X Jornadas de Actualización en Medicina de Urgencias y VI Jornadas de Ecografía de la semFYC
6-7-8 de febrero de 2025
Antecedentes personales relevantes, anamnesis, exploración física y lugar que ocupa en ella la ecografía
Consulta por tos, mucosidad y disnea de 4 días de evolución, sin expectoración ni fiebre. Ha tomado paracetamol con mejoría.
48 años. No alergias conocidas. Exfumador de 5 cig dia hasta septiembre 2023. Fibrilación auricular desde 2002. Insuficiencia mitral funcional por tenting de ambos velos de grado severo. VI dilatado con FEVI 46%. Anuloplastia mitral en sept/2023 con y anuloplastia tricuspídea.
Medicación habitual: Bisoprolol 2,5 mg 0.5/24 h, Forxiga 10 mg/24 h, Neparvis 24/26 mg/12 h, Elecor 25 mg/24 h, Simvastatina 10 mg/24 h.
Exploración física: Buen estado general, AC: arritmico, AP: hipofonesis izquierda, subedemas en extremidades inferiores.
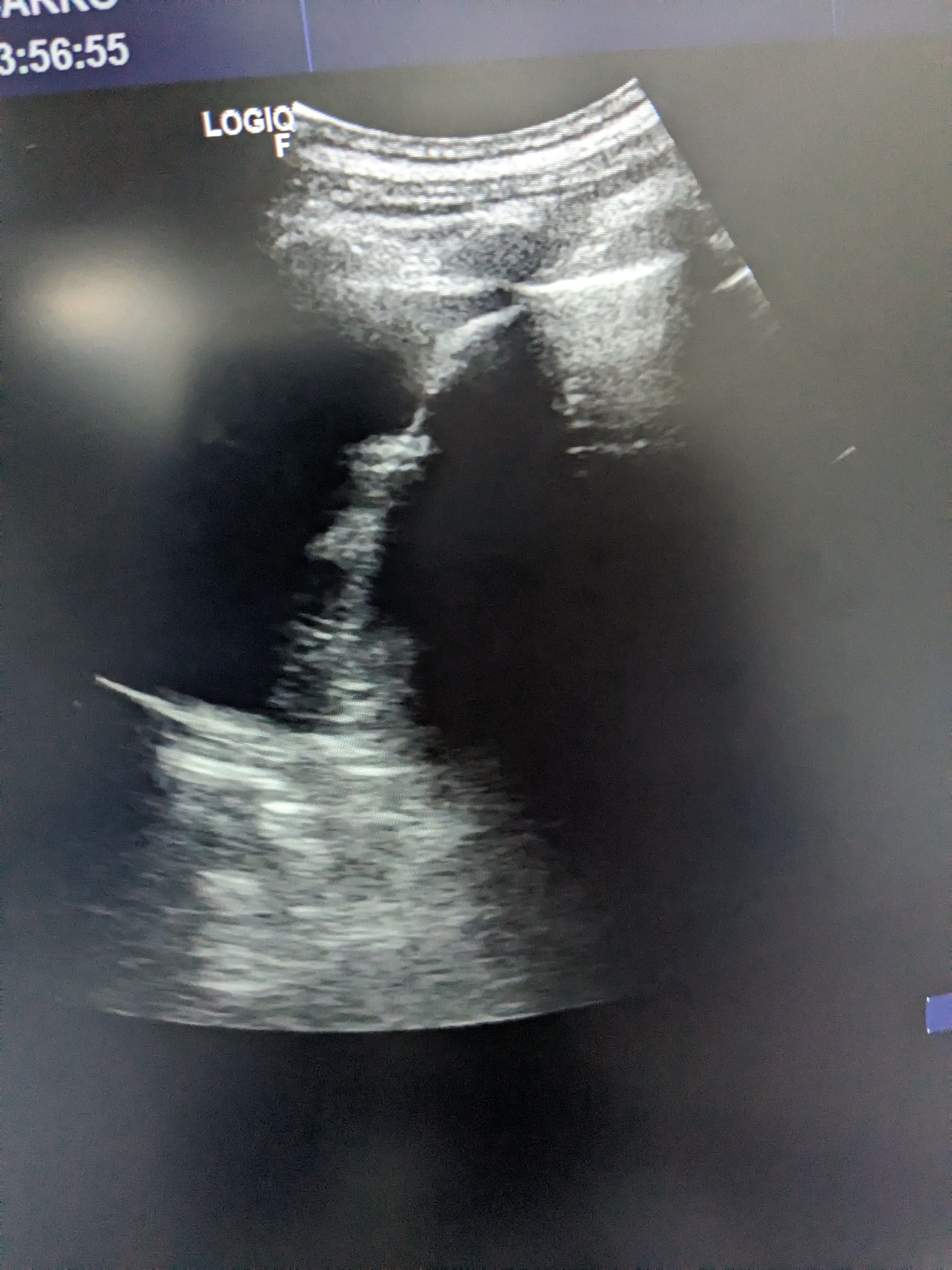
Descripción de los hallazgos ecográficos y las imágenes más relevantes para la resolución del caso
Se hace ecografía clinica en la consulta de atención primaria, observamos derrame pleural en pulmón izquierdo hasta medio campo pulmonar.
Otras pruebas complementarias realizadas (si existen)
ECG: fibrilación auricular rápida con RVM 100-110. Eje -30 ºC. QRS estercho. QRS estrecho. Buena progresión en precordiales. Extrasístoles aisladas.
Juicio clínico, diagnóstico diferencial, concordancia con el hospital (en su caso)
Se orienta como derrame pleural de origen desconocido por lo que se deriva a urgnecias del hospital de referencia para valoración de pruebas complementarias y tratamiento.
Rx torax: derrame pleural izquierdo. Sin pinzamiento de seno derecho. Sin infiltrados ni condensaciones.
Decisiones adoptadas: tratamiento, planes de actuación
Se realiza toracocentesis con salida de líquido serohemático, con líquido compatible con exudado linfocitario, y ADA bajo límite. Se cursa ingreso a cargo de medicina interna para completar estudio de derrame pleural.
Evolución y seguimiento
En Medicina Interna el paciente se encuentra hemodinámicamente estable, afebril, manteniendo correctas saturaciones basales. El 28/10 presenta un episodio de dolor torácico opresivo que cede a analgesia convencional, se solicita un D-dímero 441 ng/mL y un angioTC torácico con una dilatación aneurismática de tronco arteria pulmonar y arterias pulmonares principales y derrame pleural izquierdo asociado a un área de condensación lobar inferior izquierda, sugestiva de atelectasia redonda. Respecto a la insuficiencia cardíaca con FEVI deprimida se optimiza tratamiento. Se repite toracocentesis diagnostico-terapeutica con salida de 150-200 cc con mejoría sintomática y radiológica a posteriori. Se revisan imágenes en comité de pleura donde se decide realizar control clínico y radiológico a la espera de citologías. Finalmente se da de alta a domicilio.
El uso de la ecografia en Atención Primaria nos ayuda en el diagnostico diferencial y la sospecha diagnostica de patologias potencialmente graves, así como en su rápida resolución.



