X Jornadas de Actualización en Medicina de Urgencias y VI Jornadas de Ecografía de la semFYC
6-7-8 de febrero de 2025
Antecedentes personales relevantes, anamnesis, exploración física y lugar que ocupa en ella la ecografía
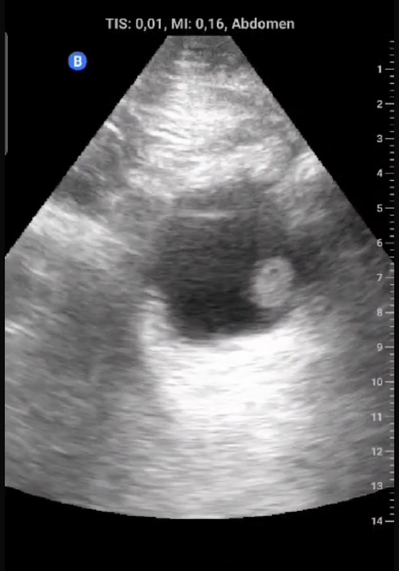
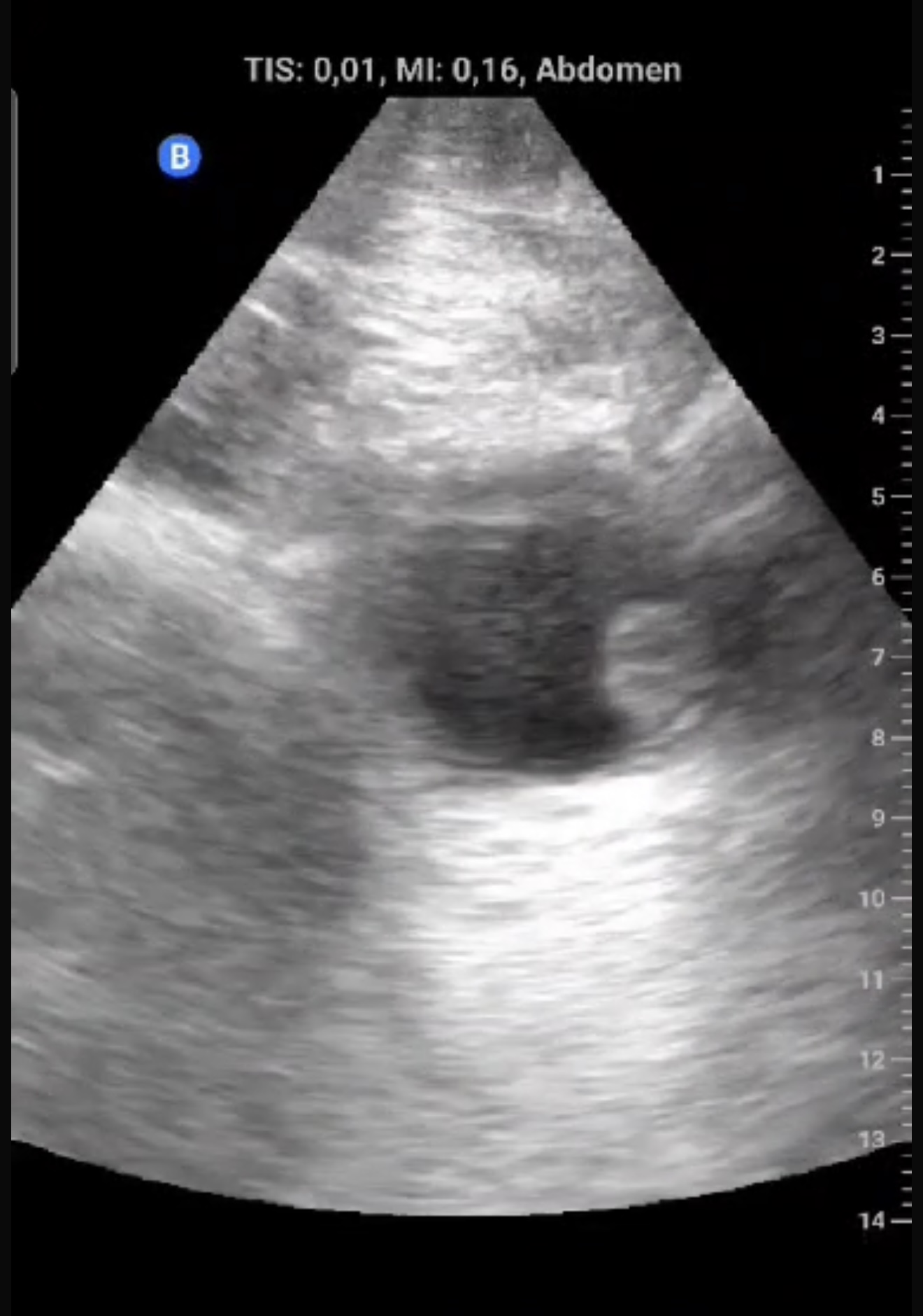
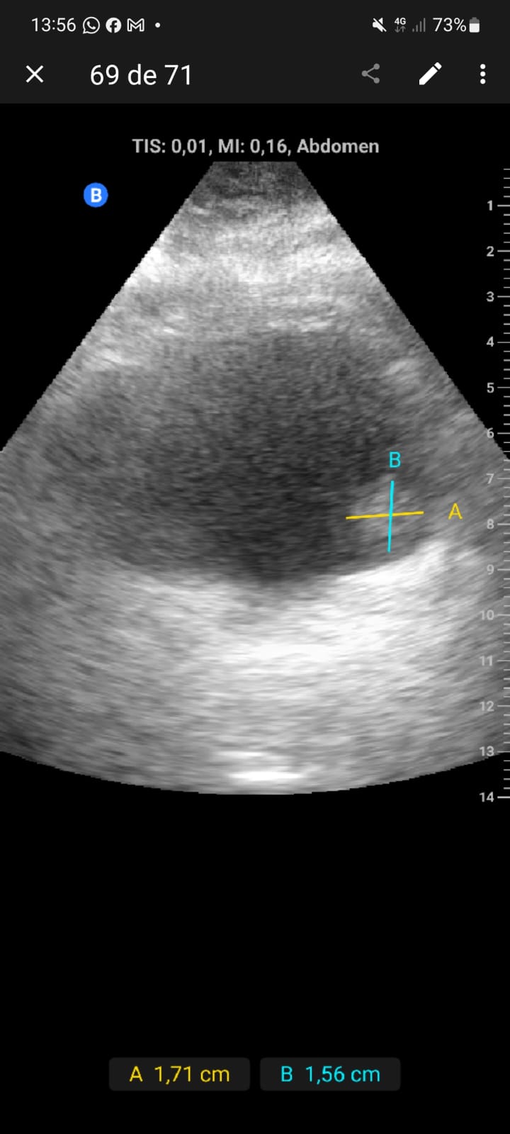
Exfumador, HTA, hipercolesterolemia, cirrosis hepática por alcohol. Hombre de 58 años que refiere episodio de hematuria macroscópica hace dos semanas, coincidiendo con un esfuerzo físico intenso el día previo. No presenta disuria, fiebre, poliaquiuria, ni dolor. En controles posteriores, no había recurrencia de hematuria y el paciente se encontraba asintomático.Exploración física sin hallazgos relevantes. Ecografía realizada en consulta en apenas 5 minutos mostró una masa en la cara lateral izquierda de la vejiga, de 1,5 x 1,3 cm, con características sugerentes de lesión tumoral superficial.
Descripción de los hallazgos ecográficos y las imágenes más relevantes para la resolución del caso
Lesión sólida, pediculada, de bordes definidos y fronda larga en la cara lateral izquierda de la vejiga.
Otras pruebas complementarias realizadas (si existen)
Sedimento de orina: eritrocitos ++++ sin nitritos ni otros valores alterados.
Juicio clínico, diagnóstico diferencial, concordancia con el hospital (en su caso)
Se sospechó un tumor vesical; pólipo vesical. Urología confirmó la lesión mediante cistoscopia, describiendo una masa papilar superficial de 2 cm en la pared lateral izquierda.
Decisiones adoptadas: tratamiento, planes de actuación
Derivación preferente a Urología con imágenes e informe ecográfico.
Evolución y seguimiento
El paciente fue intervenido mediante resección transuretral, confirmándose carcinoma urotelial superficial (T1).
En áreas donde la ecografía en consulta no forma parte del protocolo habitual, este caso demuestra su valor añadido. Según el protocolo estándar sin ecografía, se habría solicitado un urocultivo y una segunda muestra de orina, lo que habría retrasado la derivación a Urología. La ecografía permitió un diagnóstico y derivación en minutos, evitando retrasos y optimizando la capacidad resolutiva en Atención Primaria. Su inclusión podría mejorar significativamente el manejo de la hematuria y el pronóstico del paciente.


