V Jornadas de Ecografía de la semFYC
9 y 10 de febrero de 2024
Mujer de 77 años, control anual de HTA, buen control sin tratamiento (suspendió tiazida hacia meses por buen control) y unicamente destaca una GGT:181, resto de parametros normales. Refiere molestia lumbar y cadera izquierda desde una caída hacía 5 meses por la que ha precisado tomar paracetamol. Refiere también astenia sin clínica digestiva ni biliar.
Enfoque individual
Se solicita confirmación analítica tras suspender farmacos y ampliamos marcadores hepáticos, proteinograma, Rx de cadera y columna lumbar y citamos paciente para realizar Ecografía en atención primaria.
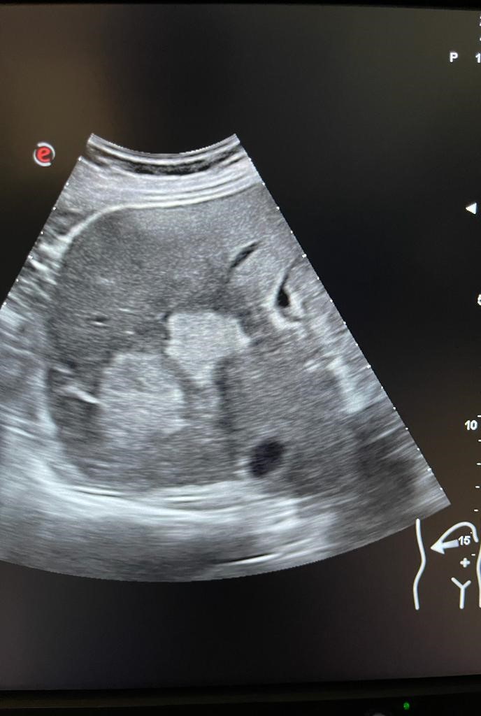
Hallazgos ecográficos
Se aprecia hígado heterogéneo con múltiples LOES hepáticas hiperecogénicas (una de ellas de unos 7x7 cm), sin captación de doppler. Al menos otras 2 LOES de menor tamaño presentan halo hipoecoico. Vesícula replecionada de contornos lisos y sin litiasis en su interior. Ambos riñones visualizados de tamaño normal y sin datos de hidronefrosis.
Pruebas complementarias
Analítica: GGT 185 y neutrofília. Confirmación con GGT: 214 y FA: 215, resto normal.
Rx pelvis: borrado de corticales en cresta ilíaca izquierda.
Juicio clínico, diagnóstico diferencial, identificación de problemas
Coxalgia mecánica vs fractura pelvis vs metástasis ósea.
Tratamiento y planes de actuación
Se decide pedir ecografía reglada para valorar estudio posterior. Ecografía confirma sospecha de LOES intrahepáticas. Desde radiología amplian estudio con TAC: lesión ósea lítica con criterios de agresividad expansiva con masa de partes blandas en vertiente posterior de pala ilíaca izquierda.
Evolución
Se explican hallazagos y se propone plan diagnóstico. Se realiza estudio llegando al diagnóstico de:
Se plantean alternativas terapéuticas decidiéndose manejo paliativo.
La ecografía en Atención Primaria puede ser un apoyo diagnóstico para sospecha clínica y analítica de neoplasias, contribuyendo así a adelantar el estudio de las mismas y aumentar la posibilidad de tratamiento exitoso. Otra vertiente interesante es la accesibilidad y disponibilidad de ecografía en Atención Primaria, reduciendo tiempos de espera y incertidumbre para las pacientes.
