X Jornadas de Actualización en Medicina de Urgencias y VI Jornadas de Ecografía de la semFYC
6-7-8 de febrero de 2025
Atención Primaria.
Gonalgia izquierda de años de evolución que empeora en las últimas semanas.
Antecedentes personales relevantes, anamnesis, exploración física y lugar que ocupa en ella la ecografía
Mujer de 30 años, hipotiroidea, migrañosa. Acude por gonalgia izquierda de años de evolución que empeora en las últimas semanas. Refiere dolor, sensación de bloqueo e impotencia funcional. Refiere que inició a raíz de un mal giro durante una ruta de senderismo. Fue valorada por esta clínica en varias ocasiones a lo largo de este tiempo, siendo tratada siempre con antiinflamatorios. Acude por aumento de clínica e inicio en parte lateral de rodilla cuando siempre anteriormente fue en parte medial.
Exploración física: rodilla sin aumento de volumen, no derrames ni escoriaciones. Movilidad conservada. Cepillo negativo. Maniobra meniscal interna y externa positivas. Valguización y varización negativas. Zohlen positivo. Resto exploración sin interés.
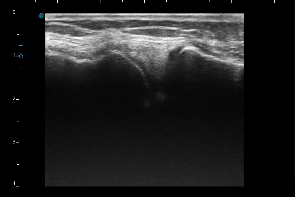
Se realiza ecografía de rodilla.
Descripción de los hallazgos ecográficos y las imágenes más relevantes para la resolución del caso
Rodilla sin derrame articular. No se aprecian lesiones en Ligamentos colaterales. Ligamento rotuliano sin hallazgos valorables. Rotura menisco interno y dudosa fisura menisco externo. Tendones rotuliano y cuadricipital normales.
Otras pruebas complementarias realizadas (si existen)
Resonancia magnética confirma rotura cuerno posterior menisco interno.
Juicio clínico, diagnóstico diferencial, concordancia con el hospital (en su caso)
Rotura cuerno posterior menisco interno.
Decisiones adoptadas: tratamiento, planes de actuación
Se cambia de antiinflamatorio, se deriva a traumatología que recomienda manejo conservador.
Evolución y seguimiento
Mejoría clínica con antiinflamatorios, actualmente en lista de espera para rehabilitación.
La ecografía permite confirmar el diagnóstico que se sospecha mediante exploración física y ahorra la solicitud de pruebas complementarias.



