V Jornadas de Ecografía de la semFYC

9 y 10 de febrero de 2024

Comunicaciones: Casos clínicos

Creo que tengo ansiedad (póster)

Ámbito del caso

Atención Primaria.

Motivos de consulta

Mujer de 39 años que acude a la consulta de Atención Primaria por dolor intermitente en hemiabdomen derecho de unas semanas de evolución.

Historia clínica

Enfoque individual

En el momento de la consulta se encuentra a tratamiento con Sertralina 50 mg y Alprazolam 0,5 mg por síndrome ansioso-depresivo en seguimiento por su médico de Atención Primaria. Fue intervenida en la infancia por duplicidad uretral y quistes renales izquierdos.

La paciente refiere dolor en hemiabdomen derecho de varias semanas de evolución y sensación de ocupación en dicha región «que se desplaza» con ciertos cambios posturales y que relaciona con clínica ansiosa. Afebril. Hábito intestinal estreñido sin alteraciones recientes. Niega posibilidad de embarazo. No asocia clínica a otro nivel.

A la exploración se palpa una masa en vacío derecho dolorosa a la palpación.

Hallazgos ecográficos

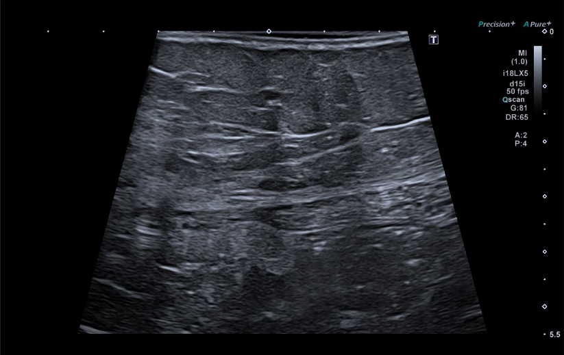
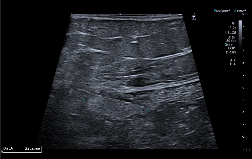
Se realiza una ecografía abdominal en el centro de salud visualizándose una masa hiperecogénica de 15 centímetros, aproximadamente, que parece dependiente del riñón derecho. 

Pruebas complementarias

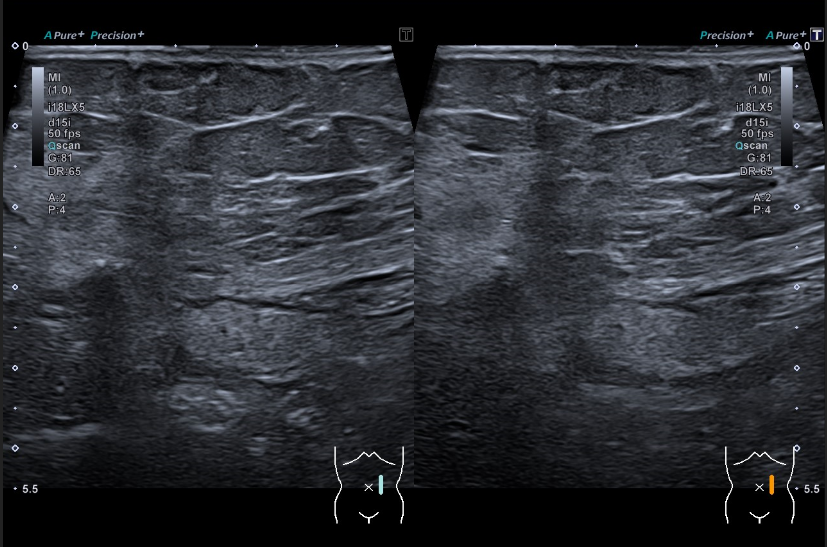
Se deriva a la paciente a urgencias hospitalarias donde se realiza una analítica sin objetivarse hallazgos significativos y una nueva ecografía en la que se visualiza una gran formación quística en flanco derecho que impresiona depender del riñón derecho. De manera ambulatoria se realizan un TC toraco-abomino-pélvico y una RMN abdomino-pélvica hallándose una masa abdomino-pélvica derecha de 15 x 13,5 x 12 centímetros de diámetros transversal, craneocaudal y anteroposterior, respectivamente, que impresiona de origen retroperitoneal vs origen ovárico. 

Juicio clínico, diagnóstico diferencial, identificación de problemas

Principalmente se sospecha un quiste renal vs neoplasia renal sin poder descartarse patologías en glándula suprarrenal u ovario derechos.

Tratamiento y planes de actuación

Finalmente se realiza la resección de la masa retroperitoneal junto con la anexectomía derecha y apendicectomía por vía abdominal. 

Evolución

El informe de Anatomía Patológica determinó: cistoadenoma seromucinoso de ovario. Actualmente la paciente realiza seguimientos periódicos en las consultas de Ginecología y de Cirugía General con buena evolución.

Conclusiones (y aplicabilidad para la Medicina de Familia)

En este caso, la ecografía realizada en el centro de salud ayudó a orientar la patología y a realizar los estudios pertinentes de manera precoz permitiendo así un diagnóstico y un tratamiento más adecuados evitando retrasos en los mismos que influyeran en la progresión de la enfermedad.


Comunicaciones y ponencias semFYC: 2025; Comunicaciones: Casos clínicos. ISSN: 2339-9333

Autores

Martínez López, Leyre
CS Natahoyo. Gijón. Asturias
Celaya Fernández, Inés
CS Natahoyo. Gijón. Asturias