí se pudo evitar complicaciones, recuperando su función renal gracias a la nefrostomía precoz.

