X Jornadas de Actualización en Medicina de Urgencias y VI Jornadas de Ecografía de la semFYC
6-7-8 de febrero de 2025
Antecedentes personales relevantes, anamnesis, exploración física y lugar que ocupa en ella la ecografía
Varón de 51 años de edad, sin analíticas previas para comparar. Presenta elevación de transaminasas con niveles de 813.
El paciente refiere astenia e hiporexia con un síndrome constitucional cuantificado en 5 kg en 7 meses aproximadamente. Niega cambios de ritmo intestinal, no pérdida macroscópica de sangre. No otra sintomatología adicional por aparatos.
En la exploración física, el paciente presenta buen estado general, hemodinámicamente estable. Abdomen: blando depresible, hepatomegalia de 1-2 traveses de dedo. No dolor a la palpación sin signos de irritación peritoneal. Resto de exploración sin alteraciones.
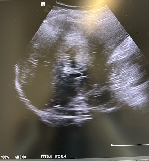
Descripción de los hallazgos ecográficos y las imágenes más relevantes para la resolución del caso
En la ecografía podemos apreciar hepatomegalia > 16 cm con múltiples imágenes en su interior hiperecogénicas sugestivas de LOE. No otros hallazgos a destacar.
Otras pruebas complementarias realizadas (si existen)
Ante lo valorado anteriormente, constato cifras repitiendo analítica en nuestro centro de salud, ampliando estudio. En la analítica además podemos valorar que presenta una anemia normocítica normocrómica con sangre oculta en heces positiva y marcadores tumores positivos.
Solicitamos ecografía preferente ante sospecha de origen tumoral. Ante dichos hallazgos, sospechamos que se trataran de metástasis hepáticas con origen tumoral primario en colon, ante SOH y marcador tumoral positivo. Realizamos interconsulta a Cirugía General para valoración por su parte.
Juicio clínico, diagnóstico diferencial, concordancia con el hospital (en su caso)
El paciente fue valorado en Consultas Externas confirmando el diagnóstico. Se realiza ecografía abdominal con hallazgos de múltiples nódulos hepáticos de entre 12-35mm. En la colonoscopia, neoplasia circunferencial con aumento de consistencia, áreas ulceradas y necrosis, con estenosis incompleta, siendo compatible con adenocarcinoma de sigma.
Decisiones adoptadas: tratamiento, planes de actuación
Se lleva a cabo PET/TC que muestra engrosamiento mural de sigma con incremento patológico del metabolismo sugestivo de malignidad (probable primario) con múltiples LOES hepáticas.
Tras lo cual, se confirma diagnóstico de adenocarcinoma de signo metastásico.
Evolución y seguimiento
Una vez valorado por Cirugía General, se deriva a Oncología con inicio de tratamiento quimioterápico 1 línea.
Así pues, gracias a un diagnóstico precoz por medio de la ecografía y resto de pruebas complementarias en Atención Primaria, podemos realizar un adecuado diagnóstico de sospecha con un abordaje terapéutico precoz.



