X Jornadas de Actualización en Medicina de Urgencias y VI Jornadas de Ecografía de la semFYC
6-7-8 de febrero de 2025
Enfoque individual: antecedentes personales, anamnesis, exploración, pruebas complementarias, etc.
Mujer de 61 años que acudió a urgencias extrahospitalarias por disnea y dolor costal que empeoraba con los movimientos respiratorios de 4 días de evolución. Coincidiendo con el inicio del proceso notó un cordón doloroso y eritematoso en la pierna izquierda que se autolimitó a los 2 días. En cuanto a los antecedentes personales hay que destacar alcoholismo, tabaquismo y un trastorno adaptativo mixto. En la exploración física, llamaba la atención la taquipnea. La auscultación cardiopulmonar solo mostraba disminución del murmullo vesicular. No había un aumento de temperatura ni perímetro de pierna izquierda respecto a contralateral.
Juicio clínico, diagnóstico diferencial, identificación de problemas
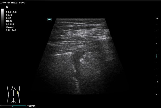
Durante su estancia en el centro de salud, realizamos una ecografía POCUS. Comenzamos explorando ambos miembros inferiores con adecuada compresibilidad del cayado, vena femoral y poplíteas y Doppler en su interior. Posteriormente continuamos con una ecocardioscopia donde no vimos dilatación de cavidades derechas. Finalmente llevamos a cabo un barrido en todos los campos pulmonares posteriores, objetivando en la base derecha, derrame pleural de pequeña cuantía y una imagen hipoecoica de morfología triangular con base hacia la pleura, sugerente de infarto pulmonar (Imagen 1).
Tratamiento y planes de actuación
Ante estos hallazgos, movilizamos la UVI móvil y la paciente fue trasladada al hospital donde se realizó ATC de arterias pulmonares que confirmó el diagnósitco de tromboembolismo pulmonar distal bilateral y pequeñas consolidaciones periféricas en relación con infartos pulmonares (Imagen 2).
Evolución
La paciente permaneció ingresada durante 4 días y fue dada de alta con anticoagulación oral.
El diagnóstico del TEP es un problema médico importante sobre todo en los servicios de urgencia pues el diagnóstico certero y precoz salva vidas. La reciente accesibilidad y rapidez hacen de la ecografía un método diagnóstico a tener en cuenta ante la sospecha de TEP sobre todo en el ámbito extrahospitalario, realizando una derivación dirigida y reduciendo la morbimortalidad.

