X Jornadas de Actualización en Medicina de Urgencias y VI Jornadas de Ecografía de la semFYC
6-7-8 de febrero de 2025
Odinofagia y dolor cervical
Antecedentes personales relevantes, anamnesis, exploración física y lugar que ocupa en ella la ecografía
Hombre de 18 años sin antecedentes personales de interés, que acude por odinofagia y dolor laterocervical y a punta de dedo inferior al cartílago cricoides; de 48 horas de evolución. A la exploración física: regular estado general, constantes vitales en rango, a la auscultación pulmonar presenta hipofonesis pero escasa colaboración. Cavidad oral sin alteraciones y a la palpación cervical crepitación bilateral. Ante la sospecha de enfisema subcutáneo se realiza una ecografía para confirmarlo.
Descripción de los hallazgos ecográficos y las imágenes más relevantes para la resolución del caso
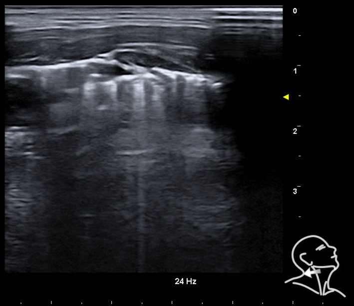
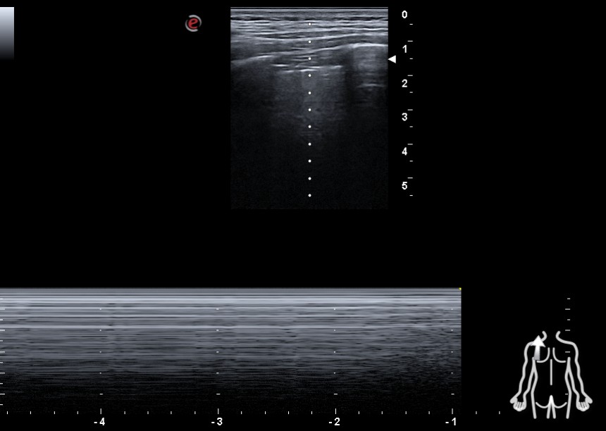
En región cervical y torácica bilateral, inferior a la fascia cervical, se observan puntos hiperecogénicos con artefacto en cola de cometa, compatibles con líneas “E”. En hemitórax izquierdo, ausencia de deslizamiento pleural y de líneas “B” y signo del código de barras, aunque no es posible visualizar el punto pulmomar.
Otras pruebas complementarias realizadas (si existen)
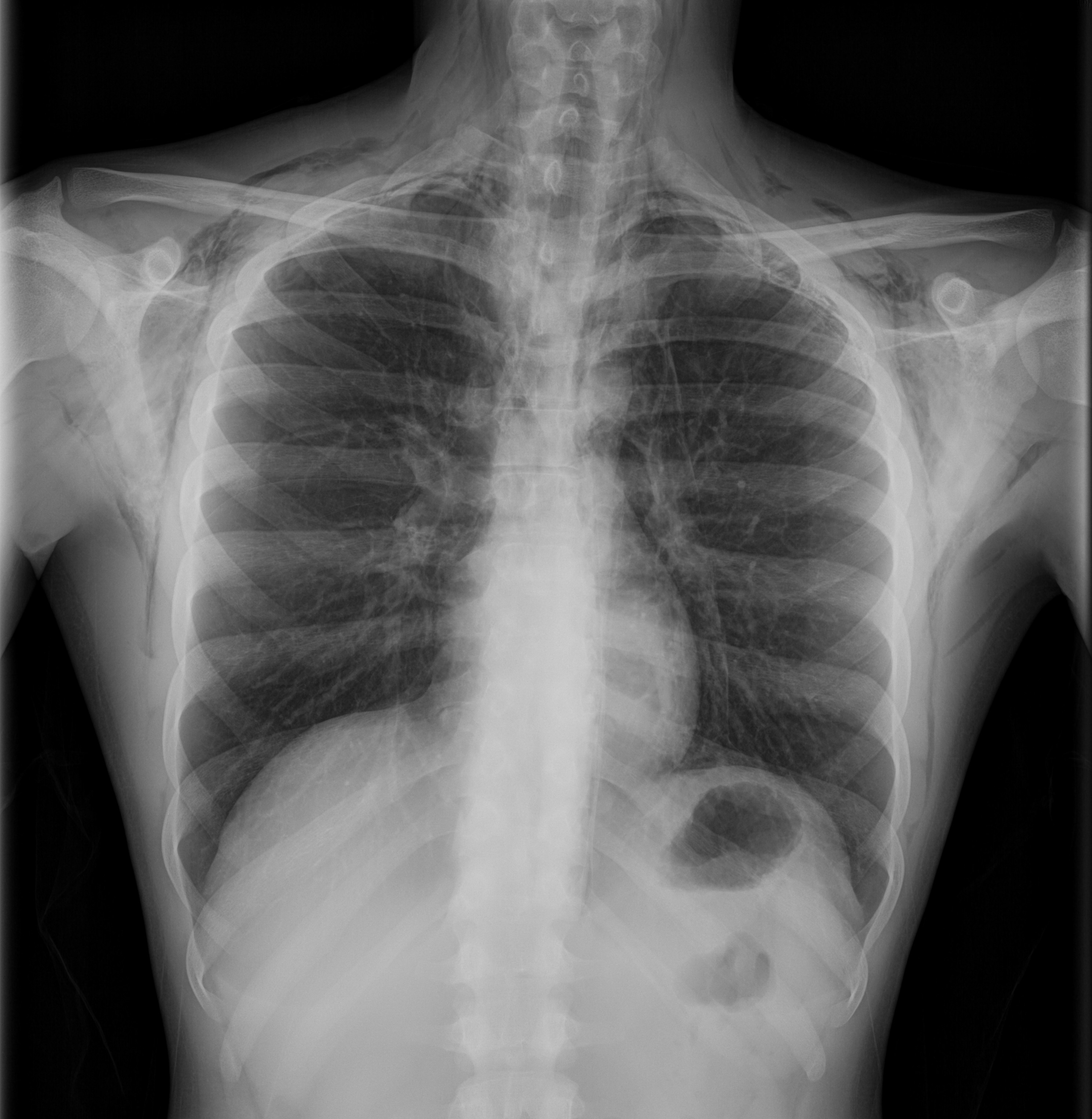
Radiografía de tórax: se confirma el enfisema subcutáneo y el neumotórax izquierdo, además se observa una línea vertical paracardíaca compatible con neumomediastino.
Juicio clínico, diagnóstico diferencial, concordancia con el hospital (en su caso)
Neumomediastino espontáneo, enfisema subcutáneo y neumotórax izquierdo. Diagnóstico diferencial: rotura esofágica, rotura traqueal.
Decisiones adoptadas: tratamiento, planes de actuación
Dados los hallazgos de la ecografía se decide traslado del paciente al servicio de urgencias hospitalarias para realizar tomografía, descartar complicaciones y tratamiento de precisarlo.
Evolución y seguimiento
En el Servicio de Urgencias Hospitalarias: el análisis sanguíneo no presenta alteraciones. Los hallazgos se confirman con la tomografía y se descartan complicaciones. Tras ser valorado por cirugía torácica y mantenerle en observación durante 24 horas se da de alta a domicilio.
En el caso presentado, una minuciosa exploración física revela un hallazgo inusual que es posible confirmar en el momento gracias a la ecografía. El neumomediastino espontáneo es una entidad benigna y sumamente rara. Aquí la utilidad de la ecografía no radica en el diagnóstico exacto, sino en la posibilidad de ampliar las herramientas básicas del médico de familia, la anamnesis y la exploración física, de forma rápida y eficaz para detectar una alteración que precisa de pruebas hospitalarias urgentes.


